[½Å°æ] ÀÓÆÄ¾Ï ÀüÀÌ¿¡ ÀÇÇÑ Á¤Á߽Űæ°ú »óȯ½Å°æÃÑ Á¾¾ç ¿¡ ÀÇÇÑ Á¤Áß ½Å°æ, ô°ñ½Å°æ ¸¶ºñ
ÀÛ¼ºÀÚ : ÃÖÀçÀÍ(jic121@hanmail.net) ÀÛ¼ºÀÏ : 2025-07-23 Á¶È¸¼ö : 330
ÆÄÀÏ÷ºÎ :

³ªÀÌ  ¼ºº°  : 70¼¼ /³²ÀÚ

 

ÁÖ  Áõ  »ó  :  ¿ìÃø  ¼ÕÀú¸²  (3°³¿ù)

                

º´      ·Â  :  ¾à 3°³¿ù Àü ÀÌÀ¯ ¾øÀÌ ¼ÕÀÌ Àú·Á¼­ ¸ñ MRI ÃÔ¿µ ÈÄ ¸ñ µð½ºÅ©·Î ¼ö¼úÀ» ¹Þ¾ÒÀ¸³ª

                °è¼Ó Àú·È´Âµ¥ ¼ö¼úÇÑ º´¿ø¿¡¼­ ¿°Áõ ¶§¹®À̶ó°í ¿°ÁõÄ¡·á¸¦ °è¼ÓÇÏ¿´À¸´Ï Áõ»ó

                È£Àü ¾ø¾î ¼Õ ¼ö¼ú Àü¹® ¼ºÇü¿Ü°ú¿¡ ³»¿øÇÏ¿© ±ÙÀüµµ°Ë»ç ÀÇ·ÚµÊ.

                Ç×»ó Àú¸®´Ù(+  ¹ã¿¡ ´õ Àú¸®´Ù(+) ÀáÀ» ¸øÀÜ´Ù(+)

                ÆÈÀ» ³»¸®¸é ´õ Àú¸®°í µé¸é ´ú Àú¸®´Ù(+

                2¤Ñ3 ¼Õ°¡¶ôÀÌ ÈûÀÌ ¾ø¾î ¾È±¸ºÎ·¯Áö°í ¼ý°¡¶ô ÁúÀ» ÇÒ ¼ö ¾ø´Ù.

                ¼Õ°¡¶ô°ú ÆÈÀ» Æì°í ¹ÛÀ¸·Î µ¹¸®¸é ´õ Àú¸®´Ù.

                ¸ñ ¾È¾ÆÇÁ´Ù.  ÆÈÀú¸²(+)

                ¼Õ¸ñ °ñÀý º´·Â(-) 

               

ÀÌÇÐÀû °Ë»ç : ´Éµ¿ÀûÀ¸·Î 2, 3 ¼Õ°¡¶ôÀ» ±¸ºÎ¸± ¼ö ¾øÀ½.

               ¾öÁö µÎµ¢ ¾à°£ÀÇ ±ÙÀ§Ãø(+

               ±Ù·Â°Ë»ç

               ¾î±ú ±¼°î: G      ÆÈ²ÞÄ¡ ±¼°î: G

               ¼Õ¸ñ ±¼°î:P       ¼Õ¸ñ ½ÅÀü:  G

               ¼Õ°¡¶ô ½ÅÀü : G    ¾öÁö ¿ÜÀü: zero           ¼Õ°¡¶ô ¿ÜÀü: P+

               Hoffman sign(-)



±ÙÀüµµ  °Ë»ç  :  ÆÈ²ÞÄ¡ ±ÙÀ§ºÎ¿¡¼­ Á¤Áß½Å°æ ¿ÞÀü ¸¶ºñ.  ô°ñ½Å°æ ºÒ¿ÏÀü ¸¶ºñ(peripheral neuropathy of 

                  right median nerve ,complete, and ulnar nerve, incomplete, proximal to the elbow level)


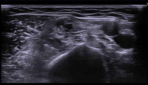
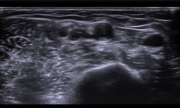
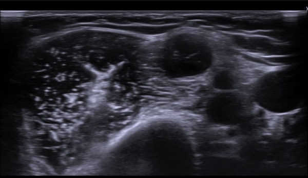
ÃÊÀ½ÆÄ  °Ë»ç  : À­ÆÈ ±ÙÀ§ºÎ Á¤Áß ½Å°æ Ⱦ´Ü¸é°Ë»ç¿¡¼­ Á¤Áß ½Å°æÀÇ ºÎÁ¾°ú ÀϺΠ½Å°æ¼¶À¯ÀÇ Àú¿¡ÄÚ ºÎÁ¾ÀÌ °üÂûµÈ´Ù

                    (»çÁø 1, 2). ŽÃËÀÚ¸¦ Á¶±Ù ´õ ±ÙÀ§ºÎ·Î À̵¿ÇÏ´Ï Á¤Á߽ŰæÀÇ Àú¿¡ÄÚ ºÎÁ¾ÀÌ °üÂûµÈ´Ù(»çÁø 3, 4).


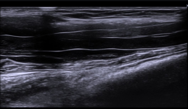
                    Á¤Á߽Űæ Ⱦ´Ü¸é°Ë»ç¿¡¼­µµ Á¤Á߽ŰæÀÌ Àú¿¡ÄÚ ºÎÁ¾ÀÌ ±æ°Ô  °üÂûµÇ°í ½ÇÁú³» ƯÁ¤ ¼¶À¯¼ÒÀÇ

                    Àú¿¡ÄÚ ºÎÁ¾ÀÌ ¶Ñ·ÇÇÏ´Ù(»çÁø 5, 6).


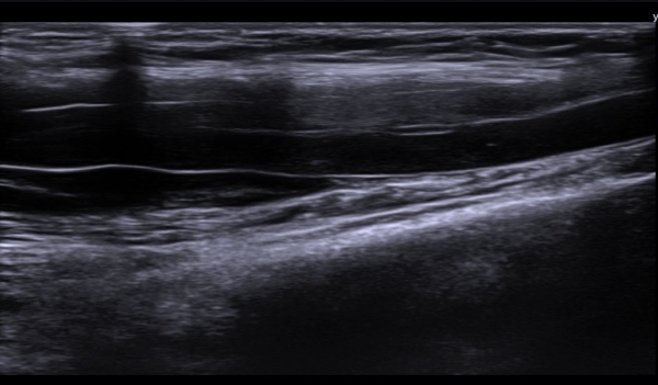
                    ¼â°ñ¾Æ·¡¿¡¼­ »ó¿Ï½Å°æÃÑ Á¾´Ü¸é°Ë»ç¿¡¼­ »ó¿Ï½Å°æÃÑ ¿ÜÃø ²ö(lateral cord)ÀÇ Àú¿¡ÄÚ ºÎÁ¾ÀÌ 

                   °üÂûµÈ´Ù(»çÁø 7).


 °æ       °ú : Ÿº´¿ø Àü¿øÇÏ¿© ¾×¿ÍºÎ Á¤Á߽Űæ ÀýÁ¦ ¹× Á¶Á÷°Ë»ç¿¡¼­ ÀüÀ̼º Àӯļ±¾ÏÀ¸·Î Áø´ÜµÊ. 


ÀÌÀü±Û ±ÙÀ°ÇǺνŰæÀÇ ¿°Àü(torsion of musculocutaneous nerve)
´ÙÀ½±Û ºñƯ¡ÀûÀÎ Áõ»óÀ» º¸ÀÌ´Â ¼ö±Ù°ü ÁõÈıº ÃÊÀ½ÆÄ ¼Ò°ß
       
°¡¸ÍÁ¡¸í : ½Ã¸®¾Ç½ºÁ¤ÇüÀÇÇבּ¸È¸
»ç¾÷ÀÚµî·Ï¹øÈ£ : 894-81-00627 | ´ëÇ¥ÀÚ : ÀåµÎÇõ
 
ÁÖ¼Ò : °æ±âµµ ¾çÆò±º ¿ë¹®¸é ¿ë¹®·Î 375-1, 2Ãþ 1È£
TEL : 010-2323-4055
E-mail : cyriax12@naver.com
ÀԱݾȳ»
±¹¹ÎÀºÇà | ½Ã¸®¾Ç½ºÁ¤ÇüÀÇÇבּ¸È¸(ÁÖ)
220401-04-194155