[¹ß¸ñ] ¾ÆÅ³·¹½º°Ç ÆÄ¿­ ÃÊÀ½ÆÄ°Ë»ç ¹× º¸Á¸ÀûÄ¡·á
ÀÛ¼ºÀÚ : ÃÖÀçÀÍ(jic121@hanmail.net) ÀÛ¼ºÀÏ : 2018-10-28 Á¶È¸¼ö : 3391
ÆÄÀÏ÷ºÎ :

³²ÀÚ /46¼¼

 

ÁÖÁõ»ó : ÁÂÃø ¹ß¸ñÀÇ ÅëÁõ ¹× º¸ÇàÀå¾Ö

 

º´  ·Â : ¾à 3°³¿ù Àü °øÂ÷´Ù°¡ ¹ß¸ñ¿¡¼­ ¶ÒÇÏ´Â ´À³¦ÀÌ ÀÖÀº ÈÄ ¹ß¸ñÀÇ ÅëÁõ°ú º¸ÇàÀå¾Ö°¡ ¹ß»ý.

 

          ÇÑÀÇ¿ø, Á¤Çü¿Ü°ú¿¡¼­ Ä¡·á ÈÄ ÅëÁõÀº È£ÀüµÇ¾úÀ¸³ª º¸ÇàÀå¾Ö°¡ Áö¼ÓµÇ¾î ³»¿ø.

 

ÀÌÇÐÀû°Ë»ç : ¹ß µÚ²ÞÄ¡ ¾ÆÅ³·¹½º°Ç ºÎÀ§ ºÎÁ¾À» º¸ÀÓ.

                 ¹ß¸ñ Á·Àú±¼°îÀÌ ¾àÇÏ¿© Çѹ߷Π¼­±â°¡ ¾ÈµÊ.

                 º¸Çà ½Ã ¹ß¹Ù´Ú Àüü·Î µó´Â ÆÄÇ༺ º¸ÇàÀ» º¸ÀÓ.

 

ÃÊÀ½ÆÄ°Ë»ç ¼Ò°ß :

    2017³â 8¿ù 31ÀÏ ÃÊÁø °Ë»ç

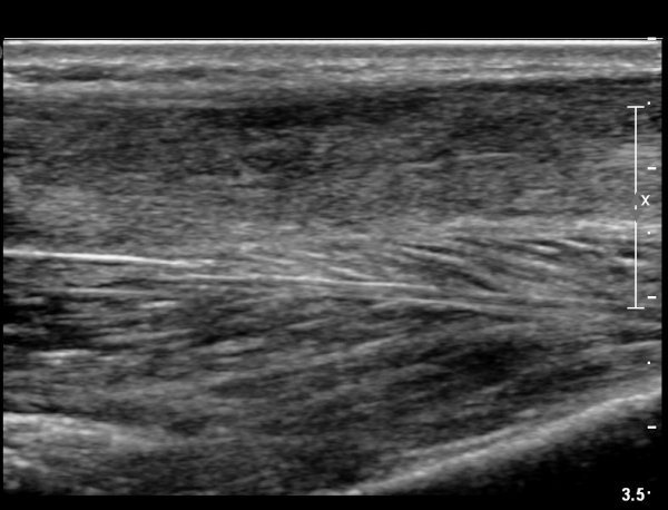
              ³»Ãø ºñº¹±Ù Á¾´Ü¸é°Ë»ç¿¡¼­ ³»Ãø ¹èº¹±Ù ¸»´ÜºÎ ÆÄ¿­°ú °¡Àڹ̱٠½ÉºÎ¿¡ ¼ö¾×Àú·ù°¡ °üÂûµÊ(»çÁø 1, 2).

 

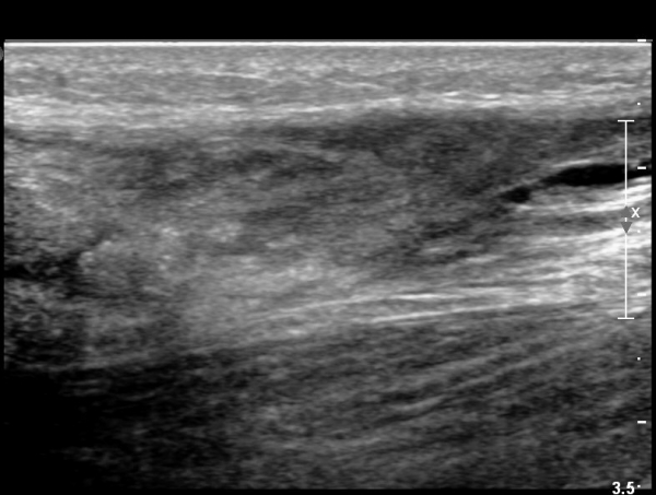
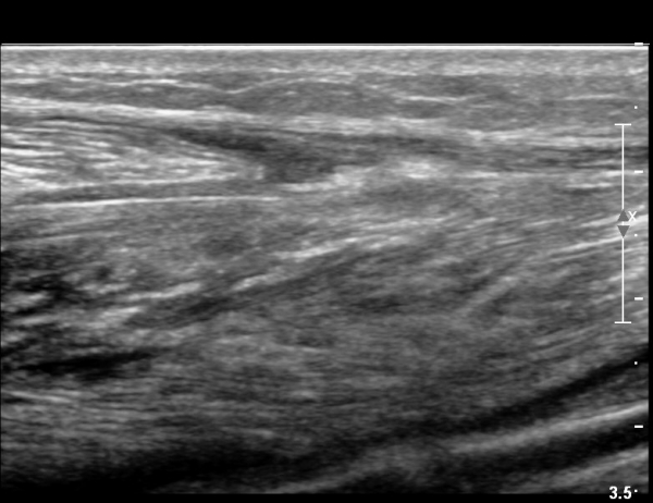
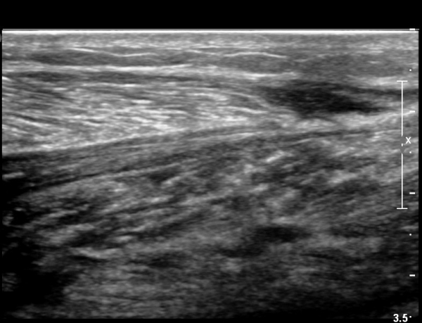
              ¾ÆÅ³·¹½º°Ç Á¾´Ü¸é°Ë»ç¿¡¼­ ¾ÆÅ³·¹½º°Ç ¸»´ÜºÎ¿¡ ¾ÆÅ³·¹½º°ÇÀÇ Àú¿¡ÄÚºÎÁ¾, ±¹¼ÒÀû ¿¬°á¼º ¼Ò½Ç,

              ¹ß¸ñ°üÀý ÈĹæºÎ¿¡ ¼ö¾×Àú·ù°¡ °üÂûµÊ(»çÁø 3, 4, 5).

         

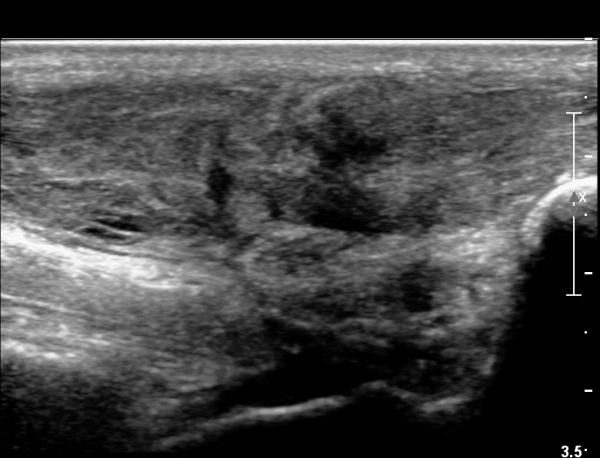
              ¾ÆÅ³·¹½º°Ç ±ÙÀ§ºÎ Á¾´Ü¸é°Ë»ç¿¡¼­ ¾ÆÅ³·¹½º°ÇÀÇ Àú¿¡ÄÚºÎÁ¾, ±¹¼ÒÀû ¿¬°á¼º ¼Ò½ÇÀÌ °üÂûµÇ¾î

              ÆÄ¿­ÀÌ ±¤¹üÀ§ ÇÑ °ÍÀ» º¸¿©ÁÜ(»çÁø 6, 7).

 

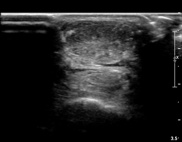
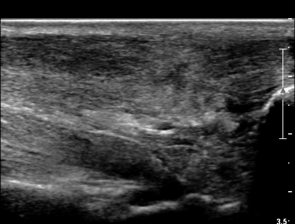
              ¾ÆÅ³·¹½º°Ç Ⱦ´Ü¸é°Ë»ç¿¡¼­  ¾ÆÅ³·¹½º°ÇÀÇ Àú¿¡ÄÚºÎÁ¾, ±¹¼ÒÀû ¿¬°á¼º ¼Ò½ÇÀÌ °üÂûµÊ(»çÁø 8).

 

    2018³â  1¿ù 30ÀÏ ÃßÀû°Ë»ç

              ¾ÆÅ³·¹½º°Ç Àú¿¡ÄÚºÎÁ¾ÀÌ °¨¼ÒµÇ°í  ÆÄ¿­ºÎÀ§ Àú¿¡ÄÚ°¡ È£ÀüµÇ¾î

              °ÇÀÇ ¼¶À¯¼º¾ç»ó(fibrillar pattern)ÀÌ È¸º¹µÇ°í ±¹¼ÒÀû ¿¬°á¼º ¼Ò½ÇÀÌ »ç¶óÁü(»çÁø 9, 10, 11, 12).

 

 

Ä¡  ·á : ¾à 5°³¿ù °£ PRP ÁÖ»ç 2ȸ , Ãæ°ÝÆÄÄ¡·á 6ȸ ½ÃÇà.

 

°æ  °ú : 5°³¿ù ÈÄ º¸ÇàÀº Á¤»ó ¾ç»óÀ¸·Î ȸº¹µÇ°í, ¹ß³¡À¸·Î ¼­±â°¡ °¡´ÉÇϳª Á¤»çÃø¿¡ ºñÇØ ¾àÈ­¸¦ º¸ÀÓ.


ÀÌÀü±Û ¾ÆÅ³·¹½º°Ç ÆÄ¿­ ÃÊÀ½ÆÄ°Ë»ç ¼Ò°ß
´ÙÀ½±Û Á·Çϼö(foot drop)ÀÇ °¨º° Áø´Ü µ¿¿µ»ó
       
°¡¸ÍÁ¡¸í : ½Ã¸®¾Ç½ºÁ¤ÇüÀÇÇבּ¸È¸
»ç¾÷ÀÚµî·Ï¹øÈ£ : 894-81-00627 | ´ëÇ¥ÀÚ : ÀåµÎÇõ
 
ÁÖ¼Ò : °æ±âµµ ¾çÆò±º ¿ë¹®¸é ¿ë¹®·Î 375-1, 2Ãþ 1È£
TEL : 010-2323-4055
E-mail : cyriax12@naver.com
ÀԱݾȳ»
±¹¹ÎÀºÇà | ½Ã¸®¾Ç½ºÁ¤ÇüÀÇÇבּ¸È¸(ÁÖ)
220401-04-194155