[¾î±ú] ½ÉÇÏÁö ¾ÊÀº ¾î±ú Ãæµ¹ÁõÈıº¿¡ ÀÇÇÑ Á¡¾×³¶¿°
ÀÛ¼ºÀÚ : °ü¸®ÀÚ(khu3265442@naver.com) ÀÛ¼ºÀÏ : 2018-02-24 Á¶È¸¼ö : 3210
ÆÄÀÏ÷ºÎ :

¼ºº° / ³ªÀÌ
³²ÀÚ/ 50¼¼


ÁÖÁõ»ó
¿ìÃø ¾î±ú ÅëÁõ(3°³¿ù)


º´·Â
¾à 3°³¿ù Àü ºÎÅÍ ¿Ü»ó ¾øÀÌ ¾î±úÀÇ ÅëÁõÀÌ ¹ß»ýÇÑ ÈÄ Á¡Á¡ ½ÉÇØÁö°í ƯÀÌ ¾î±ú¸¦ ¿Ã¸± ¶§ ½ÉÇÑ ÅëÁõÀÌ ¹ß»ýÇÔ.


ÀÌÇÐÀû °Ë»ç
Àü¹ÝÀûÀ¸·Î °æ¹ÌÇÑ °üÀý°¡µ¿¹üÀ§ Á¦ÇÑÀ» º¸ÀÌ°í Æ¯È÷ ¼öµ¿Àû ¿ÜÀüÀÇ Á¦ÇÑÀÌ °¡Àå ¶Ñ·ÈÇϰí
¿ÜÀü ½Ã ½ÉÇÑ ÅëÁõÀÌ ¹ß»ýÇÔ. ±Ù·Â ÀúÇÏ´Â ¶Ñ·ÈÇÏÁö ¾ÊÀ½.


ÃÊÀ½ÆÄ °Ë»ç
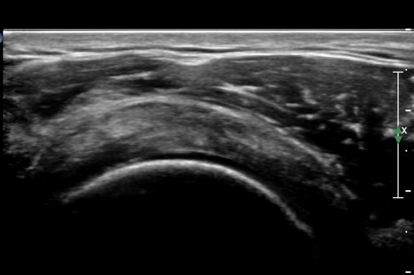
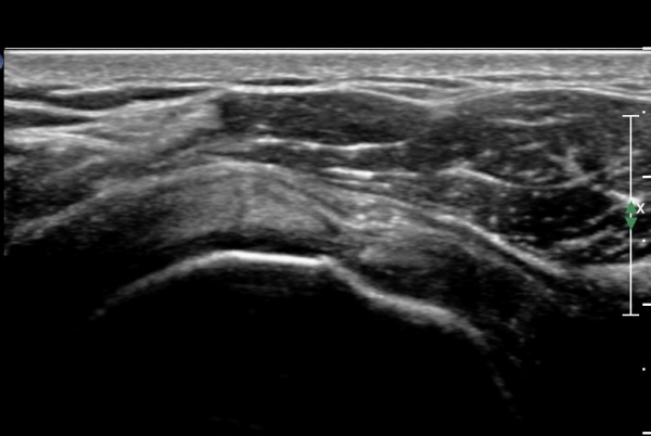
¿À±¸µ¹±â°ßºÀÀδë Á¾´Ü¸é°Ë»ç¿¡¼­ ÀÎ´ë ½ÉÃþ¿¡ ¼ö¾×Àú·ù°¡ °üÂûµÊ(»çÁø 1, 2)


ÀÌ´Â Ãæµ¹ÁõÈıºÀ» ¾Ï½ÃÇÏ´Â ¼Ò°ßÀÓ.

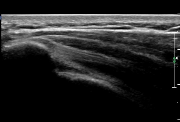
ȸÀü±Ù°³°£°Ý(rotator cuff interval)  Ⱦ´Ü¸é°Ë»ç¿¡¼­ ±¹»ó°Ç ³»ÃøÀÇ °Ç ¶Ñ²²°¡ ¾ã¾ÆÁø °ÍÀ¸·Î
º¸¿© ±Ø»ó°Ç ³»Ãø ºÎºÐÆÄ¿©¸ª ¾Ï½ÃÇÔ(»çÁø 3, ).


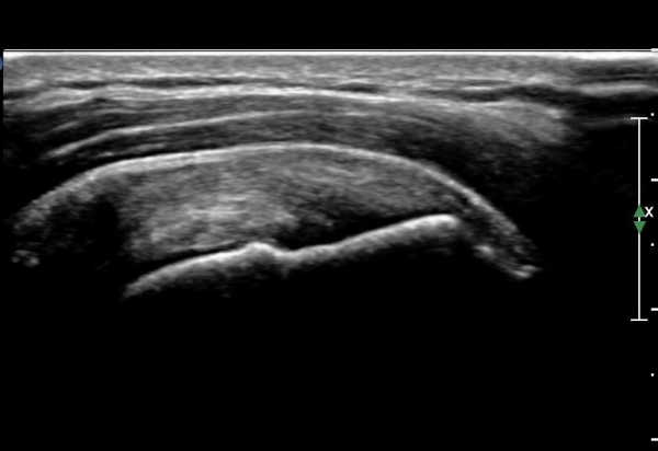
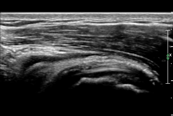
ÀÌµÎ¹Ú±Ù°Ç ±ÙÀ§ºÎȾ´Ü¸é°Ë»ç¿¡¼­ À̵ιڱٰÇÀÇ ³»ÃøÀ¸·Î ÀüÀ§°¡ °üÂûµÊ(»çÁø 5).


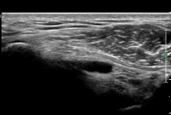
°ßºÀÈ¸Ãø Ãæµ¹ÁõÈıº°Ë»ç(°íÂû »çÁø Âü°í)¿¡¼­ °ßºÀ¿ÜÃø¿¡ ¼ö¾×ÀÌ Àú·ùµÇ°í °Ë»ç ½Ã
°ßºÀ ¾Æ·¡¿¡¼­ ÀâÀ½(crepitus)ÀÌ ´À²¸Áü.(»çÁø 6).


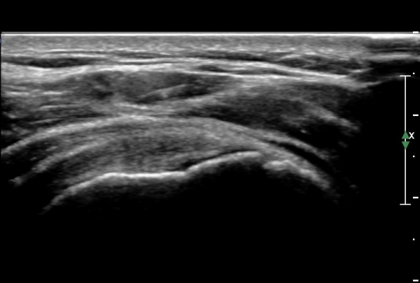
±Ø»ó°Ç Á¾´Ü¸é°Ë»ç¿¡¼­ ±Ø»ó°Ç ½ÉÃþÀÇ °Ç¿° ¼Ò°ß°ú Á¡¾×³¶³» ¼ö¾×Àú·ù°¡ °üÂûµÊ(»çÁø 7, 9).


ÀÌµÎ¹Ú±Ù°Ç Á¾´Ü¸é°Ë»ç¿¡¼­ Á¡¾×³¶³» ¼ö¾×Àú·ù´Â ´õ¿í ¶Ñ·ÈÇÔ(»çÁø 10).


´Ü¼ø¹æ»ç¼±°Ë»ç
ƯÀÌ ¼Ò°ß ¾øÀ½.


ÀÚ±â°ø¸í°Ë»ç
½ÃÇàÇÏÁö ¾Æ´ÏÇÔ


Ä¡·á
ÃÊÀ½ÆÄ À¯µµÇÏ¿¡ Á¡¾×³¶³» ÁÖ»ç, Ãæ°ÝÆÄ Ä¡·á.



 


Ãæµ¹ÁõÈıºÀº ´Ù¾çÇÑ ¿øÀÎÀ¸·Î ¹ß»ýÇÒ ¼öÀÖÀ¸¸ç ¾î±ú ÁúȯÀÇ Áß¿äÇÑ ¿øÀÎÀÌ´Ù.

Ãæµ¿ÁõÈıºÀÌ ÁøÇàÇϸé Ãʱâ Á¡°»³²¿°À» À¯¹ßÇϰí Á¶±â¿¡  Ä¡·á°¡ µÇÁö ¾Ê´Â °æ¿ì
ȸÀü±Ù°³ÆÄ¿­, ¾î±úÀÇ °üÀý¿°À¸·Î ÁøÇà ÇÒ ¼ö À־ Á¶±â¿¡ ¹ß°ßÇÏ¿© ÀûÀýÇÑ Ä¡·á ¹×
¿¹¹æÀû Á¶Ä¡¸¦ ½ÃÇàÇÏ¿©¾ß ÇÑ´Ù.


Ãæµ¹ÁõÈıº ÃÊÀ½ÆÄ°Ë»ç

 

577925910_282f9e67_B1D7B8B21.jpg

 

ÁÖ»çÄ¡·á µ¿¿µ»ó ¸µÅ©
https://www.youtube.com/edit?o=U&video_id=6pHpwkl8ejw

º» Áõ·Ê ÇØ¼³ µ¿¿µ»ó
https://www.youtube.com/watch?v=yyG7Ezyy6pw&t=319s

 

ÀÌÀü±Û ½ÉÇÑ ¾î±ú Ãæµ¹ÁõÈıº ȯÀÚÀÇ ÃÊÀ½ÆÄ ¼Ò°ß(sonographic findings of severe shoulder impingement)
´ÙÀ½±Û ºñ°ñ½Å°æ ¸¶ºñ ¼ö¾×¹Ú¸®¼ú(hydrodissection)
       
°¡¸ÍÁ¡¸í : ½Ã¸®¾Ç½ºÁ¤ÇüÀÇÇבּ¸È¸
»ç¾÷ÀÚµî·Ï¹øÈ£ : 894-81-00627 | ´ëÇ¥ÀÚ : ÀåµÎÇõ
 
ÁÖ¼Ò : °æ±âµµ ¾çÆò±º ¿ë¹®¸é ¿ë¹®·Î 375-1, 2Ãþ 1È£
TEL : 010-2323-4055
E-mail : cyriax12@naver.com
ÀԱݾȳ»
±¹¹ÎÀºÇà | ½Ã¸®¾Ç½ºÁ¤ÇüÀÇÇבּ¸È¸(ÁÖ)
220401-04-194155