[ÆÈ²ÞÄ¡] ³»»ó°ú¿° ÃÊÀ½ÆÄ°Ë»ç ¹× ÁÖ»çÄ¡·á
ÀÛ¼ºÀÚ : °ü¸®ÀÚ(khu3265442@naver.com) ÀÛ¼ºÀÏ : 2016-03-05 Á¶È¸¼ö : 4266
ÆÄÀÏ÷ºÎ : [mix]MS KOO EL20160305121416863.avi

¼ºº° / ³ªÀÌ
¿©ÀÚ/ 50¼¼


ÁÖÁõ»ó
¿ìÃø ÆÈ²ÞÄ¡ ³»Ãø ÅëÁõ (6°³¿ù)


º´·Â
°ñÇÁ Ä£ ÈÄ ÅëÁõ ¹ß»ý. Ÿº´¿ø¿¡¼­ ÁÖ»çÄ¡·á ÈÄ Áõ»ó È£Àü ÀÖ¾ùÀ¸³ª ´Ù½Ã ÅëÁõÀÌ ½ÉÇàÁü.

¹°°ÇÀ» µé ¶§, ¼¼¼öÇÒ ¶§ ÅëÁõÀÌ ¹ß»ý.


ÀÌÇÐÀû °Ë»ç

ÆÈ²ÞÄ¡ °üÀý°¡µ¿¹üÀ§ Á¦ÇÑÀº º¸ÀÌÁö ¾Ê°í, ³»»ó°ú¿¡ ±¹¼ÒÀû ¾ÐÅëÀÌ ¶Ñ·ÈÇϰí
¼Õ¸ñ±¼°î°ú ¾Æ·§ÆÈÀ» ¾ÈÂÊÀ¸·Î µ¹¸± ¶§ ÅëÁõÀÌ ¹ß»ýÇÏ°í ±Ù¾àÁõÀ» º¸ÀÓ.


ÃÊÀ½ÆÄ °Ë»ç
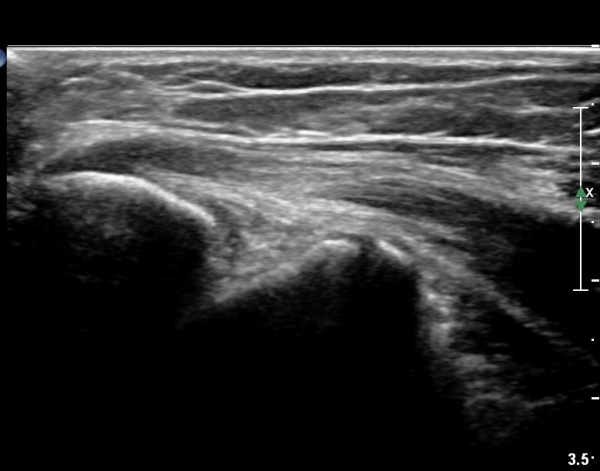
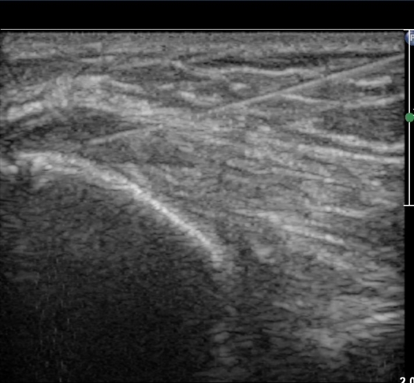
³»»ó°ú Á¾´Ü¸é°Ë»ç¿¡¼­ ³»»ó°ú ±¼°ñ°Ç ºÎÂøºÎ¿¡ Àú¿¡ÄÚ º´º¯ÀÌ °üÂûµÈ´Ù. °Ç ½ÉºÎÀÇ
³»ÃøºÎÀδë´Â ƯÀÌ ¼Ò°ßÀ» º¸ÀÌÁö ¾Ê´Â´Ù(±×¸² 1, 2).


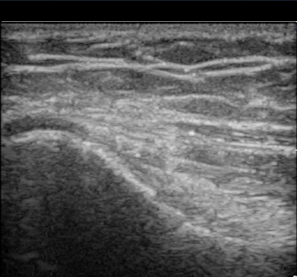
ŽÃËÀÚ¸¦ Á¶±Ý À̵¿ÇÏ´Ï °Ç ÀϺδ Á¤»óÀûÀÎ ¼Ò°ßÀ» º¸À̰í ÀÖ´Ù(±×¸² 3).


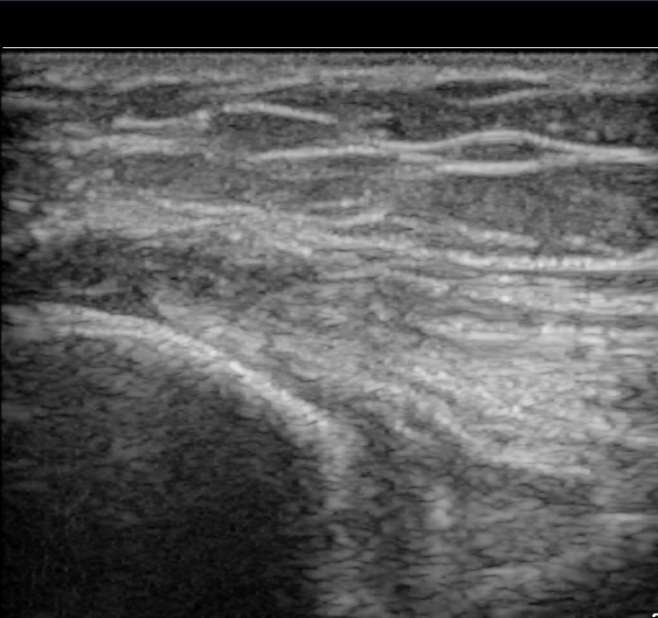
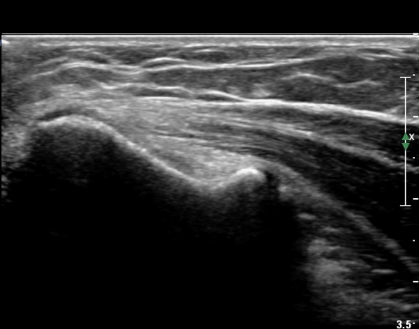
°í¿¡ÄÚ Å½ÃËÀÚ(ÇÏŰ½ºÆ½)·Î °üÂû ½Ã °Ç ºÎÂøºÎ°¡ °í¿¡ÄÚ ¼¶À¯ ¾ç»óÀ¸·Î Á¤»óÀûÀÎ ¼Ò°ßÀ» º¸ÀδÙ(±×¸² 4).


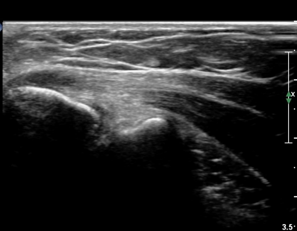
º´º¯ ºÎÀ§·Î ŽÃËÀÚ¸¦ À̵¿ÇÏ±â °Ç ºÎÂøºÎ Àú¿¡ÄÚ º¯¼ºÀÌ ¶Ñ·ÈÇÏ´Ù(±×¸² 5).


ÃÊÀ½ÆÄÀ¯µµÇÏ ÁÖ»çÄ¡·á »çÁøÀ¸·Î ¹Ù´ÃÀÌ º´º¯ ºÎÀ§¿¡ Á¤È®È÷ À§Çϰí ÀÖ´Â °ÍÀÌ º¸ÀδÙ(»çÁø 6).


Áֻ縦 ½ÃÇàÇÏ´Ï ÁÖ»ç¾×ÀÌ ¸¶Ä¡ ³¶Á¾¿¡ ÁÖ»çÇÏ´Â °Íó·³ ÁÖ»çµÇ¾î Àú¿¡ÄÚ º´º¯ ºÎÀ§°¡
ÆÄ¿­µÈ °ÍÀÓÀÌ È®ÀεȴÙ(÷ºÎ µ¿¿µ»ó).


´Ü¼ø¹æ»ç¼±°Ë»ç
ƯÀÌ ¼Ò°ß ¾øÀ½


ÀÚ±â°ø¸í°Ë»ç


Ä¡·á
ÃÊÀ½ÆÄ À¯µµÇÏ Æ®¸®¶÷½Ã³î·Ð 2mg(0.2 cc) ÁÖ»ç



 


 

2049205449_1440822f_20160305_120521+s.jpg

25G*3,5cm ¹Ù´ÃÀ»  ÀÌ¿ëÇÏ¿© 0.5% ¸®µµÄÉÀÎ 1.5 cc¿¡ Æ®¸®¾Ï½Ã³î·Ð 10mgÀ» ¼¯Àº ÁÖ»ç¾×À¸·Î Áֻ縦 ½ÃÇàÇÏ¿´´Ù.
¾à 0.2cc ÁÖ»çÇÏ´Ï Áֻ翡 ÀúÇ×À» º¸¿© º¸¿© 0.2cc¸¸ ÁÖ»çÇÏ¿´´Ù.


ÃÊÀ½ÆÄ À¯µµÇÏ º´º¯³» ÁÖ»ç ½Ã ³×¹« ¼¼°Ô(Å« ÈûÀ¸·Î) ÁÖ»çÇÏ¸é °ÇÀÇ ÆÄ¿­À» Á¶ÀåÇÒ ¼ö ÀÖÀ¸¹Ç·Î
ÀûÀýÇÑ ÈûÀ¸·Î ÁÖ»çÇ쵂 Áֻ翡 ÀúÇ×À» º¸ÀÌ¸é ±× ¸¸Å­¸¸ ÁÖ»çÇÑ´Ù.


ÃÊÀ½ÆÄÀ¯µµÇÏ ÁÖ»çÄ¡·á¸¦ ½ÃÇàÇϸé ÃÖ¼Ò·®ÀÇ ÁÖ»ç¾àÀ¸·Îµµ ÃÖ´ëÀÇ È¿°ú¸¦ º¼ ¼ö ÀÖ´Ù.


Áõ½ÄÄ¡·á³ª PDRN Áֻ絵 °°Àº ¹æ¹ýÀ¸·Î Áֻ翡 ÀúÇ×À» º¸ÀÌ´Â Á¤µµ±îÁö¸¸ ÁÖ»çÇÑ´Ù.

ÀÌÀü±Û ¹ß¸ñÀÇ ´Ù¹ß¼º ÀδëÆÄ¿­(¸»´Ü °æ°ñºñ°ñÀδë, Àü°ÅºñÀδë, Á¾°ñÀÔ¹æ°ñÀδë) ÃÊÀ½ÆÄ°Ë»ç
´ÙÀ½±Û ¼Õ¸ñ½ÅÀü°Ç°ú ¿ÜÃø ÃøºÎÀÎ´ë ÆÄ¿­ ÃÊÀ½ÆÄ°Ë»ç
       
°¡¸ÍÁ¡¸í : ½Ã¸®¾Ç½ºÁ¤ÇüÀÇÇבּ¸È¸
»ç¾÷ÀÚµî·Ï¹øÈ£ : 894-81-00627 | ´ëÇ¥ÀÚ : ÀåµÎÇõ
 
ÁÖ¼Ò : °æ±âµµ ¾çÆò±º ¿ë¹®¸é ¿ë¹®·Î 375-1, 2Ãþ 1È£
TEL : 010-2323-4055
E-mail : cyriax12@naver.com
ÀԱݾȳ»
±¹¹ÎÀºÇà | ½Ã¸®¾Ç½ºÁ¤ÇüÀÇÇבּ¸È¸(ÁÖ)
220401-04-194155