[¾î±ú] °ß°©ÇÏ±Ù°Ç »óºÎ ÆÄ¿­
ÀÛ¼ºÀÚ : °ü¸®ÀÚ(cyriax12@naver.com) ÀÛ¼ºÀÏ : 2020-10-24 Á¶È¸¼ö : 1765
ÆÄÀÏ÷ºÎ : ÷ºÎ 1.avi ÷ºÎ 2.avi

³ªÀÌ   ¼ºº°  : 65¼¼ / ³²ÀÚ

 

ÁÖ   Áõ   »ó  : ÁÂÃø ¾î±ú ÅëÁõ(±â°£ : 2´Þ)

º´          ·Â  : ¾à 2´ÞÀü ¤°í ³Ñ¾îÁø ÈÄ ÅëÁõ ¹ß»ý.

                     µÚ·Î Á¦³¢¸é ¾ÆÇÁ´Ù.

                     ÇÑÀÇ¿ø¿¡¼­ Ä¡·áÇÏ¿´À¸´Ï ÅëÁõ °è¼ÓµÇ¾î ³»¿ø.

 

ÀÌÇÐÀû °Ë»ç : ¼öµ¿Àû ±¼°ñ 160µµ, ¿ÜÀü 100µµ, ¿ÜȸÀü 50µµ Á¤µµ·Î  °üÀý°¡µ¿ ¹üÀ§ Á¦ÇÑÀº ½ÉÇÏÁö ¾Ê¾Ò°í.

                     ÀúÇ׿¡ ´ëÇÑ ¿ÜÀü ½Ã ƯÀÌ ¼Ò°ß º¸ÀÌÁö ¾ÊÀ¸³ª

                     ÀúÇ׿¡ ´ëÇÑ ³»È¸Àü ½Ã ÅëÁõ°ú ±Ù¾àÁõÀ» º¸ÀÓ.

 

¹æ»ç¼± °Ë»ç :  ƯÀÌ ¼Ò°ß ¾ø½¿.

ÃÊÀ½ÆÄ ¼Ò°ß :  È¸Àü±Ù°³°£°Ý °Ë»ó»ó ±Ø»ê°ÇÀº Á¤»ó¼Ò°ßÀ» º¸À̳ª °ß°©ÇϱٰÇÀº Àú¿¡ÄÚ ¿¬°á¼º ¼Ò½ÇÀÌ

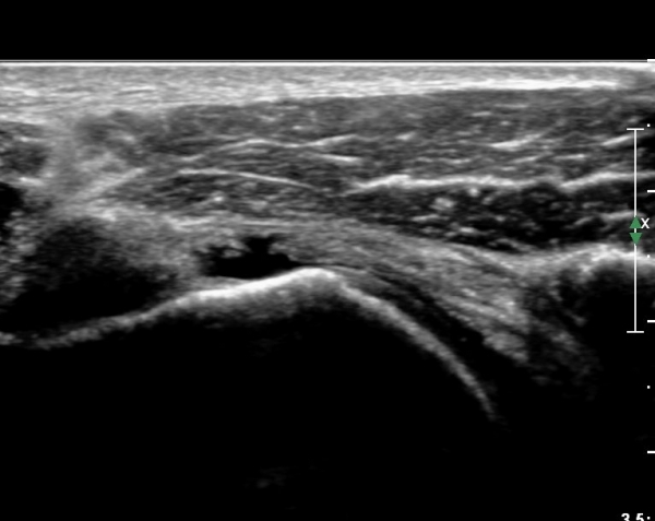
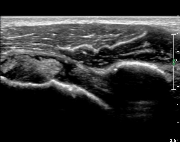
                      º¸¿© °ß°©ÇÏ±Ù°Ç ÆÄ¿­ÀÌ ÃßÁ¤µÈ´Ù(»çÁø 1). ŽÃËÀÚ¸¦ ¾à°£ ¾Æ·¡·Î À̵¿ÇÑ ÈÄ

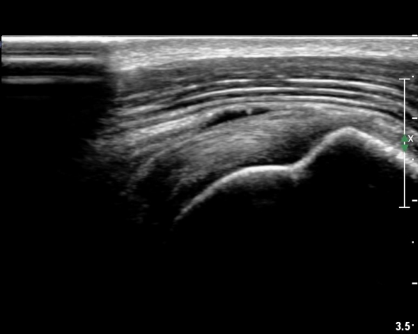
                      ÆÈÀ» ¿ÜȸÀüÇϸ鼭 °üÂûÇÏ´Ï °ß°©ÇÏ±Ù°Ç ÆÄ¿­ÀÌ ¶Ñ·ÈÇÔ(»çÁø 2, 3).

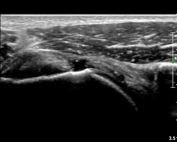
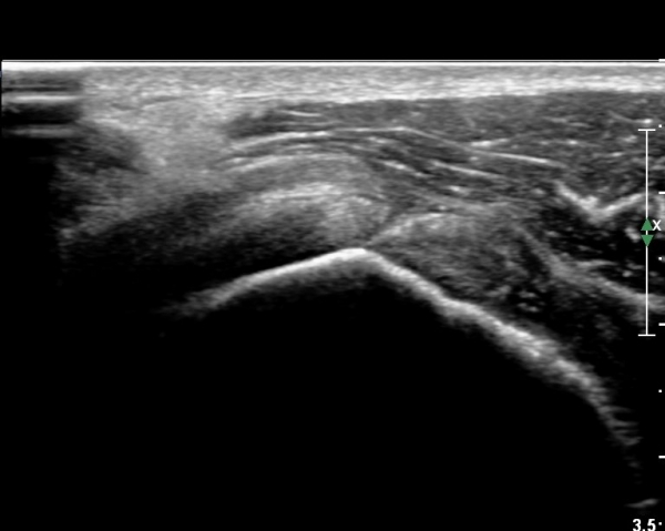
                      °ß°©ÇÏ±Ù°Ç »óºÎ Á¾´Ü¸é°Ë»ç¿¡¼­ °ß°©ÇϱٰǠ ÆÄ¿­ÀÌ ¶Ñ·ÈÇÔ(»çÁø 4, 5).

                      ÀÌµÎ¹Ú±Ù°Ç Á¾´Ü¸é°Ë»ç¿¡¼­ Á¡¾×³¶³» ¼ö¾×Àú·ù¿Í °üÀý³» ¼ö¾×Àú·ù°¡ °üÂûµÊ(»çÁø 6).

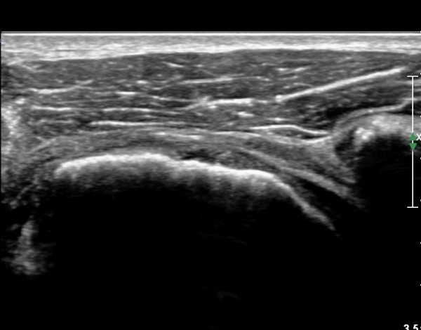
                      °ß°©ÇÏ±Ù°Ç ÁߺΠÁ¾´Ü¸é°Å»ç¿¡¼­ ÈûÁÙÀÌ ¾ã°Ô º¸¿© ÆÄ¿­·Î ÃÊÁ¤µÊ(»çÁø 7).

                      ±Ø»ó°Ç Á¾´Ü¸é°Ë»ç¿¡¼­ Á¡¾×³¶¾Ö ¼ö¾×Àú·ù°¡ °üÂûµÇ¸¸ ÈûÁÙÀº ¶Ñ·ÈÇÑ ÀÌ»ó ¼Ò°ßÀ» º¸ÀÌÁö ¾ÊÀ½(»çÁø 8).

                      ¾î±ú °üÀý³» ÁÖ»çÄ¡·á À̹ÌÁö(»çÁø 9).

                      °ß°©ÇÏ±Ù°Ç »óºÎ ¿ªµ¿Àû Á¾´Ü¸é°Ë»ç(÷ºÎ 1), ÁߺΠ¿ªµ¿Àû°Ë»ç(÷ºÎ 2). 


ÀÌÀü±Û ±Ø»ó°Ç°ú °ß°©ÇÏ±Ù°Ç ¹Ì¼¼ ¼®È¸È­¼º °Ç¿°
´ÙÀ½±Û °¥ºñ»À ÃÊÀ½ÆÄ°Ë»ç µ¿¿µ»ó
       
°¡¸ÍÁ¡¸í : ½Ã¸®¾Ç½ºÁ¤ÇüÀÇÇבּ¸È¸
»ç¾÷ÀÚµî·Ï¹øÈ£ : 894-81-00627 | ´ëÇ¥ÀÚ : ÀåµÎÇõ
 
ÁÖ¼Ò : °æ±âµµ ¾çÆò±º ¿ë¹®¸é ¿ë¹®·Î 375-1, 2Ãþ 1È£
TEL : 010-2323-4055
E-mail : cyriax12@naver.com
ÀԱݾȳ»
±¹¹ÎÀºÇà | ½Ã¸®¾Ç½ºÁ¤ÇüÀÇÇבּ¸È¸(ÁÖ)
220401-04-194155