[¾î±ú] ±Ø»ó°ÇÆÄ¿­¿¡ µ¿¹ÝµÈ ¿À±¸µ¹±âÇÏ Á¡¾×³¶¿° 2
ÀÛ¼ºÀÚ : °ü¸®ÀÚ(khu3265442@naver.com) ÀÛ¼ºÀÏ : 2015-04-04 Á¶È¸¼ö : 3524
ÆÄÀÏ÷ºÎ :

¼ºº° / ³ªÀÌ
¤©


ÁÖÁõ»ó
¤©


º´·Â
¤©


ÀÌÇÐÀû °Ë»ç
¤©


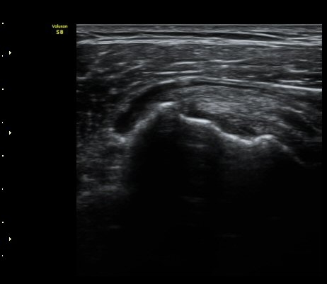
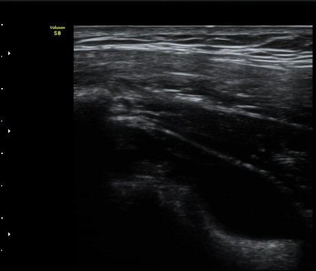
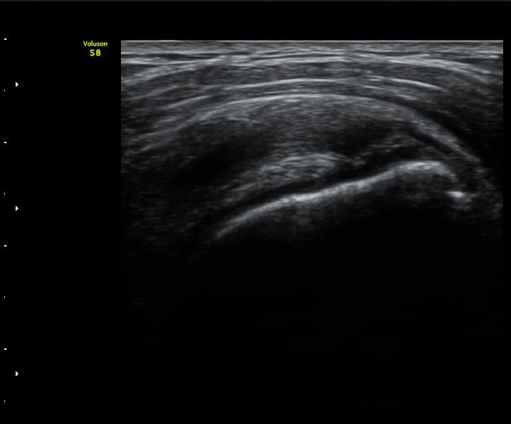
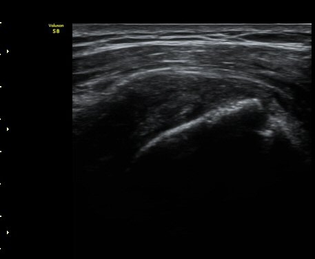
ÃÊÀ½ÆÄ °Ë»ç
¤©


´Ü¼ø¹æ»ç¼±°Ë»ç
¤©


ÀÚ±â°ø¸í°Ë»ç
¤©


Ä¡·á
¤©



 




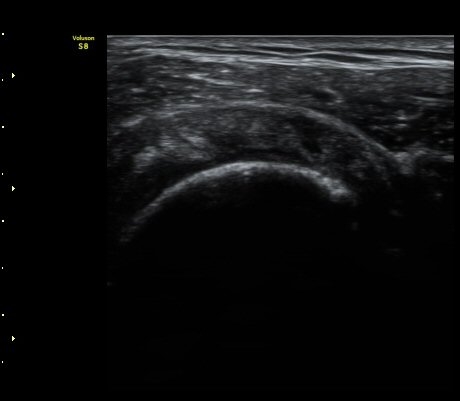
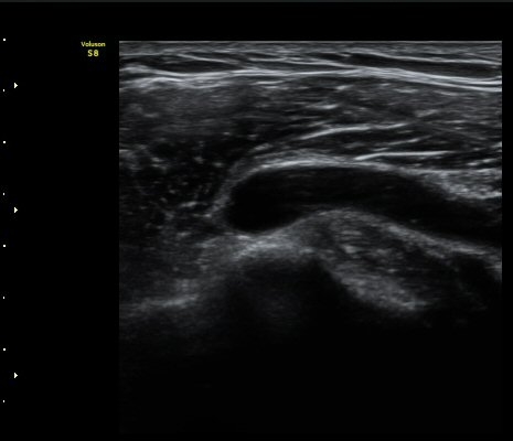
10ÀÏ ÈÄ ÃßÀû°Ë»ç


2049205267_d18eca99_IMG_20140331_2_1-c.jpg

2049205267_ba00cba1_IMG_20140331_2_3-c.jpg

 

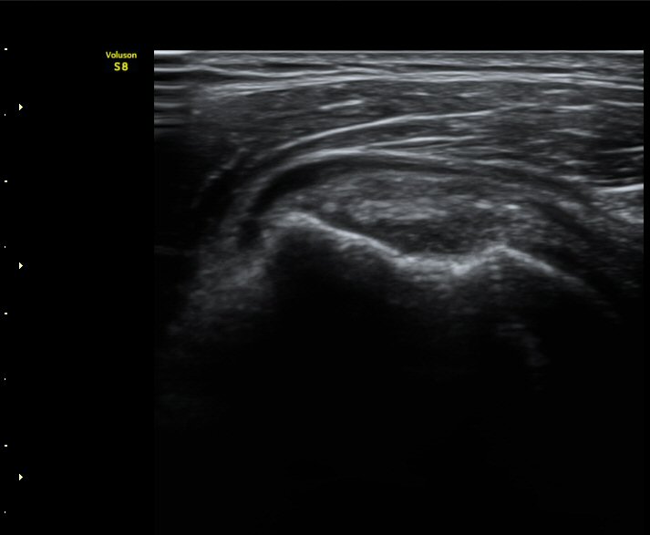
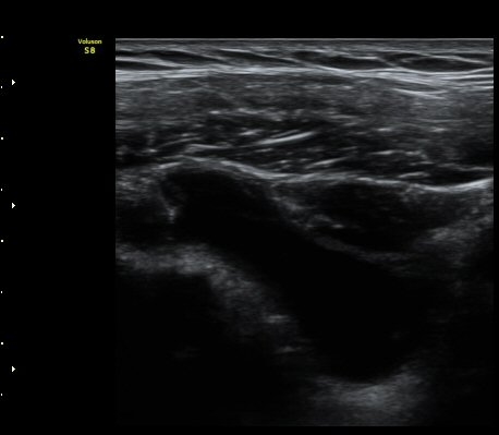
3°³¿ù ÈÄ ÃßÀû°Ë»ç


2049205267_d4912430_US181205109.jpg

2049205267_a5fe3a8a_US181253111.jpg

2049205267_e81a53aa_US181338113.jpg



ÀÌÀü±Û Ȱ¾×¸·¿°¿¡ ÀÇÇÑ ¼Õ¸ñÅͳΠÁõÈıº
´ÙÀ½±Û ±Ø»ó°Ç ÆÄ¿­¿¡ µ¿¹ÝµÈ ¿À±¸µ¹±âÇÏ Á¡¾×³¶¿° ÃÊÀ½ÆÄ ¼Ò°ß ¹× °íÂû
       
°¡¸ÍÁ¡¸í : ½Ã¸®¾Ç½ºÁ¤ÇüÀÇÇבּ¸È¸
»ç¾÷ÀÚµî·Ï¹øÈ£ : 894-81-00627 | ´ëÇ¥ÀÚ : ÀåµÎÇõ
 
ÁÖ¼Ò : °æ±âµµ ¾çÆò±º ¿ë¹®¸é ¿ë¹®·Î 375-1, 2Ãþ 1È£
TEL : 010-2323-4055
E-mail : cyriax12@naver.com
ÀԱݾȳ»
±¹¹ÎÀºÇà | ½Ã¸®¾Ç½ºÁ¤ÇüÀÇÇבּ¸È¸(ÁÖ)
220401-04-194155