[¹ß¸ñ] ¹ß¸ñÀÇ ´Ù¹ß¼º ÀδëÆÄ¿­(¸»´Ü °æ°ñºñ°ñÀδë, Àü°ÅºñÀδë, Á¾°ñÀÔ¹æ°ñÀδë) ÃÊÀ½ÆÄ°Ë»ç
ÀÛ¼ºÀÚ : °ü¸®ÀÚ(khu3265442@naver.com) ÀÛ¼ºÀÏ : 2016-03-18 Á¶È¸¼ö : 9977
ÆÄÀÏ÷ºÎ : [mix]IL SONG AN20160226093000933.avi [mix]IL SONG AN20160226092926037.avi [mix]IL SONG AN20160226093113718.avi

¼ºº° / ³ªÀÌ
³²ÀÚ / 56¼¼


ÁÖÁõ»ó
¿ìÃø ¹ß¸ñÀÇ ÅëÁõ ¹× º¸ÇàÀå¾Ö( 2ÀÏ)


º´·Â
2ÀÏÀü Ʋ·°¿¡¼­ ³»¸®´Ù°¡ ¹°°ÇÀ» ¹â°í ¹Ì²ô·¯Á® ³Ñ¾îÁü


ÀÌÇÐÀû °Ë»ç
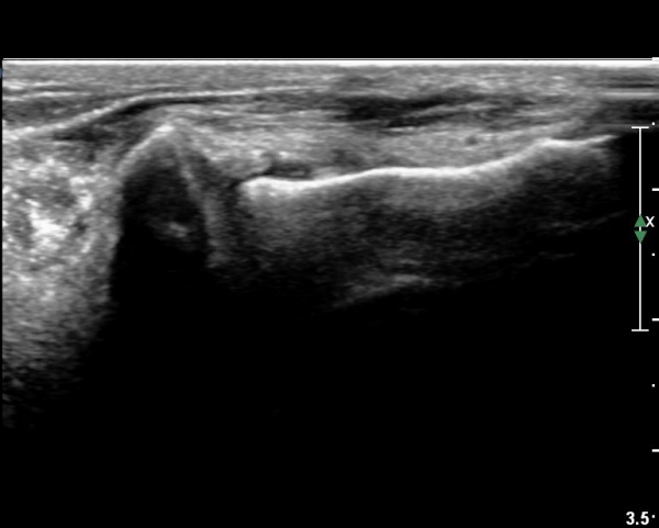
Àü¹ÝÀûÀÎ ¹ß¸ñÀÇ ºÎÁ¾À» ¸ðÀÌ°í ¸»´Ü °æ°ñºñ°ñÀδë, Àü°ÅºñÀδë,
Á¾°ñÀÔ¹æ°ñÀÎ´ë ºÎÀ§¿¡ ±¹¼ÒÀû ¾ÐÅëÀ» º¸ÀÓ


ÃÊÀ½ÆÄ °Ë»ç
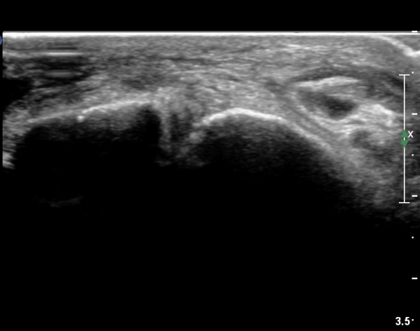
¹ß¸ñ ¾ÕÂÊ Á¾´Ü¸é°Ë»ç¿¡¼­ ¹ß¸ñ°üÀý³» °æ¹ÌÇÑ ¼ö¾×Àú·ù¸¦ º¸À̰í(»çÁø 1, 2)


°Å°ñÁÖ»ó°ñ°üÀýÀÇ ¼ö¾×Àú·ù°¡ °üÂûµÈ´Ù(»çÁø 3).


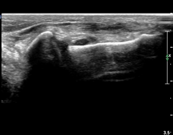
¸»´Ü °æ°ñºñ°ñÀδëÀÇ ÆÄ¿­ÀÌ °üÂûµÇ°í(»çÁø 4, 5)


ºÎÇÏ°Ë»ç ½Ã °æ°ñ°ú ºñ°ñÀÌ ¹ú¾îÁö°í ¼ö¾×ÀÇ À̵¿ÀÌ °üÂûµÈ´Ù(÷ºÎµ¿¿µ»ó 1)


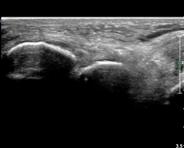
Àü°Åºñ Àδë Á¾´Ü¸é°Ë»ç¿¡¼­ Àü°ÅºñÀδëÀÇ ÆÄ¿­ÀÌ °üÂûµÇ°í(»çÁø 6,7)


ºÎÇÏ°Ë»ç ½Ã °Å°ñ°ú ºñ°ñÀÌ  °úµµÇÏ°Ô ¹ú¾îÁö´Â °ÍÀÌ °üÂûµÈ´Ù(÷ºÎµ¿¿µ»ó 2)


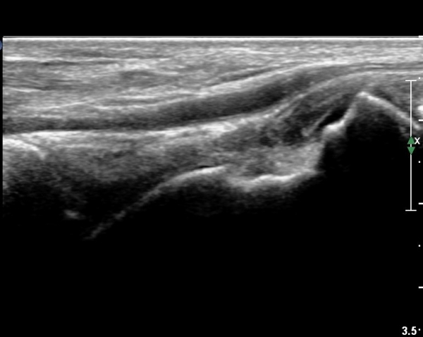
Á¾°ñ ÀÔ¹æ°ñ Àδë Á¾´Ü¸é°Ë»ç¿¡¼­ Á¾°ñ ÀÔ¹æ°ñ ÀÎ´ë  ÆÄ¿­ÀÌ °üÂûµÇ°í(»çÁø 6,7)


ºÎÇÏ°Ë»ç ½Ã Á¾°ñ°ú ÀÔ¹æ°ñ  °úµµÇÏ°Ô ¹ú¾îÁö´Â °ÍÀÌ °üÂûµÈ´Ù(÷ºÎµ¿¿µ»ó 3)


¾ß¾Ö±á °í³ªÀý³»
rjrhf


´Ü¼ø¹æ»ç¼±°Ë»ç
ƯÀÌ ¼Ò°ß ¾øÀ½


ÀÚ±â°ø¸í°Ë»ç
ÃÊÀ½ÆÄ°Ë»ç¿Í ºÎÇÕÇÏ´Â ¼Ò°ß


Ä¡·á
¼ö¼ú À§ÇØ Àü¿ø



 


 

1893637844_46b4f4a0_atf.jpg

ÃÊÀ½ÆÄ¸¦ ÀÌ¿ëÇÑ ºÎÇϰ˻ç(stress test)´Â ¹ß¸ñ ÀδëÀÇ ¾ÈÁ¤¼º(stability) À» ÆÇ´ÜÇϴµ¥

¸Å¿ì À¯¿ëÇÑ °Ë»çÀÌ´Ù.


°ü·Ã Áõ·Ê

http://cyriax12.hosting2003.co.kr/sub03-02.php?ptype=view&idx=5847&page=4&code=dataroom02


http://cyriax12.hosting2003.co.kr/sub03-02.php?ptype=view&idx=5793&page=6&code=dataroom02

ÀÌÀü±Û ´Ü¼ø¹æ»ç¼± ÃÔ¿µ¿¡¼­ º¸ÀÌ´Â µå¹® Ãæµ¹ÁõÈıº Áõ·Ê
´ÙÀ½±Û ³»»ó°ú¿° ÃÊÀ½ÆÄ°Ë»ç ¹× ÁÖ»çÄ¡·á
       
°¡¸ÍÁ¡¸í : ½Ã¸®¾Ç½ºÁ¤ÇüÀÇÇבּ¸È¸
»ç¾÷ÀÚµî·Ï¹øÈ£ : 894-81-00627 | ´ëÇ¥ÀÚ : ÀåµÎÇõ
 
ÁÖ¼Ò : °æ±âµµ ¾çÆò±º ¿ë¹®¸é ¿ë¹®·Î 375-1, 2Ãþ 1È£
TEL : 010-2323-4055
E-mail : cyriax12@naver.com
ÀԱݾȳ»
±¹¹ÎÀºÇà | ½Ã¸®¾Ç½ºÁ¤ÇüÀÇÇבּ¸È¸(ÁÖ)
220401-04-194155