[¾ûµ¢ÀÌ] ¼ÒµÐ±Ù ¼®È¸È­¼º °ÇÃÊ¿°¿¡ ÀÇÇÑ ´ëÀüÀÚ Á¡¾×³¶¿°(trochanteric bursitis due to calcaific tendinitis of gluteus minumus)
ÀÛ¼ºÀÚ : °ü¸®ÀÚ(khu3265442@naver.com) ÀÛ¼ºÀÏ : 2015-07-31 Á¶È¸¼ö : 3692
ÆÄÀÏ÷ºÎ : [mix]JH KIM inj.avi [mix]JH KIM needling.avi

¼ºº° / ³ªÀÌ
¤©


ÁÖÁõ»ó
¤©


º´·Â
¤©


ÀÌÇÐÀû °Ë»ç
¤©


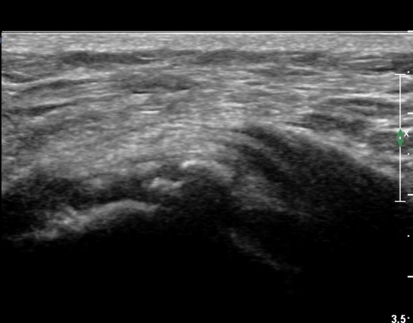
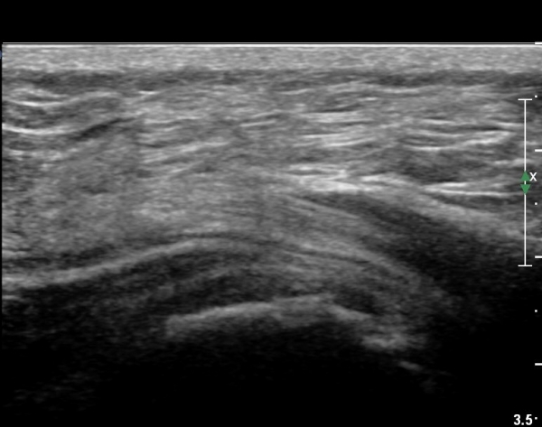
ÃÊÀ½ÆÄ °Ë»ç
¤©


´Ü¼ø¹æ»ç¼±°Ë»ç
¤©


ÀÚ±â°ø¸í°Ë»ç
¤©


Ä¡·á
Á¡¾×³¶³» ÁÖ»çÄ¡·á¿Í ¼®È¸ÀÇ ÁÖ»ç¹Ù´Ã ÀÚ±Ø(needling)




ÀÌÀü±Û ÀüÇÏÀå°ñ±Ø °ß¿­°ñÀý(avulsion fracture of anterior inferior iliac spine)
´ÙÀ½±Û ÀüÇÏÀå°ñ±Ø¿¡¼­ ´ëÅðÁ÷±Ù ÈûÁÙ ÆÄ¿­(tear of rectus femoris tendon at AIIS)
       
°¡¸ÍÁ¡¸í : ½Ã¸®¾Ç½ºÁ¤ÇüÀÇÇבּ¸È¸
»ç¾÷ÀÚµî·Ï¹øÈ£ : 894-81-00627 | ´ëÇ¥ÀÚ : ÀåµÎÇõ
 
ÁÖ¼Ò : °æ±âµµ ¾çÆò±º ¿ë¹®¸é ¿ë¹®·Î 375-1, 2Ãþ 1È£
TEL : 010-2323-4055
E-mail : cyriax12@naver.com
ÀԱݾȳ»
±¹¹ÎÀºÇà | ½Ã¸®¾Ç½ºÁ¤ÇüÀÇÇבּ¸È¸(ÁÖ)
220401-04-194155