[¾î±ú] ½ÉÇÑ ¾î±ú Ãæµ¹ÁõÈıº ȯÀÚÀÇ ÃÊÀ½ÆÄ ¼Ò°ß(sonographic findings of severe shoulder impingement)
ÀÛ¼ºÀÚ : °ü¸®ÀÚ(khu3265442@naver.com) ÀÛ¼ºÀÏ : 2018-02-25 Á¶È¸¼ö : 3576
ÆÄÀÏ÷ºÎ :

¼ºº° / ³ªÀÌ
¿©ÀÚ/62¼¼


ÁÖÁõ»ó
¿ìÃø ¾î±úÀÇ ÅëÁõ(1ÁÖ)


º´·Â
¾à 10³â ÀüºÎÅÍ ¾î±úÅëÁõ °£ÇæÀûÀ¸·Î ¹ß»ýÇÏ¿© ±Ø»ó°Ç ºÎºÐÆÄ¿­ Áø´ÜÇÏ¿¡ Ä¡·á ¹Þ¾Ò´ø ȯÀÚ·Î
ÃÖ±Ù ¾î±ú°¡ °¡²û ¶ß²û°Å·Á ³»¿ø. ¾¥½ÃÁö´Â ¾Ê´Â´Ù.


ÀÌÇÐÀû °Ë»ç
¼öµ¿Àû ±¼°î 160µµ, ¿ÜÀü 90µ¿, ¿ÜȸÀü 70µµ, ¼öµ¿Àû ¿ÜÀü ½Ã ÅëÁõÀÌ ¹ß»ýÇϰí, ÀúÇ׿¡ ´ëÇÑ ¿ÜÀü ½Ã ±Ù¾àÁõÀ» º¸ÀÓ.


ÃÊÀ½ÆÄ °Ë»ç
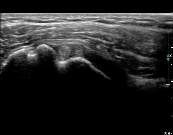
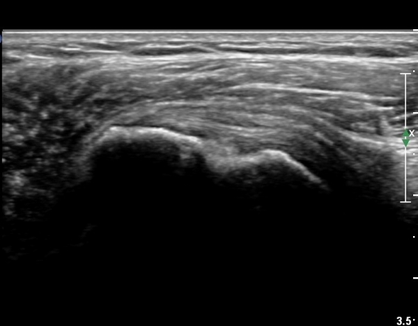
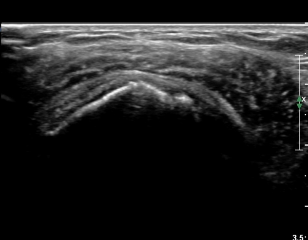
ȸÀü±Ù°³°£°Ý(rotator cuff interval) Ⱦ´Ü¸é°Ë»ç¿¡¼­ ÀÌµÎ¹Ú±Ù°Ç ¿ÜÃø¿¡ ±Ø»ó°ÇÀÌ °üÂûµÇÁö ¾Ê°í
´ë°áÀý Ç¥ÃþÀÇ »À°¡ ¿ïÅüºÒÅüÇÏ°Ô º¯ÇÏ¿´´Ù(±×¸² 1, 2)
ÀÌ´Â ½ÉÇÑ Ãæµ¹ÁõÈıºÀÇ °á°úÀ̰í ȸÀü±Ù°³ ÆÄ¿­À» °­·ÂÈ÷ ¾Ï½ÃÇÏ´Â ¼Ò°ßÀÌ´Ù.

ŽÃËÀÚ¸¦ Á¶±Ý ¾Æ·¡·Î À̵¿ÇÏ¿© À̵ιڱٰÇÀÇ È¾´Ü¸é°Ë»ç¿¡¼­ ÀÌµÎ¹Ú±Ù°Ç ÁÖÀ§ ¼ö¾×Àú·ù°¡ °üÂûµÈ´Ù(»çÁø 3, 4).
À̴ Ȱ¾×¸·¿°Áõ ¼Ò°ßÀ¸·Î Ãæµ¹ÁõÈıº ¶Ç´Â ȸÀü±Ù°³ ÆÄ¿­ ½Ã ÈçÈ÷ °üÂûµÇ´Â
¼Ò°ßÀÌ´Ù.

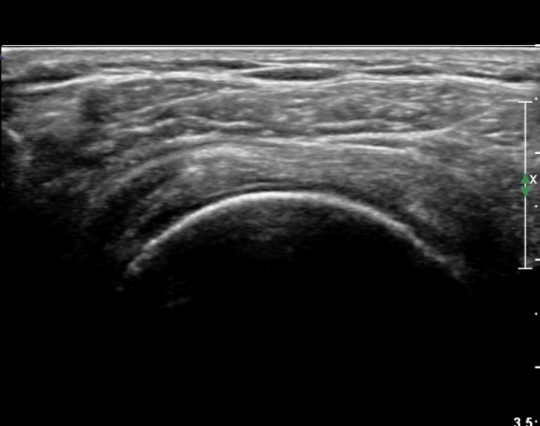
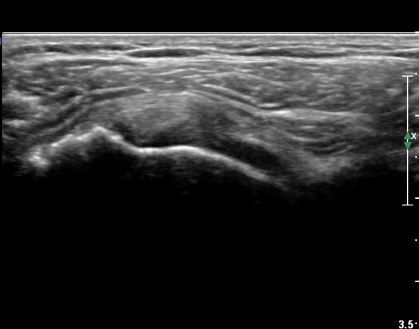
°ß°©ÇÏ±Ù°Ç Á¾´Ü¸é°Ë»ç¿¡¼­ ¼Ò°áÀý Ç¥ÃþÀÇ ºÒ±ÔÄ¢º¯È­(bone irregularity)¿Í °Ç ½ÇÁú³»
¼±»óÀÇ Àú¿¡ÄÚ À½¿°ÀÌ °üÂûµÈ´Ù(»çÁø 5).

Á¶±Ý ŽÃËÀÚ¸¦ ¸»´ÜÀ¸·Î À̵¿ÇÏ´Ï ¼Ò°áÀý µ¹ÃâÀÌ ¶Ñ·ÈÇÏ°í °ß°©ÇÏ±Ù°Ç ½ÉÃþ ºÎºÐÆÄ¿­ÀÌ °üÂûµÈ´Ù(»çÁø 6).

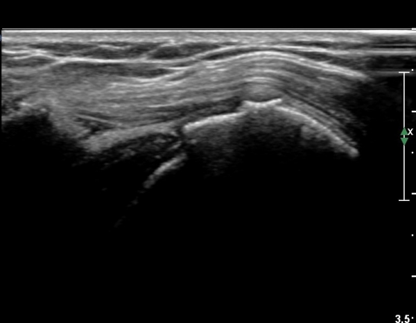
±Ø»ó°Ç Á¾´Ü¸é°Ë»ç¿¡¼­ ´ë°áÀýÀÌ ¿ïÅüºÒÅüÇÏ°Ô º¯ÇüµÇ°í µ¹ÃâµÇ¾î ÀÖÀ¸¸ç ±Ø»ó°ÇÀÇ ÀüÃþ
ÆÄ¿­ÀÌ °üÂûµÈ´Ù. ´ë°áÀýÀÌ »ï°¢±ÙÀ» Ç¥ÃþÀ¸·Î µ¹Ãâ½ÃŰ´Â ¾ç»óÀÌ °üÂûµÇ´Âµ¥ ÀÌ´Â »ó¿Ï°ñÀÌ
»ó¹æÀ¸·Î ÀüÀ§µÈ °ÍÀ» ÀǹÌÇÏ´Â ¼Ò°ßÀ¸·Î ½ÉÇÑ Ãæµ¹ÁõÈıº°ú ȸÀü±Ù°³ ÆÄ¿­ ½Ã °üÂûµÇ´Â
¼Ò°ßÀÌ´Ù(±×¸² 7).

¾à°£ ¿ÜÃøÀÇ ±Ø»ó°Ç¿¡¼­´Â °ÇºÎÂøºÎ¿Í °Ç½Ç½Ç³» Àú¿¡ÄÚ º´º¯ÀÌ °üÂûµÈ´Ù(±×¸² 8).

ȸÀü±Ù°³ Ⱦ´Ü¸é°Ë»ç¿¡¼­ ȸÀü±Ù°³ Áß¾ÓºÎÀ§¿¡¼­  Á¡¾×³¶ÀÇ ³»·Á¾ÉÀ½(herniation)ÀÌ
°üÂûµÇ´Âµ¥ À̴ ȸÀü±Ù°³ ÆÄ¿­À» ¾Ï½ÃÇÏ´Â ¼Ò°ßÀÌ´Ù(»çÁø 9).

ŽÃËÀÚ¸¦ Á¶±Ý ´õ ¸»´ÜÀ¸·Î À̵¿ÇÏ´Ï ´ë°áÀý µ¹ÃâºÎÀ§¿¡¼­ ±Ø»ó°ÇÀÌ °üÂûµÇÁö ¾Ê´Â´Ù(»çÁø 10).l 


´Ü¼ø¹æ»ç¼±°Ë»ç
¤©


ÀÚ±â°ø¸í°Ë»ç
½ÃÇàÇÏÁö ¾ÊÀ½


Ä¡·á
°üÀý³» ÁÖ»çÄ¡·á, ¹°¸®Ä¡·á



 


¿À·¡ ÀüºÎÅÍ °£ÇæÀûÀ¸·Î ³»¿øÇÏ¿© Ä¡·á ¹Þ¾Ò´ø ȯÀÚ·Î »ó±â ³»¿øÀÏ 1ÁÖÀüºÎÅÍ °¡²û ÅëÁõÀÌ ÀÖ¾î ³»¿ø ÈÄ ÁÖ»çÄ¡·á¿Í ¹°¸®Ä¡·á 2ÁÖ ÈÄ °ÅÀÇ ÅëÁõÀÌ ¾ø´Â »óÅ·ΠȣÀü, ±× ÈÄ 4°³¿ù ÃßÀû °Ë»ç½Ã
±îÁö ÅëÁõ ¾øÀÌ Áö³¿.

½ÉÇÑ È¸Àü±Ù°³ ÆÄ¿­¿¡µµ ºÒ±¸Çϰí Àß °ü¸®°¡ µÇ¸é ºÒÆí ¾øÀÌ Áö³¾ ¼ö ÀÖ´Â °æ¿ìÀÓ.


Ãæµ¹ÁõÈıº ÃÊÀ½ÆÄ°Ë»ç


577925910_8dbf74ee_B1D7B8B21.jpg

Ãæµ¹ÁõÈıº ÃÊÀ½ÆÄ°Ë»ç ¼Ò°ß(À¯Æ©ºê)
https://www.youtube.com/watch?v=hdg3pDoL5HQ&feature=youtu.be
¿ì¼± ¿òÁ÷À̱â ÀüÀÇ ¿µ»ó¿¡¼­ ´ë°áÀýÀÇ °ñ±Ø µ¹Ãâ·Î ¿ïÅüºÒÅüÇÔ°ú ±Ø»ó°ÇÀÇ ÆÄ¿­ÀÌ
°üÂûµÇ°í ¿ÜÀü ½Ã ´ë°áÀý°ú °ßºÀÀÌ ºÎµúÈ÷°í ´ë°áÀýÀÌ »ï°¢±ÙÀ» Ç¥ÃþÀ¸·Î µ¹Ãâ½Ã۰í
°ßºÀ ¿ÜÃø¿¡ ¼ö¾×ÀÌ Àú·ùµÈ´Ù.



577925910_f594cacf_im1.jpg

577925910_d8692e20_im2.jpg


ÀÌÀü±Û ¾î±úÀÇ ÃÊÀ½ÆÄ°Ë»ç
´ÙÀ½±Û ½ÉÇÏÁö ¾ÊÀº ¾î±ú Ãæµ¹ÁõÈıº¿¡ ÀÇÇÑ Á¡¾×³¶¿°
       
°¡¸ÍÁ¡¸í : ½Ã¸®¾Ç½ºÁ¤ÇüÀÇÇבּ¸È¸
»ç¾÷ÀÚµî·Ï¹øÈ£ : 894-81-00627 | ´ëÇ¥ÀÚ : ÀåµÎÇõ
 
ÁÖ¼Ò : °æ±âµµ ¾çÆò±º ¿ë¹®¸é ¿ë¹®·Î 375-1, 2Ãþ 1È£
TEL : 010-2323-4055
E-mail : cyriax12@naver.com
ÀԱݾȳ»
±¹¹ÎÀºÇà | ½Ã¸®¾Ç½ºÁ¤ÇüÀÇÇבּ¸È¸(ÁÖ)
220401-04-194155