[¼Õ¸ñ] sonographic findings of ECRL, ECRB tendinitis
ÀÛ¼ºÀÚ : °ü¸®ÀÚ(khu3265442@naver.com) ÀÛ¼ºÀÏ : 2018-05-09 Á¶È¸¼ö : 2303
ÆÄÀÏ÷ºÎ :

¼ºº° / ³ªÀÌ
female/ 62 yrs


ÁÖÁõ»ó
¿ìÃø ¼Õ¸ñÀÇ ÅëÁõ(2´Þ)


º´·Â
Ưº°ÇÑ ÀÌÀ¯ ¾øÀÌ ¼Õ¸ñÀÇ ÅëÁõÀÌ ¹ß»ý. ¿òÁ÷ÀÏ ¶§ ¶ß²ûÇÏ°í ³î·¡´Ù. ¹°°ÇÀ» ´øÁú ¶§ ÅëÁõ ¹ß»ý.


ÀÌÇÐÀû °Ë»ç
¼Õ¸ñÀÇ ºÎÁ¾ÀÌ °üÂûµÇ°í ¼Õ¸ñ µî, ¿äÃøÀ¸·Î ±¹¼ÒÀû ¾ÐÅëÀ» º¸ÀÓ. ÀúÇ׿¡ ´ëÇÑ ¼Õ¸ñ ½ÅÀü ½Ã ÅëÁõÀ» º¸ÀÓ.
°æ¹ÌÇÑ °üÀý °¡µ¿ ¹üÀ§ Á¦ÇÑÀ» º¸ÀÓ.


ÃÊÀ½ÆÄ °Ë»ç
¼Õ¸ñ µî Áß¾Ó¿¡¼­ ¼Õ°¡¶ô ½ÅÀü°Ç Á¾´Ü¸é °Ë»ç¿¡¼­ ƯÀÌ ¼Ò°ßÀ» º¸ÀÌÁö ¾Ê´Â´Ù(»çÁø 1)


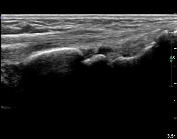
ŽÃËÀÚ¸¦¾à°£ ¿äÃøÀ¸·Î À̵¿ÇÏ¿© Àå¿äÃø¼ö±Ù½Å°Ç Á¾´Ü¸é°Ë»ç¿¡¼­ Àå¿äÃø¼ö±Ù½Å°ÇÀÇ
ºÎÁ¾ÀÌ °üÂûµÇ°í ½ÅÀü°Ç Ç¥Ãþ¿¡¼­ À幫Áö½ÅÀü°ÇÀÌ °üÂûµÈ´Ù(»çÁø 2).


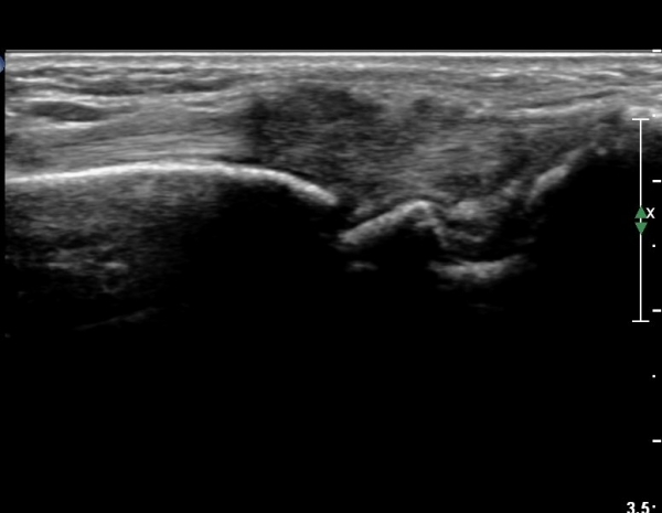
¿ä°ñ ¸»´Ü lister's tubercle ºÎÀ§¿¡¼­ Àå, ´Ü¿äÃø¼ö±Ù½ÅÀü°Ç Ⱦ´Ü¸é°Ë»ç¿¡¼­ ƯÀÌ ¼Ò°ßÀ» º¸ÀÌÁö
¾Ê´Â´Ù(»çÁø 3).


ŽÃËÀÚ¸¦ ¾à°£ ¸»´ÜÀ¸·Î À̵¿ÇÏ´Ï Àå, ´Ü¿äÃø¼ö±Ù½ÅÀü°Ç ºÎÁ¾°ú ÀÌ ½ÅÀü°Ç Ç¥ÃþÀ¸·Î ÁÖÇàÇÏ´Â
À幫Áö½ÅÀü°Ç(EPL)ÀÌ °üÂûµÈ´Ù(»çÁø 4, 5).


ŽÃËÀÚ¸¦ Á¶±Ý ´õ ¸»´ÜÀ¸·Î À̵¿ÇÏ´Ï À幫Áö½ÅÀü°ÇÀÌ Àå, ´Ü¿äÃø¼ö±Ù½ÅÀü°Ç  ¿äÃøÀ¸·Î ¿ÏÀüÈ÷
À̵¿ÇÑ À§Ä¡¿¡¼­ °üÂûµÈ´Ù(»çÁø 6).


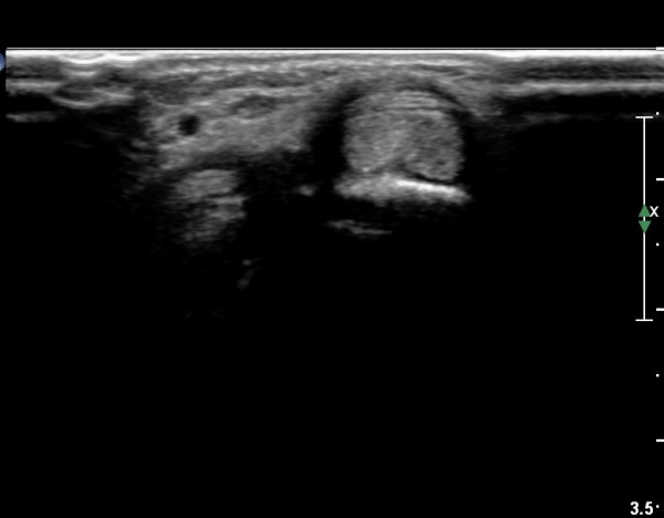
ŽÃËÀÚ¸¦ Á¶±Ý ´õ ¸»´ÜÀ¸·Î À̵¿ÇÏ´Ï Àå, ´Ü¿äÃø¼ö±Ù½ÅÀü°ÇÀÌ ºÐ¸®µÇ¾î °üÂûµÇ°í °ÇÀÇ ºÎÁ¾°ú
°Ç ÁÖÀ§ ¼ö¾×Àú·ù°¡ °üÂûµÈ´Ù(»çÁø 7, 8).


´Ü¼ø¹æ»ç¼±°Ë»ç
ÀÌ»ó ¼Ò°ß ¾øÀ½


ÀÚ±â°ø¸í°Ë»ç
½ÃÇàÇÏÁö ¾ÊÀ½


Ä¡·á
¹°¸®Ä¡·á, ¾à¹°Ä¡·á

 


Àå, ´Ü¿äÃø¼ö±Ù½ÅÀü°Ç¿°Àº ¸Å¿ì µå¹°¾î¼­ Áø´ÜÀÌ ½±Áö ¾Ê°í ¼Õ¸ñÀÇ °üÀý¿°À̳ª
Ȱ¾à¸·¿°À¸·Î ¿ÀÁøÇϱ⠽±´Ù.


º» Áõ·Ê´Â ÀüÇüÀûÀÎ ¸¸¼º°Ç¿°ÀÇ ÃÊÀ½ÆÄ¼Ò°Ü´Ã º¸¿©ÁÖ°í ÀÖ´Ù.

ÀÌÀü±Û ÀÌ»ó±ÙÁõÈıº ÁÖ»çÄ¡·á ¹× ÃÊÀ½ÆÄ°Ë»ç
´ÙÀ½±Û °áÀýÁ¾¿¡ ÀÇÇÑ ¿ä°ñ°üÁõÈıº ÃÊÀ½ÆÄÁø´Ü ¹× ÈíÀÎÄ¡·á
       
°¡¸ÍÁ¡¸í : ½Ã¸®¾Ç½ºÁ¤ÇüÀÇÇבּ¸È¸
»ç¾÷ÀÚµî·Ï¹øÈ£ : 894-81-00627 | ´ëÇ¥ÀÚ : ÀåµÎÇõ
 
ÁÖ¼Ò : °æ±âµµ ¾çÆò±º ¿ë¹®¸é ¿ë¹®·Î 375-1, 2Ãþ 1È£
TEL : 010-2323-4055
E-mail : cyriax12@naver.com
ÀԱݾȳ»
±¹¹ÎÀºÇà | ½Ã¸®¾Ç½ºÁ¤ÇüÀÇÇבּ¸È¸(ÁÖ)
220401-04-194155