[½Å°æ] Á¾±«¿¡ ÀÇÇÑ ¼±ÅÃÀûÀÎ Á¤Áß½Å°æ ¹«Áö±ÙÀ° ½Å°æ¸¶ºñ(selective nueropathy of muscular branch to thenar muscle of median nerve)
ÀÛ¼ºÀÚ : °ü¸®ÀÚ(khu3265442@naver.com) ÀÛ¼ºÀÏ : 2016-12-25 Á¶È¸¼ö : 9073
ÆÄÀÏ÷ºÎ :

¼ºº° / ³ªÀÌ
³²ÀÚ/40¼¼


ÁÖÁõ»ó
¿ìÃø ¹«Áö±¸ ±ÙÀ§Ãà(±â°£ 3³â)


º´·Â
¾à 2³â 6°³¿ù ÀüºÎÅÍ ¿ìÃø ¹«Áö±¸ ±ÙÀ§ÃàÀÌ ¹ß»ýÇÏ°í ¾öÁöÀÇ ±ÙÀ°ÁõÀ» º¸ÀÓ(÷ºÎ ÆÄÀÏ). Àú¸²ÁõÀº ¾øÀ½.
2³âÀü ¼º¿ïÀÇ ¸ð ´ëÇк´¿ø¿¡¼­ °Ë»ç¸¦ ¹Þ¾Ò´Âµ¥ ¿øÀÎÀ» ¾Ë ¼ö ¾ø´Ù°í ÇÏ¿´´Ù ÇÔ.


ÀÌÇÐÀû °Ë»ç
¹«Áö±¸ ±ÙÀ§Ãà, ¾öÁö ¿ÜÀü (T) µî±Þ, ¼Õ°¡¶ô ¿ÜÀü±Ù Á¤»ó ¹üÁÖ, °¨°¢ °¨¼Ò º¸ÀÌÁö ¾ÊÀ½.
½ÉºÎ°Ç¹Ý»ç Á¤»ó¹üÁÖ, º´Àû ¹Ý»ç ¾øÀ½.


ÃÊÀ½ÆÄ °Ë»ç
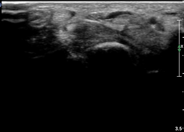
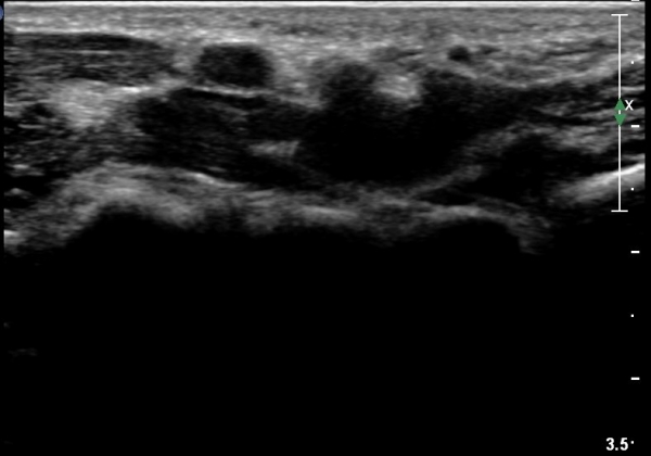
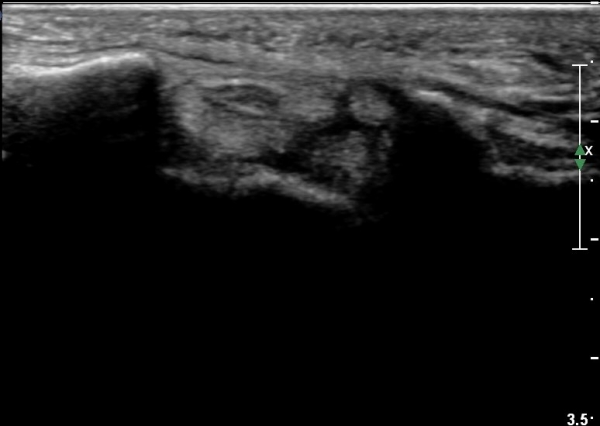
¼Õ¸ñÀÇ È¾´Ü¸é°Ë»ç¿¡¼­ Á¤Á߽ŰæÀÇ ºÎÁ¾ µî ƯÀÌ ¼Ò°ßÀÌ º¸ÀÌÁö ¾Ê´Â´Ù(»çÁø 1).


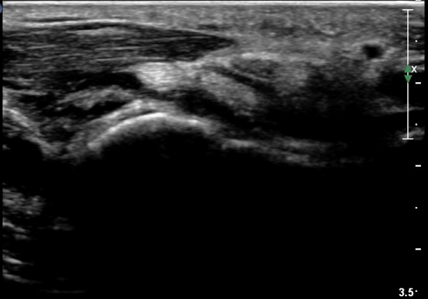
¼ö±Ù°ü ±ÙÀ§ºÎ Ⱦ´Ü¸é°Ë»ç¿¡¼­ Á¤Á߽ŰæÀÇ ºÎÁ¾ µî ƯÀÌ ¼Ò°ßÀÌ º¸ÀÌÁö ¾Ê´Â´Ù(»çÁø 2).


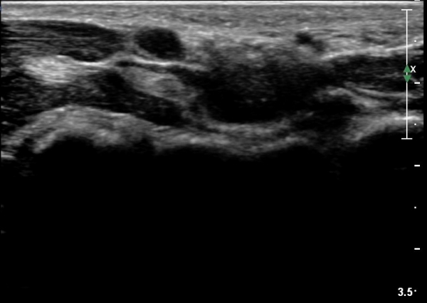
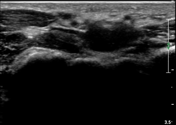
¼ö±Ù°ü ¿øÀ§ºÎ Ⱦ´Ü¸é°Ë»ç¿¡¼­ Á¤Á߽ŰæÀÇ ºÎÁ¾ µî ƯÀÌ ¼Ò°ßÀÌ º¸ÀÌÁö ¾Ê´Â´Ù(»çÁø 3).


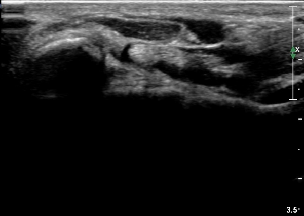
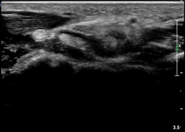
¼Õ¹Ù´Ú ±ÙÀ§ºÎ Ⱦ´Ü¸é°Ë»ç¿¡¼­ Á¤Á߽ŰæÀº ºÎÁ¾ µî ƯÀÌ ¼Ò°ßÀÌ º¸ÀÌÁö ¾ÊÀ¸³ª

¹«Áö±Ù °æ°èºÎ ̫̿¿¡ Àú¿¡ÄÚ Á¾¾çÀÌ °üÂûµÈ´Ù(»çÁø 4, 5).


¼Õ¹Ù´Ú ±ÙÀ§ºÎ¾Æ·¡·Î ŽÃËÀÚ¸¦ À̵¿ÇÏ´Ï Á¾¾çÀÌ ´õ Ä¿Áö°í Á¤Á߽ŰæÀÇ ¹«Áö±Ù °¡Áö°¡ °üÂûµÈ´Ù.(»çÁø 6).


ŽÃËÀÚ¸¦ Á¶±Ý ´õ ¸»´ÜÀ¸·Î À̵¿ÇÏ´Ï Á¾¾çÀÌ ´õ Ä¿Áö°í Á¤Á߽ŰæÀÇ ¹«Áö±Ù °¡ÁöÀÇ ¾Ð¹ÚÀÌ
°üÂûµÈ´Ù.(»çÁø 7, 8).


Á¾¾çÀÇ Á¾´Ü¸é°Ë»ç¿¡¼­ Á¾¾ç°ú À̾îÁö´Â Àú¿¡ÄÚ ¶ì°¡ °üÂûµÇ´Âµ¥ °üÂûµÇ´Â ¾ç»óÀ¸·Î º¼ ¶§
½Å°æÁ¾À¸·Î ÃßÁ¤µÈ´Ù(»çÁø 9, 10).


´Ü¼ø¹æ»ç¼±°Ë»ç


ÀÚ±â°ø¸í°Ë»ç


Ä¡·á



 


 

1893637843_qEaTnhJP_hand.jpg

1893637843_RvJreELZ_hand+ab.jpg


The Prevalence of Anatomical Variations of the Median Nerve in the Carpal Tunnel: A Systematic Review and Meta-Analysis

http://www.ncbi.nlm.nih.gov/pmc/articles/PMC4549253/


A foregoing thenar muscular branch of the median nerve

http://www.ncbi.nlm.nih.gov/pmc/articles/PMC2938605/


Course Pattern of the Muscular Branch of the Median Nerve in Sri Lankans Hand

http://www.scielo.cl/pdf/ijmorphol/v27n4/art17.pdf

ÀÌÀü±Û ºñ°ñ°Ç Á¾ÀÚ°ñ °ñÀý(fracture of peroneal sesamoid)(÷ºÎ ÆÄÀÏ 1, 2)
´ÙÀ½±Û °æ°ñ ÇǷΰñÀý ÃÊÀ½ÆÄ¼Ò°ß(sonographic findings of stress fracture of tibia)
       
°¡¸ÍÁ¡¸í : ½Ã¸®¾Ç½ºÁ¤ÇüÀÇÇבּ¸È¸
»ç¾÷ÀÚµî·Ï¹øÈ£ : 894-81-00627 | ´ëÇ¥ÀÚ : ÀåµÎÇõ
 
ÁÖ¼Ò : °æ±âµµ ¾çÆò±º ¿ë¹®¸é ¿ë¹®·Î 375-1, 2Ãþ 1È£
TEL : 010-2323-4055
E-mail : cyriax12@naver.com
ÀԱݾȳ»
±¹¹ÎÀºÇà | ½Ã¸®¾Ç½ºÁ¤ÇüÀÇÇבּ¸È¸(ÁÖ)
220401-04-194155