[¾ûµ¢ÀÌ] ¾ûµ¢ÀÌ °üÀý¼ø ÆÄ¿­ÀÇ ÃÊÀ½ÆÄ°Ë»ç(ultrasonography of labrum tear of hip joint)
ÀÛ¼ºÀÚ : °ü¸®ÀÚ(khu3265442@naver.com) ÀÛ¼ºÀÏ : 2015-06-06 Á¶È¸¼ö : 9546
ÆÄÀÏ÷ºÎ :

¼ºº° / ³ªÀÌ
3


ÁÖÁõ»ó
3


º´·Â
3


ÀÌÇÐÀû °Ë»ç
3


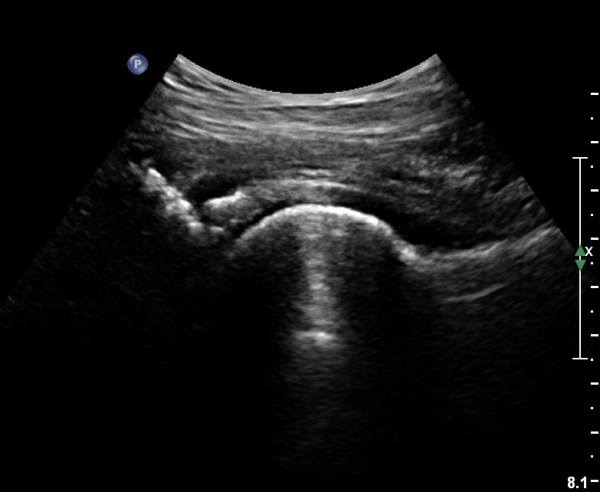
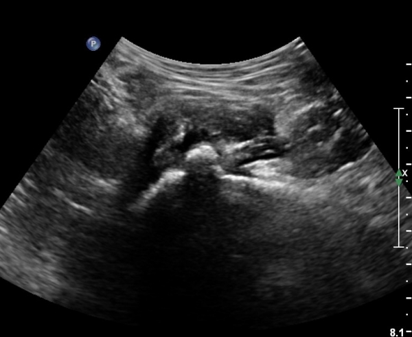
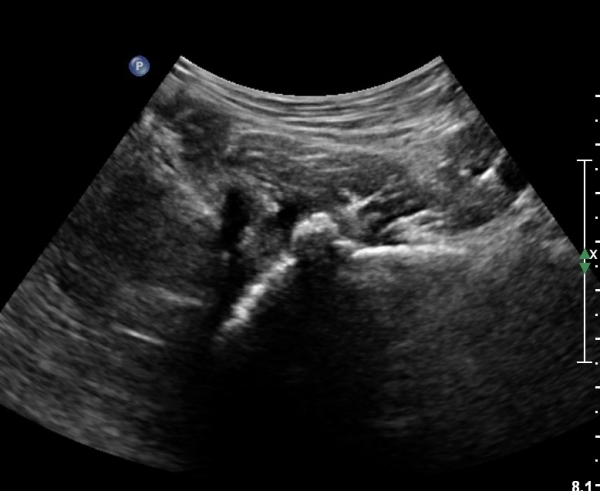
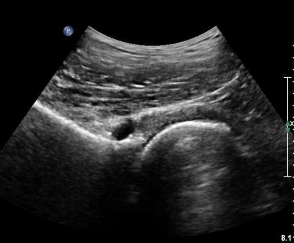
ÃÊÀ½ÆÄ °Ë»ç
soon


´Ü¼ø¹æ»ç¼±°Ë»ç
w


ÀÚ±â°ø¸í°Ë»ç
w


Ä¡·á
w





J Ultrasound Med 2006; 25:1321–1326
Sonography of the Acetabular Labrum Visualization of Labral Injuries During Intra-Articular Injections

http://www.jultrasoundmed.org/content/31/3/439.full.pdf+html


Acta Orthopaedica 2009; 80 (3): 314–318
What is the role of clinical tests and ultrasound in acetabular labral tear diagnostics?

https://onlinelibrary.wiley.com/journal/15509613


J Ultrasound Med. 2012 Mar;31(3):439-47.
Sonographic evaluation of anterosuperior hip labral tears with magnetic resonance arthrographic and surgical correlation.

http://www.ncbi.nlm.nih.gov/pubmed/22368134#


http://www.ncbi.nlm.nih.gov/pubmed

ÀÌÀü±Û °áÀýÁ¾¿¡ ÀÇÇÑ ¿ÜÃø Á·Àú½Å°æ ¾Ð¹Ú(¹ß¸ñÅͳÎÁõÈıº)
´ÙÀ½±Û ¿À±¸µ¹±â°ßºÀÀÎ´ë ¼®È¸È­¿¡ µ¿¹ÝµÈ Ãæµ¹ÁõÈıº, ȸÀü±Ù°³ ÆÄ¿­(rotator cuff tear and impingement syndrome associated with calcific
       
°¡¸ÍÁ¡¸í : ½Ã¸®¾Ç½ºÁ¤ÇüÀÇÇבּ¸È¸
»ç¾÷ÀÚµî·Ï¹øÈ£ : 894-81-00627 | ´ëÇ¥ÀÚ : ÀåµÎÇõ
 
ÁÖ¼Ò : °æ±âµµ ¾çÆò±º ¿ë¹®¸é ¿ë¹®·Î 375-1, 2Ãþ 1È£
TEL : 010-2323-4055
E-mail : cyriax12@naver.com
ÀԱݾȳ»
±¹¹ÎÀºÇà | ½Ã¸®¾Ç½ºÁ¤ÇüÀÇÇבּ¸È¸(ÁÖ)
220401-04-194155