[¾î±ú] Èä°ñ¼â°ñ °üÀý¿°(arthritis of sternoclavicular joint)
ÀÛ¼ºÀÚ : °ü¸®ÀÚ(khu3265442@naver.com) ÀÛ¼ºÀÏ : 2017-04-25 Á¶È¸¼ö : 4374
ÆÄÀÏ÷ºÎ : [mix]SH KIM20170407121123295.avi

¼ºº° / ³ªÀÌ
¿©ÀÚ/73¼¼


ÁÖÁõ»ó
¿ìÃø ¾î±úÀÇ ÅëÁõ(5°³¿ù)


º´·Â
¾î±ú¸¦ ³ôÀÌ ¿Ã¸®¸é ÅëÁõÀÌ ¹ß»ýÇÏ¿© ¿Ã¸®±â ¾î·Æ´Ù. ¿Ü»ó(-)


ÀÌÇÐÀû °Ë»ç
¾î±ú ÀÌÇÐÀû°Ë»ç¿¡¼­ ƯÀÌ ¼Ò°ßÀ» º¸ÀÌÁö ¾È¾ÒÀ¸³ª ¿îµ¿¹üÀ§ ¸»´Ü¿¡¼­ ÅëÁõÀ» º¸ÀÓ.
¿ìÃø Èä°ñ¼â°ñ°üÀýÀÇ ºÎÁ¾ÀÌ °üÂûµÇ°í ±¹¼ÒÀû ¾ÐÅëÀ» º¸ÀÓ.


ÃÊÀ½ÆÄ °Ë»ç
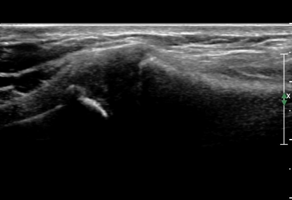
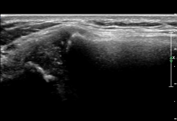
ÁÂÃø Èä°ñ¼â°ñ°üÀýÃÊÀ½ÆÄ°Ë»ç¿¡¼­ ƯÀÌ ¼Ò°ßÀ» º¸ÀÌÁö ¾ÊÀ½(»çÁø 1, 2).


¿ìÃø Èä°ñ¼â°ñ°üÀýÃÊÀ½ÆÄ°Ë»ç¿¡¼­ °üÀýÀÇ ÅðÇ༭ º¯È­°¡ °üÂûµÊ(»çÁø 3, 4).


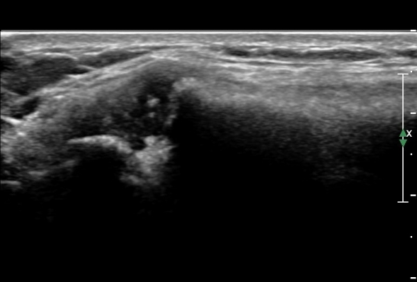
ÆÄ¿öµµÇ÷¯°Ë»ç¿¡¼­ °üÀýÀýºÎÀ§ Ç÷·ùÁõ°¡°¡ °üÂûµÊ(»çÁø 5).


out of plane ÃÊÀ½ÆÄÀ¯µµÇÏ °üÀý³» Áֻ翡¼­ °üÀý³»¿¡ ÁÖ»çħÀ» È®ÀÎÇϰí(»çÁø 6)


Áֻ縦 ½ÃÇàÇÔ(÷ºÎ µ¿¿µ»ó).


´Ü¼ø¹æ»ç¼±°Ë»ç
ƯÀÌ ¼Ò°ß ¾øÀ½


ÀÚ±â°ø¸í°Ë»ç
¤·


Ä¡·á
ÃÊÀ½ÆÄ À¯µµÇÏ °üÀý³» ÁÖ»ç(÷ºÎ µ¿¿µ»ó)



 


¾î±ú ¿îµ¿ ½Ã ¾î±úÀÇ ÅëÁõÀ» È£¼ÒÇϳª ¾î±úÀÇ ÀÌÇÐÀû°Ë»ç¿¡¼­ ƯÀÌ ¼Ò°ßÀ» º¸ÀÌÁö ¾Ê°í

ÃÊÀ½ÆÄ°Ë»ç¿¡¼­µµ ¶Ñ·ÈÇÑ ÀÌ»ó ¼Ò°ßÀ» º¸ÀÌÁö ¾Ê´Â °æ¿ì¿¡´Â Èä°ñ¼â°ñ°üÀýÀÇ ÀÌ»ó ¿©ºÎ¸¦

¹Ýµå½Ã È®ÀÎÇØ¾ß ÇÑ´Ù.

ÀÌÀü±Û ¾î±ú ¿Í¼øÁÖÀ§ ³¶Á¾ ÁÖ»ç ÈíÀÎÄ¡·á(aspiration teratment of paralabral cyst)
´ÙÀ½±Û µåÄõ¹æÁúȯ(de quervain disease)
       
°¡¸ÍÁ¡¸í : ½Ã¸®¾Ç½ºÁ¤ÇüÀÇÇבּ¸È¸
»ç¾÷ÀÚµî·Ï¹øÈ£ : 894-81-00627 | ´ëÇ¥ÀÚ : ÀåµÎÇõ
 
ÁÖ¼Ò : °æ±âµµ ¾çÆò±º ¿ë¹®¸é ¿ë¹®·Î 375-1, 2Ãþ 1È£
TEL : 010-2323-4055
E-mail : cyriax12@naver.com
ÀԱݾȳ»
±¹¹ÎÀºÇà | ½Ã¸®¾Ç½ºÁ¤ÇüÀÇÇבּ¸È¸(ÁÖ)
220401-04-194155