[ÆÈ²ÞÄ¡] °áÀýÁ¾¿¡ ÀÇÇÑ ¿ä°ñ°üÁõÈıº ÃÊÀ½ÆÄÁø´Ü ¹× ÈíÀÎÄ¡·á
ÀÛ¼ºÀÚ : °ü¸®ÀÚ(khu3265442@naver.com) ÀÛ¼ºÀÏ : 2018-03-23 Á¶È¸¼ö : 3845
ÆÄÀÏ÷ºÎ :

¼ºº° / ³ªÀÌ
¿©ÀÚ/45


ÁÖÁõ»ó
¿ìÃø ÆÈ²ÞÄ¡ ÅëÁõ (3°³¿ù)


º´·Â
Ưº°ÇÑ ÀÌÀ¯ ¾øÀÌ ÆÈ²ÞÄ¡ ÅëÁõÀÌ ¹ß»ýÇÏ¿© Ÿº´¿ø¿¡¼­ Ãæ°ÝÆÄÄ¡·á¿Í Áõ½ÄÄ¡·á¸¦ ¹Þ¾ÒÀ¸³ª
Áõ»ó È£Àü ¾ø¾î ³»¿ø


ÀÌÇÐÀû °Ë»ç
ÀúÇ׿¡ ´ëÇÑ ¼Õ¸ñ ½ÅÀü ½Ã ÆÈ²ÞÄ¡ ÅëÁõÀÌ À¯¹ßµÇ³ª ½ÉÇÏÁö ¾Ê°í, ¼Õ°¡¶ô ½ÅÀü ½Ã ÅëÁõÀÌ °æ¹ÌÇÏ°Ô º¸À̸ç
¼Õ°¡¶ô ½ÅÀü ±Ù·ÂÀº F µî±ÞÀ¸·Î ¾àÈ­¸¦ º¸ÀÓ. ¿Ü»ó°úÀÇ ¾ÐÅëÀº ½ÉÇÏÁö ¾ÊÀ½.


ÃÊÀ½ÆÄ °Ë»ç
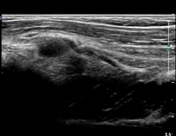
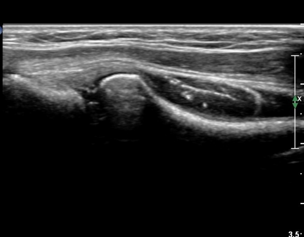
¿Ü»ó°ú¿¡¼­ ¼Õ¸ñ ½ÅÀü°Ç ´ÜµÎ Á¾´Ü¸é°Ë»ç¿¡¼­ ƯÀÌ ¼Ò°ßÀ» º¸ÀÌÁö ¾Ê´Â´Ù(»çÁø 1, 2)


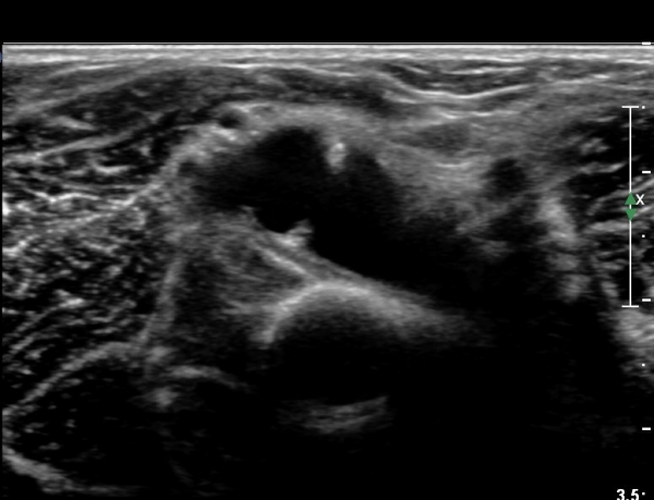
¿ä°ñµÎ ºÎÀ§ ÆÈ²ÞÄ¡ ¾Õ, ¿ÜÃø Ⱦ´Ü¸é°Ë»ç¿¡¼­ Èİñ°£ ½Å°æ ³»Ãø, ¿ä°ñµÎ Ç¥Ãþ¿¡¼­
ÀÛÀº ³¶Á¾ÀÌ °üÂûµÈ´Ù(»çÁø 3)


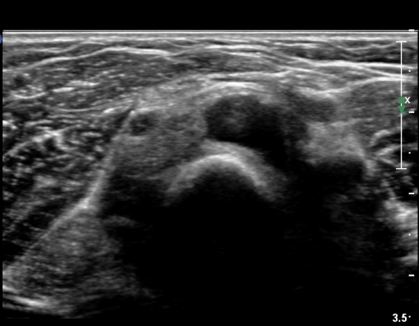
ŽÃÊÀÚ¸¦¸»´ÜÀ¸·Î  À̵¿ÇÏ´Ï ¿ä°ñ¸ñ ºÎÀ§¿¡¼­ Ä¿´Ù¶õ ³¶Á¾ÀÌ Èİñ°£ ½Å°æÀ» ¾Ð¹ÚÇÏ´Â °ÍÀÌ
°üÂûµÈ´Ù(»çÁø 4, 5)


Á¶±Ý´õ ŽÃËÀÚ¸¦ ¸»´ÜÀ¸·Î À̵¿ÇÏ´Ï ³¶Á¾Àº ÀÛ¾ÆÁö°í ȸ¿Ü±Ù »çÀÌ¿¡ À§Ä¡ÇÏ´Â Èİñ°£ ½Å°æÀÇ
ºÎÁ¾ÀÌ °üÂûµÈ´Ù(»çÁø 6)


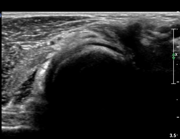
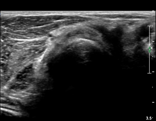
Èİñ°£ ½Å°æ Á¾´Ü¸é°Ë»ç¿¡¼­ ³¶Á¾¿¡ ÀÇÇÑ Èİñ°£ ½Å°æ ¾Ð¹Ú°ú  Èİñ°£ ½Å°æÀÇ ºÎÁ¾ÀÌ °üÂûµÈ´Ù(»çÁø 7).

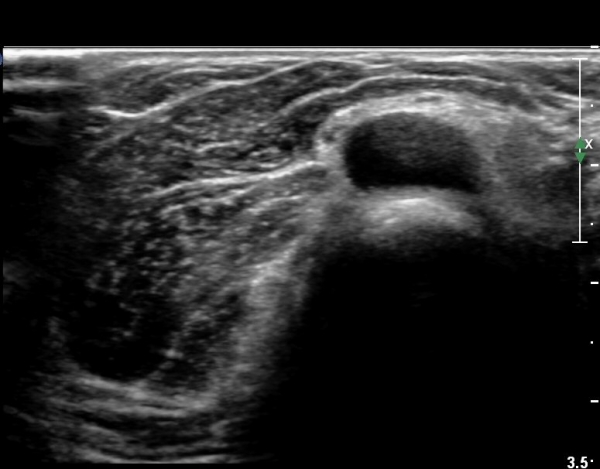
out of plane À¸·Î ³¶Á¾ ÈíÀÎÀ» À§ÇØ ÁÖ»ç¹Ù´ÃÀÌ ³¶Á¾³»¿¡ À§Ä¡ÇÑ ¸ð½À(»çÁø 8)


³¶Á¾ ÈíÀÎ ÈÄ ³¶Á¾ÀÌ °ÅÀÇ º¸ÀÌÁö ¾Ê´Â ¸ð½À(»çÁø 9, 10)


´Ü¼ø¹æ»ç¼±°Ë»ç
½ÃÇàÇÏÁö ¾ÊÀ½


ÀÚ±â°ø¸í°Ë»ç
±ÙÀüµµ°Ë»ç : Èİñ°£½Å°æ º´Áõ ¼Ò°ß


Ä¡·á
ÃÊÀ½ÆÄ À¯µµÇÏ ³¶Á¾ ÈíÀÎ(µ¿¿µ»ó Âü°í).



 

 

Èİñ°£½Å°æÀÌ ¾Ð¹ÚµÇ¾î ¹ß»ýÇÏ´Â ¿ä°ñ°üÁõÈıº(radial tunnel syndrome)Àº ¿©·¯ °¡Áö ¿øÀο¡ ÀÇÇØ
¹ß»ýÇÒ ¼ö ÀÖ°í  Áß¿äÇÑ ¿øÀÎÀ¸·Î ±ÙÀ§ºÎ ¿ä°ñô°ñ°üÀý¿¡¼­ ¹ß»ýÇÏ´Â °áÀýÁ¾¿¡ ÀÇÇÑ °æ¿ì´Â
´ë°³ ½ÉÇÑ Èİñ°£½Å°æ º´ÁõÀ» µ¿¹ÝÇÏ¿© ½ÉÇÑ °æ¿ì¿¡´Â ¼Õ°¡¶ôÇϼö(finger drop)°¡ ¹ß»ýÇÒ ¼ö ÀÖ´Ù.

°áÀýÁ¾¿¡ ÀÇÇØ Èİñ°£ ½Å°æÀÌ ¾Ð¹ÚµÇ´Â °æ¿ì ÀÌÀü ±îÁö ´ëºÎºÐÀº ¼ö¼úÀûÀ¸·Î °áÀýÁ¾À» Á¦°ÅÇϱâ À§ÇÏ¿© Àü¿øÇÏ¿´´Âµ¥, º»ÀÎÀÇ  °æÇèÀ¸·Î´Â ÃÊÀ½ÆÄ¸¦ ÀÌ¿ëÇÏ¿© ÁÖ»ç ÈíÀÎÀ» ÇÏ´Â °æ¿ì ´ëºÎºÐ ¾çÈ£ÇÑ Áõ»ó È£ÀüÀ» º¸ÀÌ°í ½Å°æ º´Áõµµ Á¡Â÷ÀûÀ¸·Î ȸº¹µÇ¹Ç·Î ¼ö¼úÄ¡·áº¸´Ù´Â ÁÖ»ç ÈíÀÎÄ¡·á°¡¿ì¼±ÀûÀÎ Ä¡·á¹æ¹ýÀ¸·Î ÆÇ´ÜµÈ´Ù.

´Ù¸¸ ÁÖ»ç ÈíÀÎ ÈÄ ³¶Á¾ÀÌ Àç¹ßÇÒ ¼ö ÀÖÀ¸³ª ÀÌ °ÍÀº 2~3ȸ ¹Ýº¹ÀûÀÎ ÈíÀÎÀ¸·Î ÇØ°áµÈ´Ù.
¶ÇÇÑ ³¶Á¾ ¾ÕÂʰú ÁÖÀ§¿¡ µ¿¸Æ°ú Á¤Á߽Űæ°ú ±ÙÇÇ½Å°æ µîÀÌ ºÐÆ÷ÇϹǷΠ¹Ýµå½Ã ÃÊÀ½ÆÄ À¯µµÇÏ¿¡¼­ ÈíÀÎÀ» ½ÃÇàÇÏ¿©¾ß ÇÑ´Ù.


ÈíÀÎÄ¡·á µ¿¿µ»ó
https://www.youtube.com/watch?v=wQZSuNp_aik&feature=youtu.be

 

2ml ÈíÀÎ


1893637843_d246f682_20180322_153157.jpg-s.jpg

 

À¯»çÁõ·Ê

http://cyriax12.hosting2003.co.kr/sub03-02.php?ptype=view&idx=5882&page=2&code=dataroom02

 

 

ÀÌÀü±Û sonographic findings of ECRL, ECRB tendinitis
´ÙÀ½±Û ¿¢½º·¹ÀÌ¿¡¼­ º¸ÀÌÁö ¾Ê´Â ¿ä°ñÀÇ ¼±»ó °ñÀý
       
°¡¸ÍÁ¡¸í : ½Ã¸®¾Ç½ºÁ¤ÇüÀÇÇבּ¸È¸
»ç¾÷ÀÚµî·Ï¹øÈ£ : 894-81-00627 | ´ëÇ¥ÀÚ : ÀåµÎÇõ
 
ÁÖ¼Ò : °æ±âµµ ¾çÆò±º ¿ë¹®¸é ¿ë¹®·Î 375-1, 2Ãþ 1È£
TEL : 010-2323-4055
E-mail : cyriax12@naver.com
ÀԱݾȳ»
±¹¹ÎÀºÇà | ½Ã¸®¾Ç½ºÁ¤ÇüÀÇÇבּ¸È¸(ÁÖ)
220401-04-194155