[¹ß¸ñ] °áÀýÁ¾¿¡ ÀÇÇÑ ¿ÜÃø Á·Àú½Å°æ ¾Ð¹Ú(¹ß¸ñÅͳÎÁõÈıº)
ÀÛ¼ºÀÚ : °ü¸®ÀÚ(khu3265442@naver.com) ÀÛ¼ºÀÏ : 2018-08-20 Á¶È¸¼ö : 2776
ÆÄÀÏ÷ºÎ :

¼ºº° / ³ªÀÌ
³²ÀÚ/ 35¼¼


ÁÖÁõ»ó
¹ß¹Ù´Ú ¿ÜÃøÀÇ Àú¸²Áõ ¹× °¨°¢°¨¼Ò(1³â)


º´·Â
¾à 1³âÀüºÎÅÍ °£ÇæÀûÀ¸·Î ¹ß¹Ù´Ú ¿ÜÃø Àú¸®°í °¨°¢ÀÌ µÐÇØÁö´Ù°¡ ÃÖ±Ù Áõ»óÀÌ ½ÉÇÏ¿©
Ÿº´¿ø ³»¿øÇÏ¿© Ç㸮 ÀÚ±â°ø¸í°Ë»ç °á°ú ƯÀÌ ¼Ò°ß º¸ÀÌÁö ¾Ê¾Æ ±ÙÀüµµ°Ë»ç ¿Ü·ÚµÊ


ÀÌÇÐÀû °Ë»ç
¶Ñ·ÈÇÑ ±Ù¾àÁõÀº º¸ÀÌÁö ¾ÊÀ½. ¹ß¹Ù´Ú ¿ÜÃø¿¡ °¨°¢ °¨¼Ò¸¦ º¸ÀÓ. ¹ß¸ñÅͳΠ¸»´ÜºÎ¿¡ ½ÉÇÑ ¾ÐÅëÀ» º¸ÀÓ.


ÃÊÀ½ÆÄ °Ë»ç
¹ß¸ñÅͳΠȾ´Ü¸é°Ë»ç¿¡¼­ ³»Ãø º¹»ç»À ³»Ãø¿¡ Èİæ°ñ°Ç, ¹ß°¡¶ô±¼°î°Ç°ú ¾öÁö¹ß°¡¶ô±¼°î°Ç

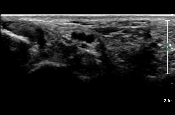
»çÀÌ¿¡¼­ Èİæ°ñ½Å°æÀÌ °üÂûµÇ°í ½Å°æÀÇ Ç¥Ãæ¿¡ µ¿¸Æ°ú Á¤¸ÆµéÀÌ °üÂûµÈ´Ù(»çÁø 1).


ŽÃËÀÚ¸¦ Á¶±Ý ¸»´ÜÀ¸·Î À̵¿ÇÏ´Ï Èİæ°ñ½Å°æÀÌ ³»ÃøÁ·Àú½Å°æ°ú ¿ÜÃøÁ·Àú½Å°æÀ¸·Î ºÐÁöÇÑ´Ù(»çÁø 2).


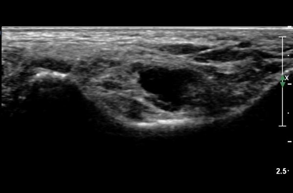
ŽÃËÀÚ¸¦ Á¶±Ý ´õ ¸»´ÜÀ¸·Î À̵¿ÇÏ´Ï Á¶±Ý¸¸ ³¶Á¾ÀÌ µÎ ½Å°æ »çÀÌ¿¡¼­ °üÂûµÈ´Ù(»çÁø 3).


ŽÃËÀÚ¸¦ Á¶±Ý ´õ À̵¿ÇÏ´Ï ³¶Á¾ÀÌ ¿ÜÃøÁ·Àú½Å°æ Ç¥ÃþÀ¸·Î À§Ä¡ÇÑ´Ù. ½Å°æÀÇ ½ÉÃþ¿¡¼­´Â

±ä¾öÁö±¼°î°ÇÀÌ º¸ÀδÙ(»çÁø 4, 5).


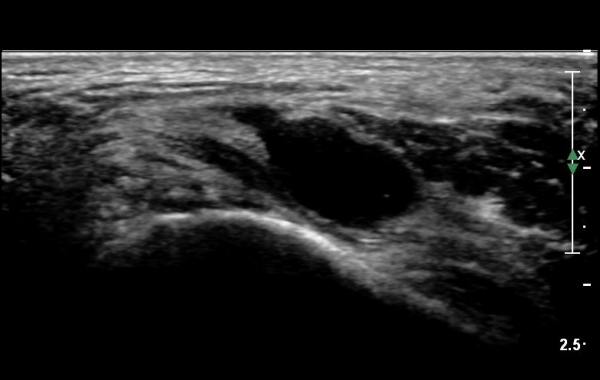
ŽÃËÀÚ¸¦ Á¶±Ý ´õ À̵¿ÇÏ´Ï ³¶Á¾ÀÌ Ä¿Áö¸é¼­ ¿ÜÃøÁ·Àú½Å°æÀ» ¾Ð¹ÚÇÏ´Â °ÍÀÌ ¶Ñ·ÈÇÏ´Ù(»çÁø 6, 7, 8, 9).


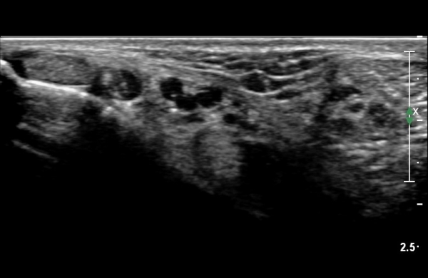
¿ÜÃøÁ·Àú½Å°æÀ» Á¾´Ü¸éÀ¸·Î °üÂûÇÏ´Ï ½Å°æÀÇ ÁÖÇàÁß¿¡ ³¶Á¾¿¡ ÀÇÇÑ ¾Ð¹ÚÀÌ ¶Ñ·ÈÈ÷ °üÂûµÈ´Ù(»çÁø 10).
¿ÀÄ¡±×°Ý°ú


´Ü¼ø¹æ»ç¼±°Ë»ç
±ÙÀüµµ°Ë»ç : ƯÀÌ ¼Ò°ß ¾øÀ½


ÀÚ±â°ø¸í°Ë»ç


Ä¡·á
ÀÇ·ÚÇÑ º´¿øÀ¸·Î ȸ¼Û



 


º» ȯÀÚ´Â ±ÙÀüµµ°Ë»ç¿¡¼­ ƯÀÌ ¼Ò°ßÀ» º¸ÀÌÁö ¾Ê¾Ò´Ù.

¹ß¸ñÅͳÎÁõÈıº ȯÀÚÀÇ ÀϺδ ±ÙÀüµµ°Ë»ç¿¡¼­ Á¤»ç ¼Ò°ßÀ» º¸ÀÏ ¼ö ÀÖÀ¸¹Ç·Î ¹ß¸ñÅͳÎÁõÈıºÀÌ

°­·ÂÈ÷ ÀǽɵǴ °æ¿ì¿¡´Â ±ÙÀüµµ°Ë»ç¿¡¼­ Á¤»ç ¼Ò°ßÀ» º¸ÀÌ´õ¶óµµ ÃÊÀ½ÆÄ°Ë»ç³ª ÀÚ±â°ø¸í°Ë»ç

¸¦ ½ÃÇàÇÏ¿© ÀÌ»ó ¿©ºÎ¸¦ È®ÀÎÇØ¾ß ÇÑ´Ù.

¶ÇÇÑ º» Áõ·Ê¿Í °°ÀÌ ³»Ãø°ú ¿ÜÃøÀÇ Á·Àú½Å°æ¿¡ ¼±ÅÃÀûÀ¸·Î ¹ßº´ÇÒ ¼ö ÀÖÀ¸¹Ç·Î ±ÙÀüµµ°Ë»ç

½ÃÇà ½Ã¿¡µµ ¹Ýµå½Ã ¾öÁö¿ÜÀü±Ù°ú »õ³¢¹ß°¡¶ô¿ÜÀü±ÙÀÇ Ä§±ÙÀüµµ °Ë»ç¸¦ ½ÃÇàÇÏ¿©¾ß ÇÑ´Ù.

 


[¼±ÅÃÀûÀÎ ½Å°æº´ÁõÀÌ ¹ß»ýÇÑ Áõ·Ê]

http://www.mssono.co.kr/case/tarsal-lat/tarsal-lat.htm

 

 

ÀÌÀü±Û ÀüÇÏÀå°ñ±Ø¿¡¼­ ´ëÅðÁ÷±Ù ÈûÁÙ ÆÄ¿­(tear of rectus femoris tendon at AIIS)
´ÙÀ½±Û ¾ûµ¢ÀÌ °üÀý¼ø ÆÄ¿­ÀÇ ÃÊÀ½ÆÄ°Ë»ç(ultrasonography of labrum tear of hip joint)
       
°¡¸ÍÁ¡¸í : ½Ã¸®¾Ç½ºÁ¤ÇüÀÇÇבּ¸È¸
»ç¾÷ÀÚµî·Ï¹øÈ£ : 894-81-00627 | ´ëÇ¥ÀÚ : ÀåµÎÇõ
 
ÁÖ¼Ò : °æ±âµµ ¾çÆò±º ¿ë¹®¸é ¿ë¹®·Î 375-1, 2Ãþ 1È£
TEL : 010-2323-4055
E-mail : cyriax12@naver.com
ÀԱݾȳ»
±¹¹ÎÀºÇà | ½Ã¸®¾Ç½ºÁ¤ÇüÀÇÇבּ¸È¸(ÁÖ)
220401-04-194155