¿ù»ó°ñ °ñÀý ÃÊÀ½ÆÄ¼Ò°ß(sonographic findings of lunate fracture)
ÀÛ¼ºÀÚ : ÃÖÀçÀÍ(jic121@hanmail.net) ÀÛ¼ºÀÏ : 2019-09-23 Á¶È¸¼ö : 1756
ÆÄÀÏ÷ºÎ :

³ªÀÌ ¼ºº°  : 27¼¼ / ³²ÀÚ

 

ÁÖ Áõ »ó : ¿ìÃø ¼Õ¸ñÀÇ ÅëÁõ ¹ÌÄ¡ °­Á÷(±â°£ : 2°³¿ù)

 

º´    ·Â  : ¾à 2°³¿ù Àü ÁÖ¸ÔÀ» Áã°í ºÎµúÈù ÈÄ ¼Õ¸ñÀÇ ÅëÁõÀÌ ¹ß»ýÇÏ¿©

             Ÿº´¿ø ³»¿ø ¹æ»ç¼± ÃØ¿µ °á°ú ƯÀÌ ¼Ò°ß ¾ø¾î ¾à 1ÁÖ ºÎ¸ñ °íÁ¤ ÈÄ ºÎ¸ñ Á¦°Å.

             ¼Õ¸ñ ÅëÁõÀÌ °è¼ÓµÇ°í ¼Õ¸ñÀÌ »»»»ÇÏ¿© ¤°í ÀÏ¾î ³¯ ¼ö ¾ø´Ù.

 

ÀÌÇÐÀû °Ë»ç : ¼Õ¸ñ ½ÅÀü°ú ±¼°îÀÌ ¸ðµÎ °¨¼ÒµÈ °üÀý¾ç ¾ç»ó(capsular pattern) °üÀý °¡µ¿ ¹üÀ§ Á¦ÇÑÀ»

                 º¸ÀÌ°í ¼Õ¸ñ ¿ù»ó°ñ ºÎÀ§ ±¹¼ÒÀû ¾ÐÅëÀ» º¸ÀÓ.

 

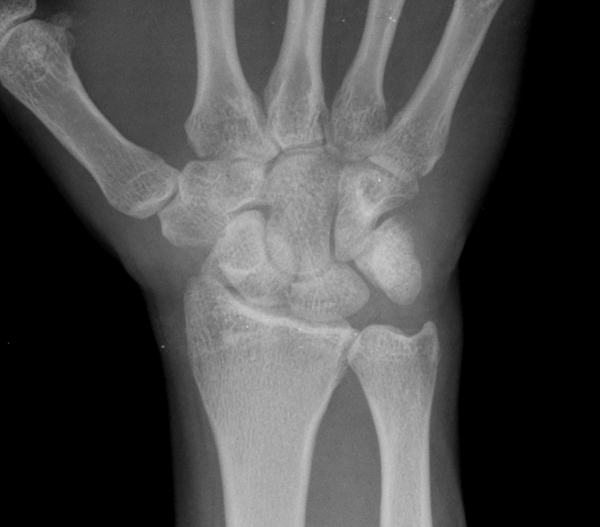
¹æ»ç¼± °Ë»ç : ¼Õ¸ñ Ãø¸é »çÁø¿¡¼­ ¿ù»ó°ñ ÀåÃø¿¡¼­ °ñ±ØÀÌ °üÂûµÊ( »çÁø 4).

 

ÃÊÀ½ÆÄ°Ë»ç : ¼Õ¸ñ ¹èÃø Á¾´Ü¸é°Ë»ç¿¡¼­ ¼ö±Ù°üÀý³» ¼ö¾×Àú·ù°¡ °üÂûµÊ(»çÁø 1).

                 ¼Õ¸ñ ÀåÃø Á¾´Ü¸é°Ë»ç¿¡¼­ ¿ù»ó°ñ °ñ±ØÀÌ °üÂûµÊ(»çÁø 2).

 

ÄÄÇ»ÅÍ ÃÔ¿µ :  ¿ù»ó°ñÀÇ ºÐ¼â°ñÀýÀÌ °üÂûµÊ(»çÁø 5, 6, 7, 8).

 

Ä¡         ·á  : ¹°¸®Ä¡·á

 

°í         Âû :  ¿Ü»ó ÈÄ °üÀý ºÎÁ¾ÀÌ ½ÉÇϰųª ±¹¼ÒÀû ¾ÐÅëÀÌ ¶Ñ·ÈÇÑ °æ¿ì¿¡´Â Ç×»ó °ñÀýÀÇ °¡´É¼ºÀ»

                  ¿°µÎ¿¡ µÎ¼Ò ¹æ»ç¼±°Ë»ç »Ó ¾Æ´Ï¶ó ÃÊÀ½ÆÄ°Ë»ç¸¦ ¹Ýµå½Ã ½ÃÇàÇÏ¿© °ñÀý ¿©ºÎ¸¦

                  Á¤È®ÇÏ°Ô °¨º°ÇÏ´Â °ÍÀÌ ¸Å¿ì Áß¿äÇÏ´Ù.

 

                  ¾î´À ºÎÀ§À̵ç ÃÊÀ½ÆÄ°Ë»ç¿¡¼­ °üÀý³» ºÎÁ¾ÀÌ °üÂûµÈ´Ù¸é ÀδëÆÄ¿­ ¶Ç´Â °ñÀý µî ½É°¢ÇÑ ¼Õ»óÀ»

                  ¾Ï½ÃÇÏ´Â ¼Ò°ßÀÌ´Ù. µû¶ó¼­ ÃÊÀ½ÆÄ°Ë»ç»ó °ñÀý¼Ò°ß ¾øÀÌ °üÀý³» ºÎÁ¾ÀÌ °üÂûµÇ´Â °æ¿ì¿¡µµ °ñÀýÀÇ °¡´É¼ºÀ»

                  ¿°µÎ¿¡ µÎ°í 1~2ÁÖ  ÃæºÐÈ÷ °íÁ¤ Ä¡·á ÈÄ ÃßÀû°Ë»ç¸¦ ½ÃÇàÇÏ¿© °ñÀý ¿©ºÎ¸¦ ÆÇ´ÜÇØ¾ß ÇÑ´Ù.

 

                  ƯÈ÷ ¼Õ¸ñ°ú ¼Õ, ¹ß¸ñ°ú ¹ß, °¥ºñ»À¿¡¼­´Â ¹æ»ç¼±°Ë»ç·Î È®ÀεÇÁö ¾Ê´Â °ñÀýÀÌ ¸Å¿ì ¸¹À¸¹Ç·Î

                  ½ÉÇÑ ÅëÁõÀ̳ª ±â´ÉÀå¾Ö°¡ ÀÖ´Â °æ¿ì¿¡´Â ¹Ýµå½Ã ÃÊÀ½ÆÄ°Ë»ç³ª ÄÄÇ»ÅÍ ÃÔ¿µÀ¸·Î °ñÀý¿©ºÎ¸¦ È®ÀÎÇØ¾ß ÇÑ´Ù.


ÀÌÀü±Û Äá¾Ë»À °ñÀý ÃÊÀ½ÆÄ ¼Ò°ß(sonographic appearance of pisiform fracture)
´ÙÀ½±Û ¾î±ú¸¦ ¸ø ¿Ã·Á¿ä! Áø´Ü µ¿¿µ»ó
       
°¡¸ÍÁ¡¸í : ½Ã¸®¾Ç½ºÁ¤ÇüÀÇÇבּ¸È¸
»ç¾÷ÀÚµî·Ï¹øÈ£ : 894-81-00627 | ´ëÇ¥ÀÚ : ÀåµÎÇõ
 
ÁÖ¼Ò : °æ±âµµ ¾çÆò±º ¿ë¹®¸é ¿ë¹®·Î 375-1, 2Ãþ 1È£
TEL : 010-2323-4055
E-mail : cyriax12@naver.com
ÀԱݾȳ»
±¹¹ÎÀºÇà | ½Ã¸®¾Ç½ºÁ¤ÇüÀÇÇבּ¸È¸(ÁÖ)
220401-04-194155