ºñƯ¡ÀûÀÎ Áõ»óÀ» º¸ÀÌ´Â ¼ö±Ù°ü ÁõÈıº ÃÊÀ½ÆÄ ¼Ò°ß
ÀÛ¼ºÀÚ : jaeijk Choi(jic121@hanmail.net) ÀÛ¼ºÀÏ : 2025-06-13 Á¶È¸¼ö : 258
ÆÄÀÏ÷ºÎ :

³ªÀÌ  ¼ºº°  : 87¼¼ /¿©ÀÚ

 

ÁÖ  Áõ  »ó  :  ¿ìÃø  ¼Õ°¡¶ô  °¨°¢ µÐÈ­  ¹×  ¼Õ°¡¶ô ¿òÁ÷ÀÓÀÌ ¾îµÐÇÏ´Ù  (15ÀÏ)

                ¹°°ÇÀ» ³õÄ£´Ù


º´      ·Â  :  ¾à 15ÀÏ ÀüºÎÅÍ ÀÌÀ¯ ¾øÀÌ »ó±â Áõ»ó ¹ß»ý.

                Àú¸®Áö ¾Ê´Ù.

                Àú¸°Àû ¾ø´Ù.

                ¸ñ ¾È¾ÆÇÁ´Ù.  ÆÈÀú¸²(-)

                ¼Õ¸ñ °ñÀý º´·Â(-) 


               Å¸º´¿ø °æÀ¯ÇÏ¿© ±ÙÀüµµ°Ë»ç ÀÇ·ÚµÊ.

               

ÀÌÇÐÀû °Ë»ç : ¿ìÃø ¾öÁö ´Ü¹«Áö¿ÜÀü±Ù(APB) ±Ù·ÂÀº G µî±ÞÀ¸·Î ±Ù¾àÁõ ¶Ñ·ÇÇÏÁö ¾ÊÀ½.

               ¼öÁø ¿ÜÀü±Ù, ³»Àü±Ù  G µî±Þ

               Hoffman sign(-)



±ÙÀüµµ  °Ë»ç  : ¼ö±Ù°ü ÁõÈıº¿¡ ºÎÇÕÇÏ´Â Á¤Á߽ŰÜÀÇÀÇ ¼Û¸ñºÎÀ§¿¡¼­ º´Áõ


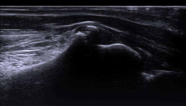
ÃÊÀ½ÆÄ  °Ë»ç  : Á¤Á߽Űæ Á¾´Ü¸é°Ë»ç¿¡¼­ Á¤Á߽ŰæÀÌ ¼Õ¸ñ ºÎÀ§¿¡¼­ °ñ±Ø¿¡ ÀÇ ±¹¼ÒÀû ¾Ð¹ÚÀ» º¸ÀÌ°í ¾Ð¹Ú ±ÙÀ§ºÎ¿Í 

                    ¸»´ÜºÎ¿¡¼­ Á¤Áõ½Å°æÀÇ Àú¿¡ÄÚ ºÎÁ¾ÀÌ ¶Ñ·ÇÇÏ´Ù(»çÁø 1).


                   ÀÌ °ÍÀº Ư¹ß¼º ¼ö±Ù°üÁõÈıº¿¡¼­ ¾Ð¹ÚºÎÀ§±â ¼ö±Ù°ü ¸»´ÜºÎÀÎ Á¡°ú ´Ù¸¥ ¼Ò°ßÀ¸·Î ¼ö±Ù°ü ÁõÈıºÀÇ 

                   ¿øÀÎÀÌ ¼Õ¸ñ¿¡¼­ °ñ±Ø¿¡ ÀÇÇØ ¹ß»ýÇÑ °ÍÀÓÀ» ½Ã»çÇÏ´Â ¼Ò°ßÀÌ´Ù.


ÀÓ»óÀû ÀÇÀÇ : ÀÌ È¯ÀÚÀÇ °æ¿ì ±ÙÀüµµ°Ë»ç¿¡¼­´Â Åë»óÀûÀÎ ¼ö±Ù°üÁõÈıº¿¡¼­ º¸ÀÌ´Â ¼Ò°ßÀ» º¸¿´Áö¸¸

                ÃÊÀ½ÆÄ °Ë»ç·Î ½Å°æ ¾Ð¹Ú ºÎÀ§¸¦ ƯÁ¤ÇÏ¿© ¼ö¼úÄ¡·á¸¦ ½ÃÇàÇÑ´Ù¸é Åë»óÀûÀÎ ¼ö±Ù°ü Àý°³¼úÀÌ ¾Æ´Ñ

                °ñÆí Á¦°Å¼úÀ» ½ÃÇàÇÒ ¼ö ÀÖµµ·Ï  ¼ö±Ù°ü ÁõÈıº ¿øÀο¡ ´ëÇÑ Á¤º¸¸¦ Á¦°øÇÒ ¼ö ÀÖ´Ù.

                ¶ÇÇÑ ÀÌ Áõ·Ê¿Í °°ÀÌ ¼ö±Ù°ü ÁõÈıº ƯÀÌÀûÀÎ Áõ»óÀ» º¸ÀÌÁö ¾Ê´Â °æ¿ì¿¡´Â  Ư¹ß¼ºÀÌ ¾Æ´Ñ ´Ù¸¥ ¿øÀο¡ ÀÇÇÑ

                ¼ö±Ù°üÁõÈıºÀ» ÃßÁ¤ÇÏ¿© ¿øÀÎ ±Ô¸íÀ» À§ÇÑ ÃÊÀ½ÆÄ°Ë»ç³ª ÀÚ±â°ø¸í°Ë»ç¿Í °°Àº ÇØºÎÇÐÀû°Ë»ç¸¦ ½ÃÇàÇÏ¿©¾ß 

                ÇÑ´Ù.

ÀÌÀü±Û ÀÓÆÄ¾Ï ÀüÀÌ¿¡ ÀÇÇÑ Á¤Á߽Űæ°ú »óȯ½Å°æÃÑ Á¾¾ç ¿¡ ÀÇÇÑ Á¤Áß ½Å°æ, ô°ñ½Å°æ ¸¶ºñ
´ÙÀ½±Û ºñº¹½Å°æ ½Å°æÁ¾, ÃßÁ¤,°ú º´¹ßµÈ ´Üºñ°ñ°Ç ³¶Á¾¼º °ÇÃÊ¿°(neuroma of sural nerve with cystic tendinopathy of peoneus brevis
       
°¡¸ÍÁ¡¸í : ½Ã¸®¾Ç½ºÁ¤ÇüÀÇÇבּ¸È¸
»ç¾÷ÀÚµî·Ï¹øÈ£ : 894-81-00627 | ´ëÇ¥ÀÚ : ÀåµÎÇõ
 
ÁÖ¼Ò : °æ±âµµ ¾çÆò±º ¿ë¹®¸é ¿ë¹®·Î 375-1, 2Ãþ 1È£
TEL : 010-2323-4055
E-mail : cyriax12@naver.com
ÀԱݾȳ»
±¹¹ÎÀºÇà | ½Ã¸®¾Ç½ºÁ¤ÇüÀÇÇבּ¸È¸(ÁÖ)
220401-04-194155