[ÆÈ²ÞÄ¡] ¾çÃø ÀÌµÎ¹Ú±Ù°Ç ºÎºÐ ÆÄ¿­ ÃÊÀ½ÆÄ°Ë»ç
ÀÛ¼ºÀÚ : °ü¸®ÀÚ(khu3265442@naver.com) ÀÛ¼ºÀÏ : 2016-02-22 Á¶È¸¼ö : 3726
ÆÄÀÏ÷ºÎ :

¼ºº° / ³ªÀÌ
³²ÀÚ/46¼¼


ÁÖÁõ»ó
¿ìÃø ÆÈ²ÞÄ¡ ÅëÁõ(±â°£ : 2°³¿ù)


º´·Â
2´ÞÀü ¹°°ÇÀ» ´ç±â´Âµ¥ ÆÈ²ÞÄ¡°¡ µ¹¾Æ°¡´Â ´À³¦ÀÌ ¹ß»ýÇÑ ÈÄ ÆÈ²ÞÄ¡ ÅëÁõÀÌ ¹ß»ý ÈÄ È£ÀüµÇÁö ¾ÊÀ½.


ÀÌÇÐÀû °Ë»ç
°üÀý°¡µ¿¹üÀ§ Á¦ÇÑÀº ¾ø°í, ÀúÇ׿¡ ´ëÇÑ ÆÈ²ÞÄ¡ ±¼°î°ú Àü¿Ï ȸ¿Ü ½Ã ÅëÁõÀÌ ¹ß»ýÇÔ.


ÃÊÀ½ÆÄ °Ë»ç
e


´Ü¼ø¹æ»ç¼±°Ë»ç
½ÃÇàÇÏÁö ¾ÊÀ½


ÀÚ±â°ø¸í°Ë»ç
½ÃÇàÇÏÁö ¾ÊÀ½


Ä¡·á
¹°¸®Ä¡·á, ¾à¹°Ä¡·á



 


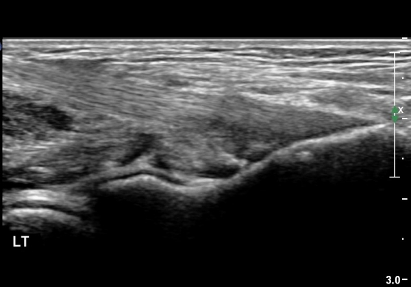
¿ìÃø ÆÈ²ÞÄ¡ ¾ÕÂÊ¿¡¼­ ÀÌµÎ¹Ú±Ù°Ç È¾´Ü¸é°Ë»ç¿¡¼­ À̵ιڱٰǿ¡ ƯÀÌ ¼Ò°ßÀ» º¸ÀÌÁö ¾Ê(±×¸² 1, 2).


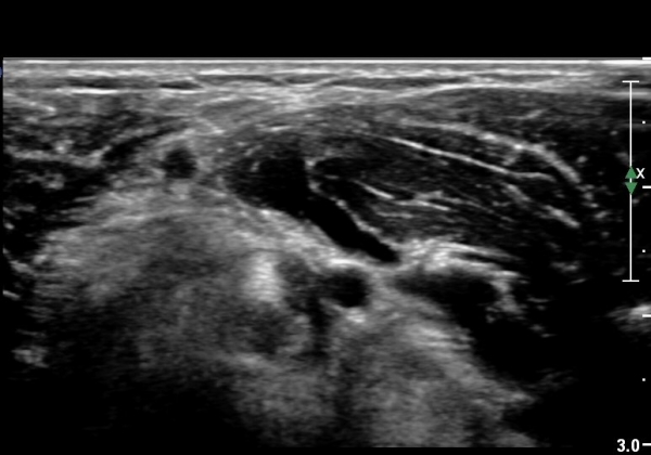
ŽÃËÀÚ¸¦ Á¶±Ý ¸»´ÜÀ¸·Î À̵¿Çϰí ŽÃËÀÚ¸¦ ¸Ó¸®ÂÊÀ¸·Î ±â¿ïÀÌ´Ï À̵ιڱٰÇÀÌ ¶Ñ·ÈÇÏ°Ô °üÂûµÇ´Âµ¥ À̵ιڱٰÇÀÇ ºÎÁ¾ÀÌ °üÂûµÊ(±×¸² 3).


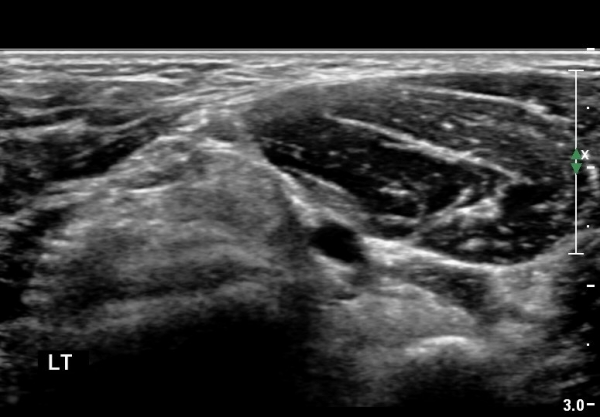
Á¶±Ý ´õ ¸»´ÜÀ¸·Î À̵¿ÇÏ¿© °üÂûÇÏ´Ï ÀÌµÎ¹Ú±Ù°Ç ½ÇÁú³» ÆÄ¿­°ú °üÀý ÁÖÀ§ ¼ö¾×Àú·ù°¡ °üÂûµÊ(±×¸² 4, 5).


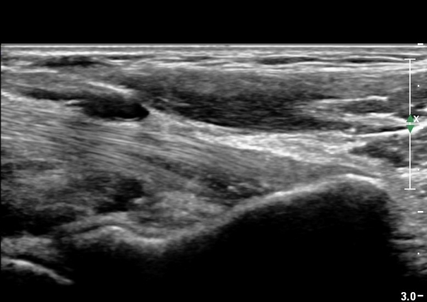
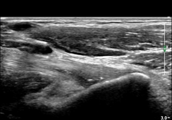
ÀÌµÎ¹Ú±Ù°Ç Á¾´Ü¸é°Ë»ç¿¡¼­ ÀÌµÎ¹Ú±Ù°Ç ºÎÂøºÎ ¿ä°ñµ¹±âÀÇ ºñÈÄ¿Í À̵ιڱٰÇÀÇ Á¾¹æÇâ ÆÄ¿­ ¹×
ºÎÁ¾ÀÌ °üÂûµÊ(»çÁø 6, 7).


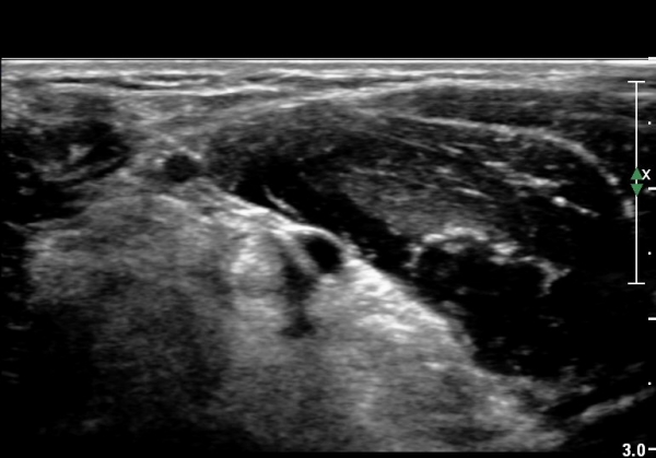
ÁÂÃø ÀÌµÎ¹Ú±Ù°Ç ¸»´Ù´© Ⱦ´Ü¸é°Ë»ç¿¡¼­ À̵ιڱÙÀü ºÎÁ¾ÀÌ °üÂûµÊ(±×¸² 8).


ÁÂÃø ÀÌµÎ¹Ú±Ù°Ç Á¾´Ü¸é°Ë»ç¿¡¼­ ÀÌµÎ¹Ú±Ù°Ç ºÎÂøºÎ ¿ä°ñµ¹±âÀÇ ºñÈÄ¿Í ¹Ì¼¼ÇÑ À̵ιڱٰÇÀÇ Á¾¹æÇâ ÆÄ¿­ ¹× ºÎÁ¾ÀÌ °üÂûµÊ(»çÁø 9, 10)

ÀÌÀü±Û ¾çÃø ÀÌµÎ¹Ú±Ù°Ç ÆÄ¿­ ÃÊÀ½ÆÄ°Ë»ç 2
´ÙÀ½±Û ½½°³°ñ °ñÀý ¼ö¼ú ÈÄ ÅëÁõÄ¡·á; º¹Àç½Å°æ Â÷´Ü¼ú
       
°¡¸ÍÁ¡¸í : ½Ã¸®¾Ç½ºÁ¤ÇüÀÇÇבּ¸È¸
»ç¾÷ÀÚµî·Ï¹øÈ£ : 894-81-00627 | ´ëÇ¥ÀÚ : ÀåµÎÇõ
 
ÁÖ¼Ò : °æ±âµµ ¾çÆò±º ¿ë¹®¸é ¿ë¹®·Î 375-1, 2Ãþ 1È£
TEL : 010-2323-4055
E-mail : cyriax12@naver.com
ÀԱݾȳ»
±¹¹ÎÀºÇà | ½Ã¸®¾Ç½ºÁ¤ÇüÀÇÇבּ¸È¸(ÁÖ)
220401-04-194155