[¹ß¸ñ] ºñ°ñ°Ç Á¾ÀÚ°ñ °ñÀý(fracture of peroneal sesamoid)(÷ºÎ ÆÄÀÏ 1, 2)
ÀÛ¼ºÀÚ : °ü¸®ÀÚ(khu3265442@naver.com) ÀÛ¼ºÀÏ : 2017-02-15 Á¶È¸¼ö : 9064
ÆÄÀÏ÷ºÎ :

¼ºº° / ³ªÀÌ
¿©ÀÚ/56¼¼


ÁÖÁõ»ó
¿ìÃø ¹ßÅëÁõ( ±â°£ : 2°³¿ù)


º´·Â
¾à 2´ÞÀü ¹ßÀ» »ß°í Ưº°ÇÑ Ä¡·á ¾øÀÌ Áö³»´ø Áß ÅëÁõÀÌ °è¼ÓµÇ¾î ³»¿ø


ÀÌÇÐÀû °Ë»ç
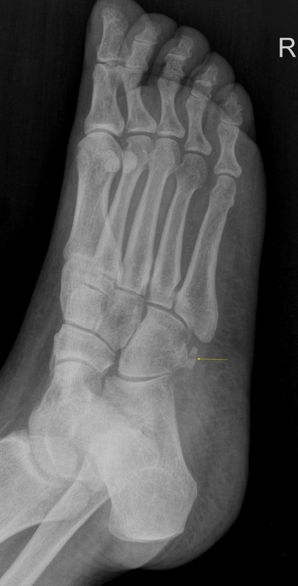
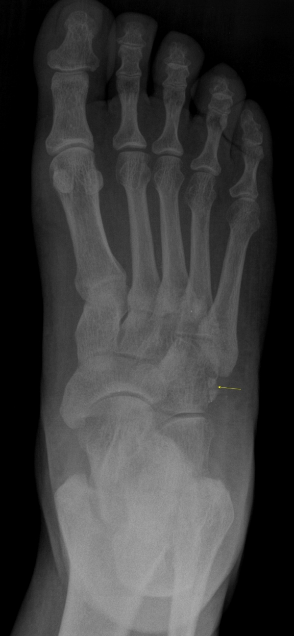
5¹øÂ° ÁßÁ·°ñ°ú ÀÔ¹æ°ñ°üÀý ¹Ù´Ú Ãø¿¡ ±¹¼ÒÀû ¾ÐÅëÀ» º¸ÀÓ. ÀúÇ׿¡ ´ëÇÑ ¹ß ¿ÜÀü ½Ã ÅëÁõÀ» º¸ÀÓ.


ÃÊÀ½ÆÄ °Ë»ç
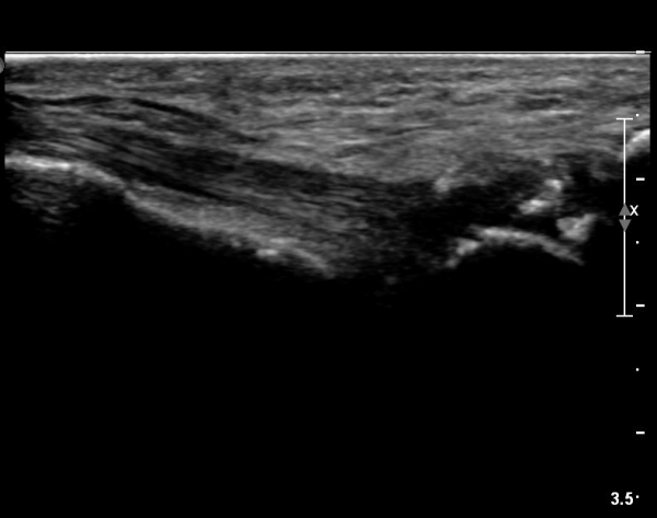
±¹¼ÒÀû ¾ÐÅëÀ» º¸ÀÌ´Â ÁßÁ·°ñÀÔ¹æ°ñ °üÀý ¹Ù´ÚÃø¿¡ ŽÃËÀÚ¸¦ ´ë´Ï Á¾ÀÚ»ÀÀÇ °¡ µÎ Á¶°¢À¸·Î
°üÂûµÇ°í Á¾ÀÚ»À ±ÙÀ§ºÎ¿¡ Àú¿¡ÄÚ ¿¬ºÎÁ¶Á÷ ºÎÁ¾ÀÌ °üÂûµÇ°í µÎ Á¾ÀÚ»À »çÀÌÀÇ »À Ç¥¸éÀÌ °ÅÄ£
¾ç»óÀ» º¸ÀÓ(»çÁø 1).


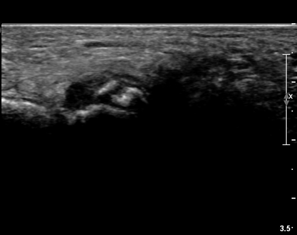
ŽÃËÀÚ¸¦ ¾à°£ ¾ÕÂÊ(¹ß ¿ÜÃø)À¸·Î À̵¿ÇÏ´Ï Á¾ÀÚ»À¿¡ ºÙ´Â Àåºñ°ñ°ÇÀÌ °üÂûµÇ°í °Ç ÁÖÀ§ ºÎÁ¾ÀÌ °üÂûµÊ(»çÁø 2, 3).


ŽÃËÀÚ¸¦ Á» ´õ ±ÙÀ§ºÎ·Î À̵¿ÇÏ¿© Àåºñ°ñ°ÇÀÇ Á¾´Ü¸é ±ÙÀ§ºÎ ¿µ»óÀ» È®ÀÓÇÔ(»çÁø 4)


´Ü¼ø¹æ»ç¼±°Ë»ç
ºñ°ñ°ÇÀÇ °ñÀýÀÌ ÃßÁ¤µÇ´Â ¾ç»ó


ÀÚ±â°ø¸í°Ë»ç


Ä¡·á
´ÜÇÏÁö ºÎ¸ñ °íÁ¤



 


os peroneum Àº ¾à 30%¿¡¼­ À̺ÐÈ­(bipartiate)¸¦ ´Ü¼ö³¶»ç¼± ÃÔ¿µ¿¡¼­ µÎ Á¶°¢À¸·Î
º¸ÀÌ´Â °æ¿ì °ñÀýÀÎÁö ¾Æ´Ï¸é Á¤»óÀûÀÎ À̺ÐÈ­ÀÎÁö¸¦ °¨º°ÇØ¾ß ÇÑ´Ù.

ÀÌÇÐÀû °Ë»ç»ó ±¹¼ÒÀûÀÎ ¾ÐÅë, ¹æ»ç¼± ÃÔ¿µ¿¡¼­ Á¾ÀÚ»ÀÀÇ Çü»óÀ¸·Î ¾î´À Á¤µµ °¨º°Àº °¡´ÉÇÏÁö¸¸
ÃÊÀ½ÆÄ°Ë»ç¸¦ ½ÃÇàÇÏ¸é º¸´Ù È®½ÇÇÏ°Ô °¨º°Áø´ÜÀÌ °¡´ÉÇÏ´Ù.
ÃÊÀ½ÆÄ°Ë»ç»ó Á¾ÀÚ»À³ª ºñ°ñ°Ç ÁÖÀ§ÀÇ ºÎÁ¾, Á¾ÀÚ»ÀÀÇ Ç¥¸éÀÇ °ÅÄ£Çü»ó, ºñ°ñ°ÇÀÇ ºÎÁ¾À̳ª ÆÄ¿­ÀÌ °üÂûµÉ ¼ö ÀÖ´Ù.

 

 

https://www.ncbi.nlm.nih.gov/pmc/articles/PMC3781258/

ÀÌÀü±Û µåÄõ¹æÁúȯ(de quervain disease)
´ÙÀ½±Û Á¾±«¿¡ ÀÇÇÑ ¼±ÅÃÀûÀÎ Á¤Áß½Å°æ ¹«Áö±ÙÀ° ½Å°æ¸¶ºñ(selective nueropathy of muscular branch to thenar muscle of median nerve)
       
°¡¸ÍÁ¡¸í : ½Ã¸®¾Ç½ºÁ¤ÇüÀÇÇבּ¸È¸
»ç¾÷ÀÚµî·Ï¹øÈ£ : 894-81-00627 | ´ëÇ¥ÀÚ : ÀåµÎÇõ
 
ÁÖ¼Ò : °æ±âµµ ¾çÆò±º ¿ë¹®¸é ¿ë¹®·Î 375-1, 2Ãþ 1È£
TEL : 010-2323-4055
E-mail : cyriax12@naver.com
ÀԱݾȳ»
±¹¹ÎÀºÇà | ½Ã¸®¾Ç½ºÁ¤ÇüÀÇÇבּ¸È¸(ÁÖ)
220401-04-194155