[¹ß¸ñ] Á·±Ùµ¿ ÁõÈıº ÃÊÀ½ÆÄ ¼Ò°ß(sonography of sinus tarsi syndrome)
ÀÛ¼ºÀÚ : °ü¸®ÀÚ(khu3265442@naver.com) ÀÛ¼ºÀÏ : 2018-09-18 Á¶È¸¼ö : 2710
ÆÄÀÏ÷ºÎ :

¼ºº° / ³ªÀÌ
³²ÀÚ/ 18¼¼


ÁÖÁõ»ó
¿ìÃø ¹ß ¿ÜÃø ÅëÁõ(±â°£ ; ÇÑ´Þ)


º´·Â
üÀ°Çаú ÀÔÇÐ Áغñ¸¦ À§ÇØ ¿îµ¿À» ¸¹ÀÌ ÇÏ´Â ÇлýÀ¸·Î ¾à 1´ÞÀü ºÎ´õ ¹ß¸ñ ¿ÜÃø ÅëÁõÀÌ ¹ß»ý


ÀÌÇÐÀû °Ë»ç
¹ß¸ñ °üÀý°¡µ¿¹üÀ§ Á¦ÇÑÀ» º¸ÀÌÁö ¾Ê°í, ¹ßÀÇ È¸¿Ü ¹è±¼½Ã ÅëÁõÀ» º¸ÀÓ
sinus tarsi ¹èÃø ¸»´Ü °æ°ÔºÎ¿¡ ±¹¼ÒÀû ¾ÐÅëÀ» º¸ÀÓ.


ÃÊÀ½ÆÄ °Ë»ç
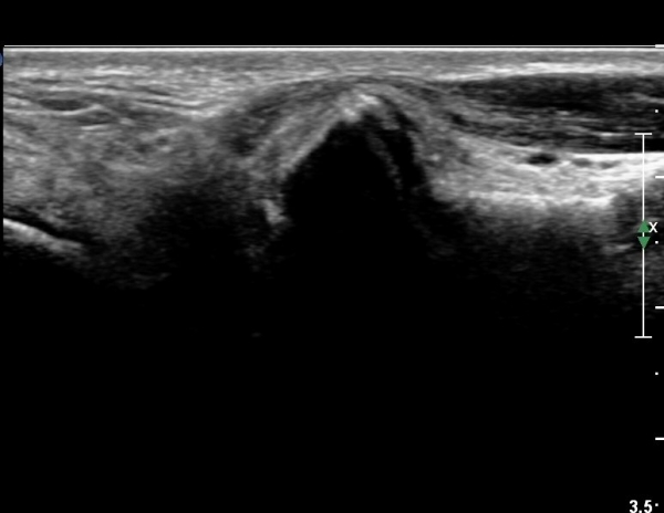
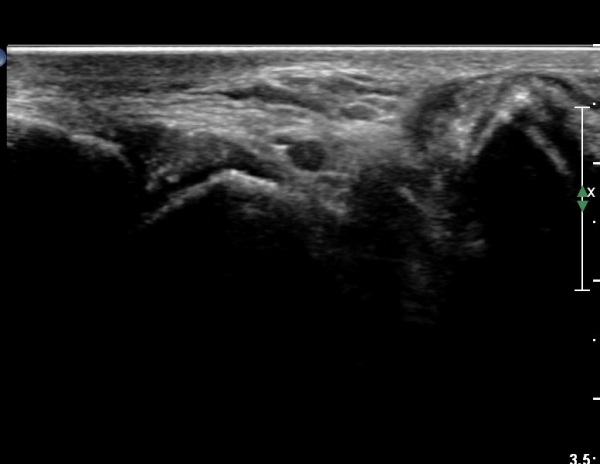
¹ß¸ñ °üÀý Á¾´Ü¸é°Ë»ç¿¡¼­ °æ¹ÌÇÑ °üÀý³» ºÎÁ¾À» º¸ÀÓ(»çÁø 1).


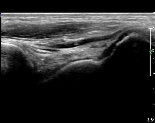
Àü°ÅºñÀδë Á¾´Ü¸é°Ë»ç¿¡¼­ Àü°Åºñ ÀδëÀÇ Àú¿¡ÄÚ ºÎÁ¶À» º¸ÀÓ(»çÁø 2).


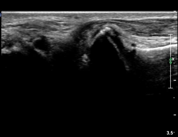
Á¾°ñ Àü¹æ µ¹±â(anterior process) °ñ±Ø°ú Ȱ¾×¸·¿° ¼Ò°ßÀ» º¸ÀÓ(»çÁø 3, 4).


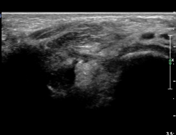
Sinus tarsi Á¾´Ü¸é, Ⱦ´Ü¸é°Ë»ç¿¡¼­ sinus tarsi ³» ºÎÁ¾À» º¸ÀÓ(»çÁø 5, 6).



´Ü¼ø¹æ»ç¼±°Ë»ç
Á¾°ñ Àü¹æµ¹±âÀÇ µ¹ÃâÀ» º¸ÀÓ.(÷ºÎ ¹æ»ç¼± °Ë»ç »çÁø)


ÀÚ±â°ø¸í°Ë»ç
½ÃÇàÇÏÁö ¾ÊÀ½


Ä¡·á
È޽à ¹× ¹°¸®Ä¡·á



ÀÌÀü±Û Àü°ÅºñÀδë¿Í Á¾°ñºñ°ñ ÀÎ´ë ÆÄ¿­ ÃÊÀ½ÆÄ°Ë»ç(sonography of ATF and Cf ligament tear)
´ÙÀ½±Û ¹«¸­ °üÀý°­³» ÁÖ»ç ¹æ¹ý µ¿¿µ»ó
       
°¡¸ÍÁ¡¸í : ½Ã¸®¾Ç½ºÁ¤ÇüÀÇÇבּ¸È¸
»ç¾÷ÀÚµî·Ï¹øÈ£ : 894-81-00627 | ´ëÇ¥ÀÚ : ÀåµÎÇõ
 
ÁÖ¼Ò : °æ±âµµ ¾çÆò±º ¿ë¹®¸é ¿ë¹®·Î 375-1, 2Ãþ 1È£
TEL : 010-2323-4055
E-mail : cyriax12@naver.com
ÀԱݾȳ»
±¹¹ÎÀºÇà | ½Ã¸®¾Ç½ºÁ¤ÇüÀÇÇבּ¸È¸(ÁÖ)
220401-04-194155