[¹ß¸ñ] ¹ß¸ñÀÇ ´Ù¹ß¼ºÀü°æ°ñºñ°ñÀδë, Àü°ÅºñÀδë, Á¾°ñºñ°ñÀδë) ÀÎ´ë ¼Õ»ó
ÀÛ¼ºÀÚ : °ü¸®ÀÚ(khu3265442@naver.com) ÀÛ¼ºÀÏ : 2016-06-22 Á¶È¸¼ö : 7238
ÆÄÀÏ÷ºÎ : [mix]HS AHN20160614125232185.avi [mix]HS AHN20160614125313678.avi [mix]HS AHN20160614125407541.avi [mix]HS AHN20160614125203712.avi

¼ºº° / ³ªÀÌ
¿©ÀÚ/55¼¼


ÁÖÁõ»ó
¿ÞÂÊ ¹ß¸ñ ÅëÁõ (1ÀÏ)


º´·Â
¿îµ¿ÇÏ´Ù°¡ ³Ñ¾îÁ® ¹ß¸ñÀ» ´Ùħ


ÀÌÇÐÀû °Ë»ç
¹ß¸ñÀÇ ºÎÁ¾À» º¸ÀÌ°í ¸ñ½Â¾Æ»À ÁÖÀ§·Î ±¹¼ÒÀû ¾ÐÅëÀÌ ¶Ñ·ÈÇÔ. Àü¹æ°ßÀÎ °Ë»ç¿¡¼­ ¾ç¼º ¼Ò°ßÀ» º¸ÀÓ.


ÃÊÀ½ÆÄ °Ë»ç
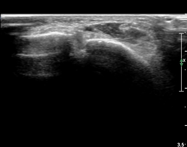
Àü¹æ ¸»´Ü °æ°ñºñ°ñÀδë Á¾´Ü¸é°Ë»ç¿¡¼­ ºñ°ñ ºÎÀ§ °æ°ñºñ°ñÀδëÀÇ Àú¿¡ÄÚºÎÁ¾ÀÌ °üÂûµÇ°í
ºÎÇϰ˻翡¼­ ºñ°ñÀÇ °úµµÇÑ ¿òÁ÷ÀÓÀÌ °üÂûµÈ´Ù(»çÁø 1, 2, µ¿¿µ»ó 1).


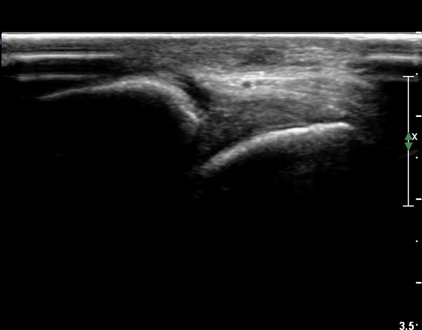
Àü°ÅºñÀδë Á¾´Ü¸é°Ë»ç¿¡¼­ ºñ°ñ ºÎÂøºÎ Àü°ÅºñÀδëÀÇ Àú¿¡ÄÚºÎÁ¾°ú ÀÎ´ë ¸»´ÜºÎ¿¡¼­
ºñ°ñÀÇ °ß¿­°ñÀýÀÌ °üÂûµÈ´Ù(»çÁø 3, 4).


ÃÊÀ½ÆÄ °üÂûÇÏ Àü¹æ°ßÀΰ˻翡¼­ °Å°ñÀÇ °úµµÇÑ ¿òÁ÷ÀÓÀÌ °üÂûµÈ´Ù(µ¿¿µ»ó 2).


ºÎÇÏ°Ë»ç °á°ú·Î º¼ ¶§ ÀδëÀÇ ºÎºÐÆÄ¿­·Î ÆÇ´ÜµÈ´Ù.

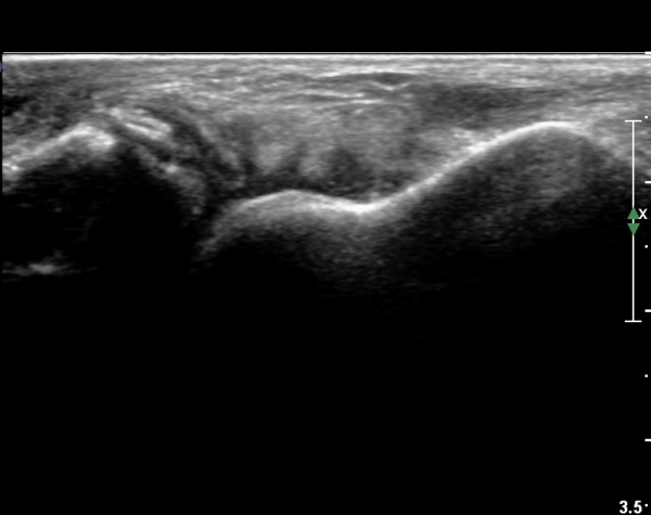
Á¾°ñºñ°ñÀδë Á¾´Ü¸é°Ë»ç¿¡¼­ ÀδëÀÇ ºñ°ñºÎÂøºÎ Àú¿¡ÄÚ ºÎÁ¾°ú ºñ°ñÀÇ °ß¿­°ñÀýÀÌ °üÂûµÈ´Ù(»çÁø 5, 6, 7).


Á¾°ñºñ°ñÀÎ´ë ºÎÇϰ˻翡¼­ Á¾°ñÀÇ °úµµÇÑ ¿òÁ÷ÀÓÀÌ °üÂûµÈ´Ù(÷ºÎµ¿¿µ»ó 3, 4).


ºÎÇÏ°Ë»ç °á°ú·Î º¼ ¶§ ÀδëÀÇ ºÎºÐÆÄ¿­·Î ÆÇ´ÜµÈ´Ù.


´Ü¼ø¹æ»ç¼±°Ë»ç
ƯÀÌ ¼Ò°ß ¾øÀ½


ÀÚ±â°ø¸í°Ë»ç
½ÃÇàÇÏÁö ¾ÊÀ½


Ä¡·á
´ÜÇÏÁö ºÎ¸ñ °íÁ¤




ÀÌÀü±Û ¾î±úÃæµ¹ÁõÈıº¿¡ ÀÇÇÑ ±Ø»ó°Ç ºÎºÐÆÄ¿­
´ÙÀ½±Û ´Ü¼ø¹æ»ç¼± ÃÔ¿µ¿¡¼­ º¸ÀÌ´Â µå¹® Ãæµ¹ÁõÈıº Áõ·Ê
       
°¡¸ÍÁ¡¸í : ½Ã¸®¾Ç½ºÁ¤ÇüÀÇÇבּ¸È¸
»ç¾÷ÀÚµî·Ï¹øÈ£ : 894-81-00627 | ´ëÇ¥ÀÚ : ÀåµÎÇõ
 
ÁÖ¼Ò : °æ±âµµ ¾çÆò±º ¿ë¹®¸é ¿ë¹®·Î 375-1, 2Ãþ 1È£
TEL : 010-2323-4055
E-mail : cyriax12@naver.com
ÀԱݾȳ»
±¹¹ÎÀºÇà | ½Ã¸®¾Ç½ºÁ¤ÇüÀÇÇבּ¸È¸(ÁÖ)
220401-04-194155