[¹ß¸ñ] Àü°ÅºñÀÎ´ë ÆÄ¿­ ¹× °ß¿­°ñÀý
ÀÛ¼ºÀÚ : °ü¸®ÀÚ(khu3265442@naver.com) ÀÛ¼ºÀÏ : 2018-06-29 Á¶È¸¼ö : 2226
ÆÄÀÏ÷ºÎ :

¼ºº° / ³ªÀÌ
³²Áö/ 7¼¼


ÁÖÁõ»ó
¿ìÃø ¹ß¸ñÀÇ ÅëÁõ(1ÀÏ)


º´·Â
ÇÏ·ç Àü ¹ß¸ñÀ» »ß´Ù


ÀÌÇÐÀû °Ë»ç
Àü°ÅºñÀÎ´ë ºÎÀ§ ±¹¼ÒÀû ¾ÐÅë, ºÎÁ¾À» º¸ÀÓ. Àü¹æ´ç±è°Ë»ç (+)


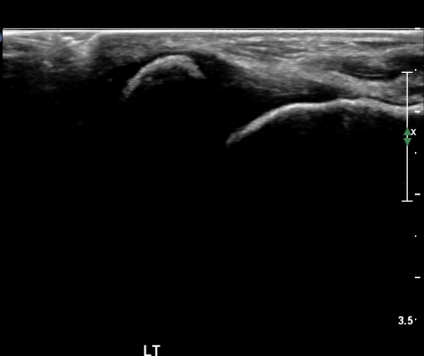
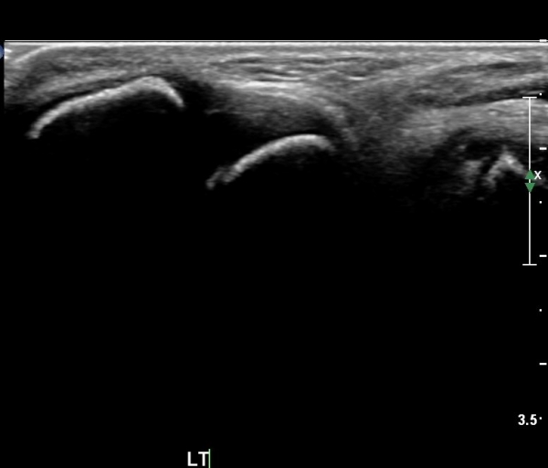
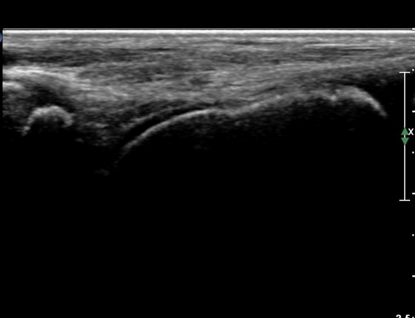
ÃÊÀ½ÆÄ °Ë»ç


´Ü¼ø¹æ»ç¼±°Ë»ç

¤º


ÀÚ±â°ø¸í°Ë»ç
¤º


Ä¡·á
¤º



 

ÀÌÀü±Û ÃÊÀ½ÆÄ Åõ½ÃÇÏ ¹ß¸ñ Àü°ÅºñÀδë Àü¹æ°ßÀÎ °Ë»ç µ¿¿µ»ó
´ÙÀ½±Û ¾ûµ¢ÀÌ¿Í ¹«¸­ ÃÊÀ½ÆÄ°Ë»ç µ¿¿µ»ó
       
°¡¸ÍÁ¡¸í : ½Ã¸®¾Ç½ºÁ¤ÇüÀÇÇבּ¸È¸
»ç¾÷ÀÚµî·Ï¹øÈ£ : 894-81-00627 | ´ëÇ¥ÀÚ : ÀåµÎÇõ
 
ÁÖ¼Ò : °æ±âµµ ¾çÆò±º ¿ë¹®¸é ¿ë¹®·Î 375-1, 2Ãþ 1È£
TEL : 010-2323-4055
E-mail : cyriax12@naver.com
ÀԱݾȳ»
±¹¹ÎÀºÇà | ½Ã¸®¾Ç½ºÁ¤ÇüÀÇÇבּ¸È¸(ÁÖ)
220401-04-194155