[¹ß¸ñ] Àü°ÅºñÀÎ´ë ÆÄ¿­ÀÇ ÃÊÀ½ÆÄ°Ë»ç ¹× Ä¡·á °æ°ú
ÀÛ¼ºÀÚ : °ü¸®ÀÚ(khu3265442@naver.com) ÀÛ¼ºÀÏ : 2015-05-30 Á¶È¸¼ö : 6805
ÆÄÀÏ÷ºÎ : [mix]DG LEE AN20150318.avi [mix]DG LEE AN20150226.avi [mix]DG LEE AN20150506.avi

¼ºº° / ³ªÀÌ
³²ÀÚ/ 14¼¼


ÁÖÁõ»ó
³Ñ¾îÁø ÈÄ ¹ß¸ñÀÇ ÅëÁõ(2ÀÏ)


º´·Â
³Ñ¾îÁø ÈÄ ¹ß¸ñ ÅëÁõÀÌ °è¼ÓµÇ¾î ³»¿ø


ÀÌÇÐÀû °Ë»ç
¹ß¸ñ¸ð°£ÀýÀÇ Àü¹ÝÀûÀÎ ºÎÁ¾°ú ¿Ü°ú ÁÖº¯¿¡ ±¹¼ÒÀû ¾ÐÅëÀÌ ¶Ñ·ÈÇÔ.
¹ß¸ñ ½ÅÀü ³»¹Ý ½Ã ÅëÁõÀÌ Áõ°¡ÇÔ. Àü¹æ °ßÀΰ˻翡¼­ ¶Ñ·ÈÇÑ ¼Ò°ßÀ» º¸ÀÌÁö ¾ÊÀ½.


ÃÊÀ½ÆÄ °Ë»ç
¹ß¸ñ°üÀý ¾ÕÂÊ Á¾´Ü¸é°Ë»ç¿¡¼­ ƯÀÌ ¼Ò°ßÀ» º¸ÀÌÁö ¾ÊÀ¸³ª(»çÁø 1)


ŽÃËÀÚ¸¦ ÀÎÁ¢ÇÑ ºÎÀ§·Î À̵¿ÇÏ´Ï ¼Ò·®ÀÇ °üÀý³» ¼ö¾×Àú·ù°¡ °üÂûµÈ´Ù(»çÁö 2).


Àü¹æ °æ°ñºñ°ñÀδë Á¾´Ü¸é°Ë»ç¿¡¼­ ƯÀÌ ¼Ò°ßÀ» º¸ÀÌÁö ¾Ê´Â´Ù(»çÁø 3).


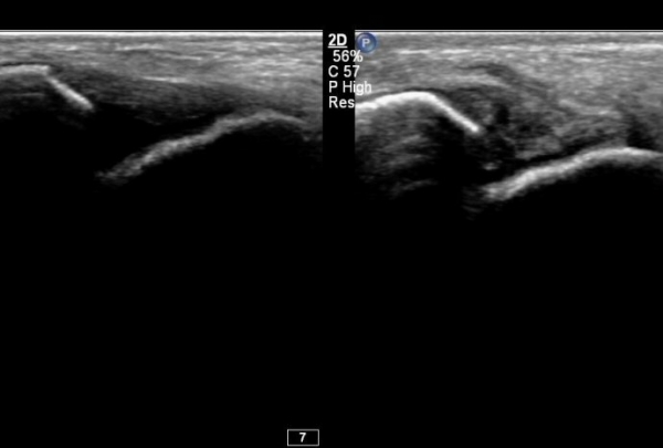
Àü°ÅºñÀδë Á¾´Ü¸é°Ë»ç¿¡¼­ ¾È´ë ºñ°ñ ºÎÂøºÎÀÇ Àú¿¡ÄÚ ºÎÁ¾°ú ºÎºÐÆÄ¿­ÀÌ °üÂûµÈ´Ù(»çÁø 4).


ºñ°ñÁ¾°ñÀδë Á¾´Ü¸é°Ë»ç¿¡¼­ ƯÀÌ ¼Ò°ßÀ» º¸ÀÌÁö ¾Ê´Â´Ù(»çÁø 5).


°ÇÃø °Å°ñºñ°ñÀδë Á¾´Ü¸é°Ë»ç¿¡¼­ Á¤»óÀûÀÎ ¼Ò°ßÀ» º¸À̰í(»çÁø 6),


°ÇÃø°ú ºñ±³Çϸé È¯ÃøÀÇ º´Àû ¼Ò°ßÀÌ ¶Ñ·ÈÇÏ´Ù(»çÁø 7).


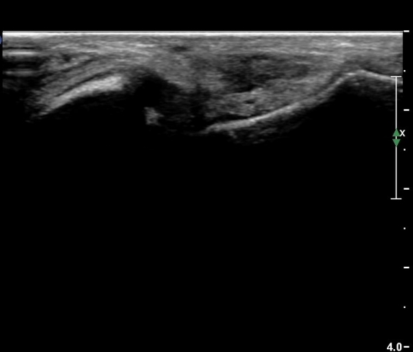
ÃÊÀ½ÆÄÅõ½ÃÇÏ ºÎÇϰ˻翡¼­ ºñ°ñ°ú °Å°ñÀÇ ºñÁ¤»óÀûÀÎ ¹ú¾îÁüÀÌ °üÂûµÈ´Ù(÷ºÎ µ¿¿µ»ó 1).

 


3ÁÖ°£ ºÎ¸ñ°íÁ¤ ÈÄ ½ÃÇàÇÑ ÃßÀû°Ë»ç¿¡¼­
¹ß¸ñ°üÀý ¾ÕÂÊ Á¾´Ü¸é°Ë»ç¿¡¼­ °üÀý³» ¼ö¾×Àú·ù°¡ »ç¶óÁö°í(»çÁø 1),


Àü°ÅºñÀδë Á¾´Ü¸é°Ë»ç¿¡¼­ Àü°ÅºñÀδëÀÇ Àú¿¡ÄÚ ºÎÁ¾ÀÌ °¨¼ÒÇϰí ÀδëÀÇ ¿¡ÄÚ°¡
Áõ°¡µÇ¾ú´Ù(»çÁø 3, 4).


ÃÊÀ½ÆÄÅõ½ÃÇÏ ºÎÇϰ˻翡¼­ ºñ°ñ°ú °Å°ñÀÇ ¹ú¾îÁüÀÌ Å©°Ô °¨¼ÒµÇ¾ú´Ù(÷ºÎ µ¿¿µ»ó 2).

 


9ÁÖ ÈÄ ÃßÀû°Ë»ç

Àü°ÅºñÀδë Á¾´Ü¸é°Ë»ç¿¡¼­  Àú¿¡ÄÚ ºÎÁ¾ÀÌ °¨¼ÒÇϰí ÀδëÀÇ ¿¡ÄÚ°¡ Áõ°¡µÇ¾ú´Ù(»çÁø 2, 3, 4).


Àü°ÅºñÀδë Ⱦ´Ü¸é°Ë»ç¿¡¼­ Àü°Åºñ ÀÎ´ë ¾ÕÂÊ ºÎÀ§ÀÇ °æ¹ÌÇÑ Àú¿¡ÄÚ ºÎÁ¾ÀÌ °üÂûµµ´Ï´Ù(»çÁø 5).


ÃÊÀ½ÆÄÅõ½ÃÇÏ ºÎÇϰ˻翡¼­ ºñ°ñ°ú °Å°ñÀÇ ¹ú¾îÁüÀÌ º¸ÀÌÁö ¾Ê¾Æ ÀδëÀÇ ¾ÈÁ¤¼ºÀÌ È®º¸ µÇ¾úÀ½ º¸¿©ÁØ´Ù(µ¿¿µ»ó 3).


´Ü¼ø¹æ»ç¼±°Ë»ç
ƯÀÌ ¼Ò°ß ¾øÀ½


ÀÚ±â°ø¸í°Ë»ç
½ÃÇà ¾Æ´ÏÇÔ


Ä¡·á
3ÁÖ°£ ºÎ¸ñ °íÁ¤. ±× ÈÄ 6ÁÖ°£ ¹ß¸ñ º¸È£´ë Âø¿ë.



 


¹ß¸ñ ¼Õ»ó ½Ã Àü°Åºñ Àδ밡 °¡Àå ¸¹ÀÌ ¼Õ»óÀ» ¹Þ´Â´Ù´Â »ç½ÇÀº ³Î¸® ¾Ë·ÁÁ® ÀÖ´Ù.


ÃÊÀ½ÆÄ°Ë»ç¸¦ ½ÃÇàÇϸé Àü°ÅºñÀÎ´ë ¼Õ»ó ¿©ºÎ¸¦ ½±°Ô ¾Ë ¼ö ÀÖÁö¸¸ ¼Õ»óÀÇ Á¤µµ°¡ ½ÉÇØ¼­
¹ß¸ñ °íÁ¤ Ä¡·á°¡ ÇÊ¿äÇÑÁö´Â ½±°Ô ¾Ë ¼ö ¾ø´Ù. °Å°ñÀü¹æ°ßÀΰ˻ç(anterior drawer test)¸¦
½ÃÇàÇÏ¿© ¹ß¸ñÀÇ ¾ÈÁ¤¼ºÀ» Æò°¡ ÇÒ ¼ö ÀÖÁö¸¸ ±Þ¼º±â¿¡´Â Á¤È®¼ºÀÌ ¸Å¿ì ¶³¾îÁ® À¯¿ëÇÑ
°Ë»ç°¡ ¾Æ´Ï´Ù.


º»ÀÎÀÌ Ã³À½ Á¦½ÃÇÏ´Â ÃÊÀ½ÆÄÅõ½ÃÇÏ ºÎÇϰ˻ç´Â ÃÊÀ½ÆÄŽÃËÀÚ¸¦ Àü°ÅºñÀδë Á¾´Ü¸é°Ë»ç
¹æ¹ýÀ¸·Î À§Ä¡ÇÏ°í ´Ù¸¥ ¼ÕÀ¸·Î ȯÀÚ °æ°ñÀ» µÚÂÊÀ¸·Î ¹Ð¾î¼­ °æ°ñ°ú °Å°ñÀÌ ¹ú¾îÁö°Ô
ºÎÇϸ¦ °¡Çϸ鼭 °æ°ñ°ú °Å°ñÀÌ ¹ú¾îÁö´Â °ÍÀ» ÃÊÀ½ÆÄ·Î °üÂûÇÏ´Â °Ë»ç¹æ¹ýÀ¸·Î
Àü°ÅºñÀÎ´ë ¾ÈÁ¤¼º À¯Áö ¿©ºÎ¸¦ ÆÇ´ÜÇϴµ¥ ¸Å¿ì À¯¿ëÇÏ´Ù.


°æ°ñÀ» ´©¸£´Â ¹æ¹ý(ù¹øÂ° ±×¸²)°ú  Á¾°ñÀ» ÀÌ¿ëÇÏ¿© °Å°ñÀ» ¾ÕÀ¸·Î ¹Ì´Â ¹æ¹ý(µÎ¹øÂ° ±×¸²)À»
»ç¿ëÇÒ ¼ö ÀÖ´Ù.


 

2049205267_1614fdfa_atf+test+2.jpg

 

2049205267_60e1de00_atf+test3.jpg

 

Àü°ÅºñÀδëÀÇ ¾ÈÁ¤¼ºÀÌ ¼Ò½ÇµÇ¾î °æ°ñ°ú °Å°ñÀÌ ¹ú¾îÁö´Â °æ¿ì ºÎ¸ñ°íÁ¤ µî Àû±ØÀûÀÎ
Ä¡·á°¡ ÇÊ¿äÇÏ´Ù.

 

º» Áõ·ÊÀÇ °æ¿ì ÃÊÀ½ÆÄÀ¯µµÇÏ ºÎÇϰ˻翡¼­ Àü°ÅºñÀÎ´ë ¾ÈÁ¤¼º ¼Ò½ÇÀ» È®ÀÎÇϰí
Àû±ØÀûÀÎ Ä¡·á¸¦ ½ÃÇàÇÏ¿© ¹ß¸ñ°üÀýÀÇ ¾ÈÁ¤¼ºÀ» ȸº¹ÇÑ °æ¿ìÀÌ´Ù.

 

 

À¯»çÁõ·Ê (Áõ·Ê 32~36)

http://cyriax12.hosting2003.co.kr/sub03-02.php?ptype=view&idx=5793&page=6&code=dataroom02



 


 

3ÁÖ ÈÄ ÃßÀû°Ë»ç ¼Ò°ß

 

2049205267_3e3c1f3d_DG+LEE+AN20150318164144143-c.jpg

2049205267_eaf3ba43_DG+LEE+AN20150318164107652-c.jpg

2049205267_b4d46562_DG+LEE+AN20150318164125089-c.jpg

2049205267_79b08170_DG+LEE+AN20150318164126529-c.jpg

 

 


 

9ÁÖ ÈÄ ÃßÀû°Ë»ç

 

2049205267_cc7fc055_DG+LEE+AN20150506101841858-c.jpg

2049205267_aa9d7db7_DG+LEE+AN20150506101854573-c.jpg

2049205267_89a4f199_DG+LEE+AN20150506101859703-c.jpg

2049205267_cfca2257_DG+LEE+AN20150506101903758-c.jpg

2049205267_c1865a6e_DG+LEE+AN20150506101926183-c.jpg

 

 

 

 

ÀÌÀü±Û ¿À±¸µ¹±â°ßºÀÀÎ´ë ¼®È¸È­¿¡ µ¿¹ÝµÈ Ãæµ¹ÁõÈıº, ȸÀü±Ù°³ ÆÄ¿­(rotator cuff tear and impingement syndrome associated with calcific
´ÙÀ½±Û Ȱ¾×¸·¿°¿¡ ÀÇÇÑ ¼Õ¸ñÅͳΠÁõÈıº
       
°¡¸ÍÁ¡¸í : ½Ã¸®¾Ç½ºÁ¤ÇüÀÇÇבּ¸È¸
»ç¾÷ÀÚµî·Ï¹øÈ£ : 894-81-00627 | ´ëÇ¥ÀÚ : ÀåµÎÇõ
 
ÁÖ¼Ò : °æ±âµµ ¾çÆò±º ¿ë¹®¸é ¿ë¹®·Î 375-1, 2Ãþ 1È£
TEL : 010-2323-4055
E-mail : cyriax12@naver.com
ÀԱݾȳ»
±¹¹ÎÀºÇà | ½Ã¸®¾Ç½ºÁ¤ÇüÀÇÇבּ¸È¸(ÁÖ)
220401-04-194155