¼ºº°/³ªÀÌ
³²ÀÚ/42¼¼
ÁÖ Áõ»ó
¼Õ¸ñÇϼö(wrist drop) (3ÁÖ)
º´ ·Â
Ưº°ÇÑ ÀÌÀ¯ ¾øÀÌ °©ÀÚ±â Àü¹ÚºÎ ÅëÁõ °ú ¼Õ¸ñ ½ÅÀü±ÙÀÇ ÈûÀÌ ºüÁü.
Àü³¯ ¼ú¸¶½Ã°í ÀÚÁö´Â ¾Ê¾ÒÀ½,
ÀÌÇÐÀû°Ë»ç
¿ä°ñ°í¶ûÀÇ ±¹¼ÒÀû ¾ÐÅëÀÌ ½ÉÇÏ°í ¼Õ¸ñ ½ÅÀü±ÙÀº(0) µî±Þ,
±×¿Ü ¼Õ¸ñ ±¼°î, ÆÈ²ÞÄ¡ ±¼°î ¹× ½ÅÀü±Ù·ÂÀº Á¤»ó(5) µî±Þ
Âü°í: ±Ù·Â µî±Þ
0(zero) : ÀüÇô ¸ø¿òÁ÷ÀÓ 1(trace): ¾à°£ ¿òÁ÷ÀÓ º¸ÀÓ 2(poor) : ¸¹ÀÌ ¿òÁ÷ÀÌÁö¸¸ Áß·ÂÀ» ÀÌ±ì ¸øÇÔ
3(fair) : Áß·ÂÀ» À̱â°í ¿òÁ÷ÀÏ ¼ö ÀÖÀ½ 4(good): ¾î´À Á¤µµ ÀúÇ׿¡ ´ëÇ× ÇÒ ¼ö ÀÖÀ½ 5(normal): Á¤»ó
ÃÊÀ½ÆÄ°Ë»ç
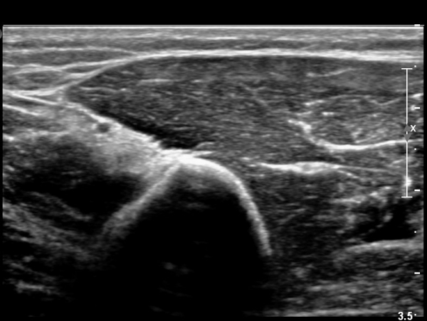
¿ä°ñ °í¶û¿¡¼ ¿ä°ñ½Å°æ Ⱦ´Ü¸é°Ë»ç»ó ¿ä°ñ½Å°æÀÇ °æ¹ÌÇÑ Àú¿¡ÄÚ ºÎÁ¾ÀÌ °üÂûµÈ´Ù(»çÁø 2).
ŽÃËÀÚ¸¦ Á¶±Ý ¸»´ÜÀ¸·Î À̵¿ÇÏ´Ï ¿ä°ñ½Å°æ Àú¿¡ÄÚ ºÎÁ¾ÀÌ ´õ¿í ¶Ñ·ÈÇѵ¥(»çÁø 2),
ŽÃÊÀÚ¸¦ Á¶±Ý ´õ ¸»´ÜÀ¸·Î À̵¿ÇÏ´Ï ¿ä°ñ½Å°æÀÌ °üÂûµÇÁö ¾Ê°í(»çÁø3),
Á¶±Ý ´õ ¸»´ÜÀ¸·Î À̵¿ÇÏ´Ï ´Ù½Ã Àú¿¡ÄÚ ºÎÁ¾ »óÅ·Π°üÂûµÈ´Ù(»çÁø 4).
ÀÌ·± ÀÏ·ÃÀÇ °úÁ¤Àº ÷ºÎ µ¿¿µ»ó¿¡¼ ¶Ñ·ÈÈ÷ °üÂûµÈ´Ù.
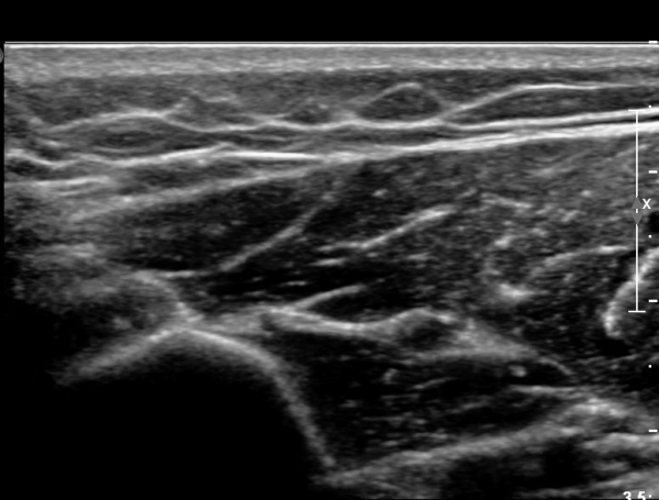
¿ä°ñ °í¶û ¸»´Ü¿¡¼ ¿ä°ñ½Å°æ Á¾´Ü¸é°Ë»ç»ó ¿ä°ñ½Å°æÀÇ Àú¿¡ÄÚ ºÎÁ¾°ú Áß°£ ºÎÀ§¿¡
±¹¼ÒÀû ÇùÂøÀÌ °üÂûµÈ´Ù(»çÁø 5).
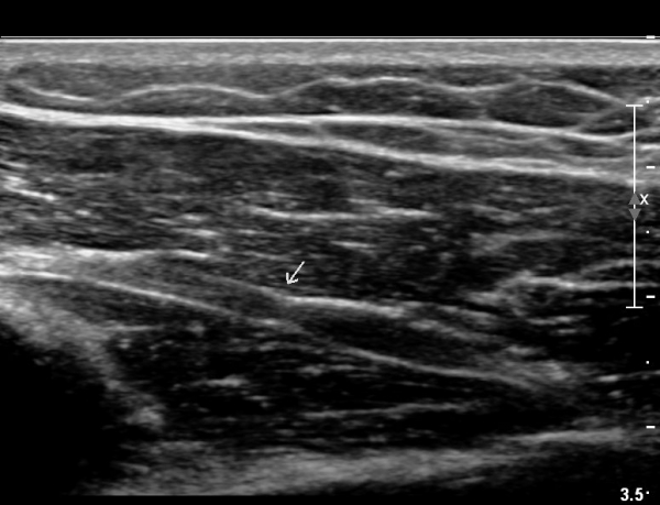
¿ä°ñ °í¶û ±ÙÀ§ºÎ¿¡¼ ¿ä°ñ½Å°æ Ⱦ´Ü¸é°Ë»ç»ó ¿ä°ñ½Å°æÀÇ °æ¹ÌÇÑ Àú¿¡ÄÚ ºÎÁ¾ÀÌ °üÂûµÈ´Ù(»çÁø 6).
ŽÃÊÀÚ¸¦ Á¶±Ý ´õ ¸»´ÜÀ¸·Î À̵¿ÇÏ´Ï ¿ä°ñ½Å°æ Àú¿¡ÄÚ ºÎÁ¾ÀÌ ¶Ñ·ÈÇÏÁö ¾Ê´Ù(»çÁø 7).
¿ä°ñ °í¶û ±ÙÀ§ºÎ¿¡¼ ¿ä°ñ½Å°æ Á¾´Ü¸é°Ë»ç»ó ¿ä°ñ½Å°æÀÇ °æ¹ÌÇÑ Àú¿¡ÄÚ ºÎÁ¾°ú Áß°£ ºÎÀ§¿¡
¹Ì¼¼ÇÑ ±¹¼ÒÀû ÇùÂøÀÌ °üÂûµÈ´Ù(»çÁø 8)
±ÙÀüµµ°Ë»ç
¿ä°ñ °í¶û ºÎÀ§¿¡¼ ¿ä°ñ½Å°æ ¿ÏÀü ¸¶ºñ »óÅÂ
Ä¡·á
Áï°¢ÀûÀÎ ¼ö¼ú ±Ç°í
À¯»ç Áõ·Ê
http://cyriax.co.kr/sub03-03.php?ptype=view&idx=6405&page=1&code=dataroom03&category=139
Âü°í ¹®Çå
1. https://www.researchgate.net/publication/266029568_Spontaneous_nerve_torsion_unusual_cause_of_radial_nerve_palsy
2. https://www.researchgate.net/publication/236458022_The_role_of_ultrasonography_and_MRI_in_patients_with_non-traumatic_nerve_fascicle_torsion_of_the_upper_extremity
°íÂû
´ëºÎºÐÀÇ ¼Õ¸ñÇϼö(wrist drop)Àº ¼úÀ» ¸¶½Å ÈÄ ¶Ç´Â ¾àÀ» º¹¿ë ÈÄ ÀÚ´Ù°¡ ¹«ÀǽÄÀûÀ¸·Î
»ó¹ÚºÎ°¡ ´·Á¼ ¿ä°ñ½Å°æÀÌ ¸¶ºñµÇ´Â ¼ÒÀ§ ½ÅÈ¥¿©Çึºñ ¶Ç´Â Åä¿äÀϹ㸶ºñ°¡ ´ëºÎºÐÀ̰í
ÀûÀýÇÏ°Ô Ä¡·áÇÒ °æ¿ì ºü¸£¸é 1°³¿ù , Åë»óÀûÀ¸·Î 3-6°³¿ù, ±æ¸é 1³â Á¤µµ¿¡ È£ÀüµÈ´Ù.
±×·¯³ª º» Áõ·Ê¿Í °°ÀÌ ÃÊÀ½ÆÄ°Ë»ç³ª ÀÚ±â°ø¸í°Ë»ç»ó hourglass apperance¸¦ º¸ÀÌ´Â °æ¿ì´Â
¼ö¼úÀå¿¡¼ °üÂû½Ã ºñƲ¸²(torsion)À» º¸ÀÌ´Â °æ¿ì·Î¼ ´ëºÎºÐ ÀÚ¿¬ È£ÀüÀÌ µÇÁö¾ÊÀ¸¹Ç·Î Áï°¢ÀûÀÎ
¼ö¼úÀûÄ¡·á¸¦ °í·ÁÇØ¾ß ÇÑ´Ù.

 
±×·¯³ª ÀÓ»óÀû°Ë»ç³ª ±ÙÀüµµ°Ë»ç¸¸À¸·Î´Â º» Áõ·Ê¿Í °°Àº °æ¿ì¸¦ ±¸ºÐÇÒ ¼ö ¾øÀ¸¹Ç·Î
±ÙÀüµµ°Ë»ç·Î ¿ä°ñ½Å°æº´ÁõÀÌ Áø´ÜµÈ Áï½Ã ¶Ç´Â Åë»óÀûÀÎ ±â°£ Ä¡·á ÈÄ È£ÀüÀÌ ºÒ·®ÇÒ °æ¿ì
ÃÊÀ½ÆÄ°Ë»ç³ª ÀÚ±â°ø¸í°Ë»ç(MRI)°¡ ÇÊ¿äÇÏ´Ù.
ÃÊÀ½ÆÄ°Ë»ç¿¡¼ µÎ °÷ÀÇ ºñƲ¸²¿¡ ÀÇÇÑ ÇùÂøÀÌ ¹ß»ýÇÏ¿´´Âµ¥ ¼ö¼ú ½Ã¾ß¿¡¼µµ µÎ°÷ÀÇ ÇùÂøÀÌ È®Àε˴ϴÙ(»çÁø 9, 10)
È®´ëµÈ »çÁø¿¡¼ ½Å°æºñƲ¸²(torsion)ÀÌ ¶Ñ·ÈÇÏ´Ù(»çÁø 11).
½Å°æ ºñƲ¸²ÀÇ ¿øÀÎÀº ¾ÆÁ÷ ¹àÇôÁöÁö ¾Ê¾Ò´Âµ¥, ½Å°æÀÇ ºÎÁ¾À̳ª À¯ÂøÀÌ ¹ß»ýÇÏ¿© À¯µ¿¼ºÀÌ ÀúÇÏµÈ »óÅ¿¡¼
rachet »óÅÂ¿Í À¯»çÇÑ Çö»óÀÌ ¹ß»ýÇÏ¿© ÆÈÀÇ ¿òÁ÷ÀÓ¿¡ µû¶ó ºñƲ¸²ÀÌ ¹ß»ýÇÏ´Â °ÍÀ¸·Î ÃßÁ¤ÇÑ´Ù.
ºñƲ¸²ÀÌ ½ÉÇÏÁö ¾Ê°Å³ª Á¶±â¿¡ ¼ö¼úóġ°¡ ½ÃÇàµÇ´Â °æ¿ì¿¡´Â ½Å°æ¹Ú¸®¼ú(neurolysis) ¶Ç´Â ½Å°æ³»¹Ú¸®¼ú(endoneurolysis) ¸¸
½ÃÇàÇÒ ¼öµµ ÀÖÀ¸³ª ½Å°æÀÇ ºñƲ¸²ÀÌ ½ÉÇϰųª(»çÁø 12, 13) Àå±â°£ ºñƲ¸²ÀÌ Áö¼ÓµÈ °æ¿ì¿¡´Â ±¹¼ÒÀûÀ¸·Î ½Å°æÀÇ ¿ÏÀü ¼Õ»óÀÌ
¹ß»ýÇϹǷΠÀýÁ¦ÈÄ ÀýÁ¦ ÈÄ ½Å°æºÀÇÕ¼ú(neurorraphy)À» ½ÃÇàÇÑ´Ù(»çÁø 14). |