[¾î±ú] ¾î±ú ¿Í¼øÁÖÀ§ ³¶Á¾ ÁÖ»ç ÈíÀÎÄ¡·á(aspiration teratment of paralabral cyst)
ÀÛ¼ºÀÚ : °ü¸®ÀÚ(khu3265442@naver.com) ÀÛ¼ºÀÏ : 2017-05-06 Á¶È¸¼ö : 4627
ÆÄÀÏ÷ºÎ :

¼ºº° / ³ªÀÌ
³²ÀÚ/54


ÁÖÁõ»ó
¿ìÃø ¾î±úÀÇ ÅëÁõ(1°³¿ù)


º´·Â
Å״Ͻº¸¦ Ä£ ÈÄ ¾î±ú µÚÂÊÀÇ ÅëÁõÀÌ ¹ß»ý.


ÀÌÇÐÀû °Ë»ç
°üÀý°¡µ¿¹üÀ§, ±Ù·Â°Ë»ç¿¡¼­ ƯÀÌ ¼Ò°ßÀ» º¸ÀÌÁö ¾Ê°í ¼öµ¿ÀûÀÎ ¾î±ú³»Àü ½Ã ÅëÁõÀ» º¸ÀÓ.


ÃÊÀ½ÆÄ °Ë»ç
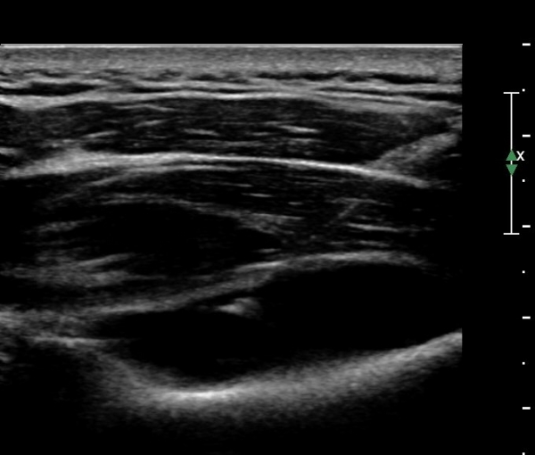
¾î±ú µÚÂÊ È¾´Ü¸é°Ë»ç¿¡¼­ °üÀý¿Í(glenoid) ³»Ãø¿¡¼­ ¸¹Àº ¾çÀÇ ¼ö¾×Àú·ù°¡ °üÂûµÈ´Ù(»çÁø 1, 2).


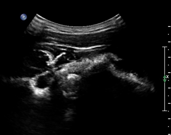
ÄÁº¤½ºÅ½ÃËÀÚ¸¦ ÀÌ¿ëÇÑ ¾î±ú µÚÂÊ È¾´Ü¸é°Ë»ç¿¡¼­ °üÀý¿Í ³»Ãø ¼ö¾× Àú·ù¿Í °üÀý¿Í¼ø ÆÄ¿­ÀÌ

°üÂûµÈ´Ù(»çÁø 3, 4, 5, 6).


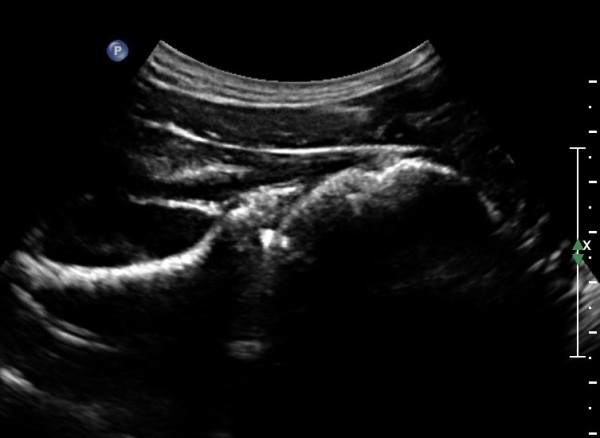
ÃÊÀ½ÆÄÀ¯µµÇÏ ÈíÀÎÄ¡·á Áß ÁÖ»ç¹Ù´ÃÀÌ ¼ö¾×³»¿¡ Á¤È®È÷ À§Ä¡ ÇÑ °ÍÀÌ °üÂûµÈ´Ù(»çÁø 7).


ÃÊÀ½ÆÄÀ¯µµÇÏ ÈíÀÎÄ¡·á ÈÄ ´ëºÎºÐÀÇ ¼ö¾×ÀÌ Á¦°Å µÈ °ÍÀÌ È®ÀεȴÙ(»çÁø 8).


´Ü¼ø¹æ»ç¼±°Ë»ç
±ÙÀüµµ°Ë»ç : ƯÀÌ ¼Ò°ß ¾øÀ½


ÀÚ±â°ø¸í°Ë»ç
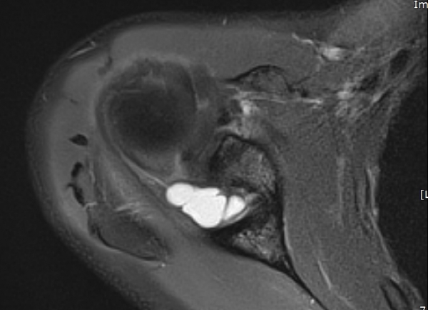
large paralabral cyst


Ä¡·á
ÈíÀÎ Ä¡·á(5cc) ÷ºÎ ÆÄÀÏ



 


paralabral cyst ´Â  °üÀý¿Í¼ø ÆÄ¿­ÀÇ ÇÕº´ÁõÀ¸·Î ¹ß»ýÇÏ¿© ¾î±ú µÚÂÊÀÇ ÅëÁõ°ú
»ó°ß°©½Å°æ ¸¶ºñ¿¡ ÀÇÇÑ ¾î±úÀÇ ±Ù¾àÁõÀ» ÀÏÀ¸Å³ ¼ö ÀÖ´Ù.


»ó°ß°©½Å°æÀÇ ¸¶ºñ°¡ ½ÉÇϰųª º¸Á¸Àû Ä¡·á·Î ÅëÁõÀÌ ÇØ°áµÇÁö ¾Ê´Â °æ¿ì ¼ö¼úÄ¡·á°¡
ÇÊ¿äÇÒ ¼ö ÀÖ´Ù.


´ëºÎºÐÀÇ °æ¿ì¿¡´Â ÁÖ»ç ÈíÀÎÄ¡·á·Î Áõ»óÀÇ È£ÀüÀ» º¸À̰í ÈíÀÎÀÌ ¾È´õ¶óµµ  ÁÖ»ç ¹Ù´Ã·Î
³¶Á¾À» Â´Â °Í¸¸À¸·Îµµ Áõ»óÀÇ È£ÀüÀ» º¸À̱⵵ ÇÑ´Ù.


º» Áõ·Ê¿¡¼­´Â 22G¹Ù´Ã·Î ÈíÀÎÀÌ ¾ÈµÇ¾î 18G ¹Ù´Ã·Î ¾à 5cc ¼ö¾×À» ÈíÀÎÇÏ¿´À¸¸ç
ÈíÀÎ ÈÄ Áï ½Ã Áõ»çÀÇ È£Àü°ú  ¼öµ¿Àû ³»Àü ½Ã ÅëÁõÀÌ ¼Ò½ÇµÇ¾ú´Ù.



À¯»ç Áõ·Ê
http://cyriax12.hosting2003.co.kr/sub03-02.php?ptype=view&idx=5764&page=7&code=dataroom02

ÀÌÀü±Û sonography of metastic mass at rib
´ÙÀ½±Û Èä°ñ¼â°ñ °üÀý¿°(arthritis of sternoclavicular joint)
       
°¡¸ÍÁ¡¸í : ½Ã¸®¾Ç½ºÁ¤ÇüÀÇÇבּ¸È¸
»ç¾÷ÀÚµî·Ï¹øÈ£ : 894-81-00627 | ´ëÇ¥ÀÚ : ÀåµÎÇõ
 
ÁÖ¼Ò : °æ±âµµ ¾çÆò±º ¿ë¹®¸é ¿ë¹®·Î 375-1, 2Ãþ 1È£
TEL : 010-2323-4055
E-mail : cyriax12@naver.com
ÀԱݾȳ»
±¹¹ÎÀºÇà | ½Ã¸®¾Ç½ºÁ¤ÇüÀÇÇבּ¸È¸(ÁÖ)
220401-04-194155