[¹ß¸ñ] Àü°ÅºñÀδë¿Í Á¾°ñºñ°ñ ÀÎ´ë ÆÄ¿­ ÃÊÀ½ÆÄ°Ë»ç(sonography of ATF and Cf ligament tear)
ÀÛ¼ºÀÚ : °ü¸®ÀÚ(khu3265442@naver.com) ÀÛ¼ºÀÏ : 2018-09-18 Á¶È¸¼ö : 4815
ÆÄÀÏ÷ºÎ :

¼ºº° / ³ªÀÌ
¿©ÀÚ/ 46¼¼


ÁÖÁõ»ó
2ÀÏÀü ¹ß¸ñÀ» »á ÈÄ ÅëÁõ ¹ß»ý


º´·Â
2ÀÏÀü ¼ö»ó ÈÄ Å¸º´¿ø¿¡¼­ ÃÊÀ½ÆÄ°Ë»ç ÈÄ ÀÎ´ë ¼Õ»óÀ» Áø´Ü ¹Þ°í ºÎ¸ñ Ä¡·á ÈÄ

Áø´Ü È®ÀÎ À§ÇØ ³»¿ø


ÀÌÇÐÀû °Ë»ç
¹ß¸ñ ¿ÜÃøºÎ ºÎÁ¾°ú ±¹¼ÒÀû ¾ÐÅëÀ» º¸ÀÓ. Àü¹æ °ßÀΰ˻翡¼­ ¾ç¼º ¼Ò°ßÀ» º¸ÀÓ.


ÃÊÀ½ÆÄ °Ë»ç
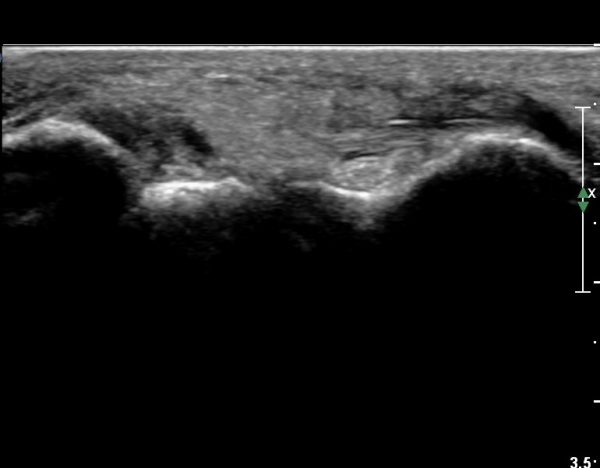
Àü¹æ¸»´ÜÁ¾°ñºñ°ñÀδë Á¾´Ü¸é°Ë»ç¿¡¼­ ƯÀÌ ¼Ò°ßÀ» º¸ÀÌÁö ¾ÊÀ½(»çÁø 1).


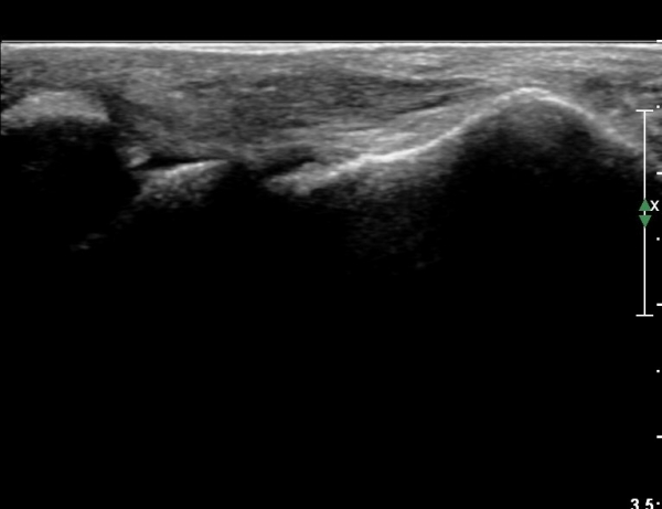
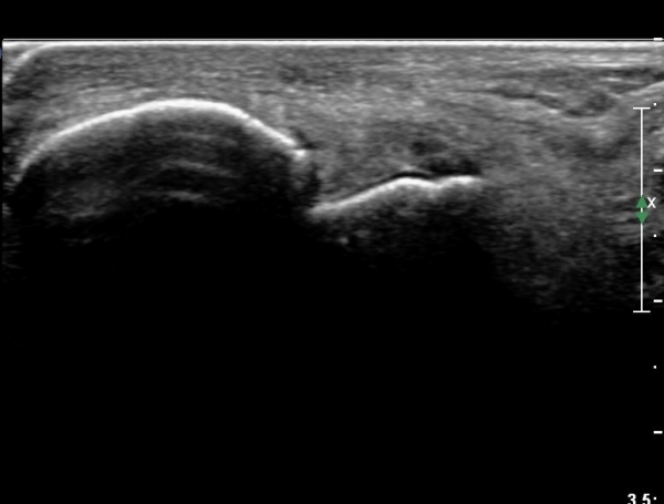
Àü°ÅºñÀδë Á¾´Ü¸é°Ë»ç¿¡¼­  Àü°ÅºñÀδëÀÇ ÆÄ¿­À» º¸ÀÓ(»çÁø 2).


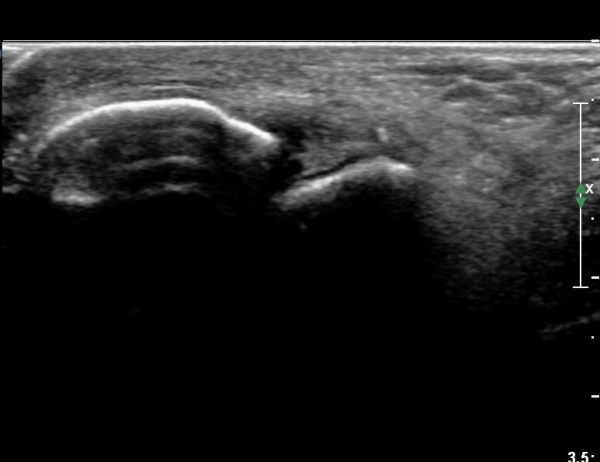
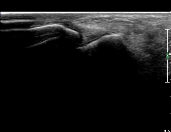
Àü°ÅºñÀÎ´ë ºÎÇϰ˻翡¼­ ÀδëÆÄ¿­ ºÎÀ§°¡ ¹ú¾îÁö°í °Å°ñÀÌ ¾ÕÀ¸·Î ´Ü°ÜÁö´Â ¼Ò°ßÀ» º¸ÀÓ(»çÁø 3, 4, ÷ºÎ µ¿¿µ»ó).


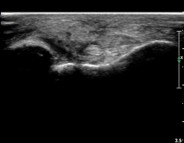
¹ß¸ñ°üÀý Á¾´Ü¸é°Ë»ç¿¡¼­ ¼Ò·®ÀÇ ¼ö¾×Àú·ù°¡ °üÂûµÊ(»çÁø 5).


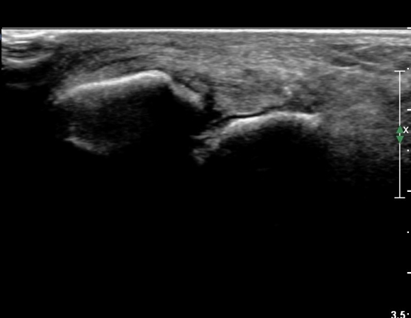
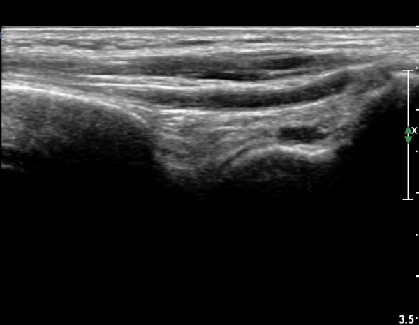
Á¾°ñºñ°ñÀδë Á¾´Ü¸é°Ë»ç¿¡¼­ ÀδëÀÇ ºñ°ñ ºÎÂøºÎ¿¡ Àú¿¡ÄÚ ºÎÁ¾ÀÌ °üÂûµÇ³ª
ºñµî¹æ¼ºÀΰøÀ½¿µ(anisotropic artifact) ¶§¹®¿¡ ÆÄ¿­ÀÌ È®½ÇÄ¡ ¾Ê´Ù(»çÁø 6, 7).


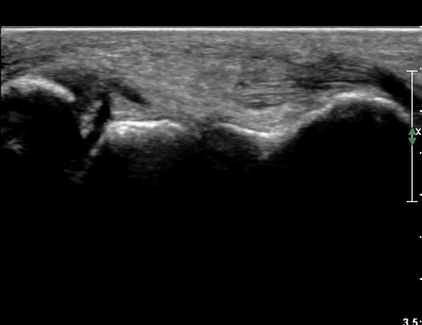
Á¾°ñºñ°ñÀÎ´ë ºÎÇϰ˻翡¼­ ÀδëÆÄ¿­ºÎ ¹ú¾îÁüÀÌ  ¶Ñ·ÈÇÏ´Ù(»çÁø 8).


°ÇÃøºÎ Àü°ÅºñÀδë Á¾´Ü¸é°Ë»ç¿¡¼­ Á¤»ó ÀÎ´ë ¼Ò°ßÀ» º¸ÀδÙ(»çÁø 9).


°ÇÃøºÎ Á¾°ñºñ°ñÀÎ´ë  Á¾´Ü¸é°Ë»ç¿¡¼­ Á¤»ó ÀÎ´ë ¼Ò°ßÀ» º¸ÀδÙ(»çÁø10).



´Ü¼ø¹æ»ç¼±°Ë»ç
1


ÀÚ±â°ø¸í°Ë»ç
¼ö¼ú ½ÃÇິ¿ø¿¡¼­ ½ÃÇàÇÑ MRI¿¡¼­µµ ÃÊÀ½ÆÄ°Ë»ç¿Í °°Àº ¼Ò°ß


Ä¡·á
Àü°ÅºñÀδë¿Í Á¾°ñºñ°ñÀÎ´ë ¸ðµÎ ÆÄ¿­µÈ »óÅ·Π¼ö¼úÀûÀÀÁõÀ̹ǷΠŸº´¿ø¿¡¼­ ¼ö¼ú ½ÃÇà



 


¹ß¸ñ °üÀý ÃÊÀ½ÆÄ °Ë»ç´Â ÀδëÆÄ¿­°ú ¹Ì¼¼ °ñÀý Áø´Ü¿¡ ¸Å¿ì À¯¿ëÇϰí,


ƯÈ÷ ÃÊÀ½ÆÄ À¯µµÇÏ Àü°ÅºñÀδë, Á¾°ñºñ°ñÀÎ´ë ºÎÇϰ˻ç´Â ÀδëÀÇ ¾ÈÁ¤¼ºÀ»


Á¤È®È÷ Æò°¡ÇÏ¿© ¹ß¸ñ ¼Õ»ó ÈÄ Æò°¡ ¹×  Ä¡·á ¹æ¹ý¼±Åÿ¡ ¸Å¿ì À¯¿ëÇÏ´Ù.



À½ÆÄÀ¯µµÇÏ ºÎÇÏ°Ë»ç µ¿¿µ»ó
https://www.youtube.com/watch?v=dV7yeHR2WtE&feature=youtu.be

 

Á¾°ñºñ°ñÀδë ÃÊÀ½ÆÄÀ¯µµÇÏ ºÎÇÏ°Ë»ç µ¿¿µ»ó
https://www.youtube.com/watch?v=xqXmAAYm6G4&feature=youtu.be

 

Áõ·Ê °­ÀÇ µ¿¿µ»ó
https://www.youtube.com/watch?v=HNY9rP7B5HE&feature=youtu.be

ÀÌÀü±Û Àü°ÅºñÀδë, ºñ°ñÁ¾°ñÀÎ´ë ÆÄ¿­ ÃÊÀ½ÆÄ°Ë»ç µ¿¿µ»ó
´ÙÀ½±Û Á·±Ùµ¿ ÁõÈıº ÃÊÀ½ÆÄ ¼Ò°ß(sonography of sinus tarsi syndrome)
       
°¡¸ÍÁ¡¸í : ½Ã¸®¾Ç½ºÁ¤ÇüÀÇÇבּ¸È¸
»ç¾÷ÀÚµî·Ï¹øÈ£ : 894-81-00627 | ´ëÇ¥ÀÚ : ÀåµÎÇõ
 
ÁÖ¼Ò : °æ±âµµ ¾çÆò±º ¿ë¹®¸é ¿ë¹®·Î 375-1, 2Ãþ 1È£
TEL : 010-2323-4055
E-mail : cyriax12@naver.com
ÀԱݾȳ»
±¹¹ÎÀºÇà | ½Ã¸®¾Ç½ºÁ¤ÇüÀÇÇבּ¸È¸(ÁÖ)
220401-04-194155