[ÆÈ²ÞÄ¡] ÆÈ²ÞÄ¡ Ȱ¾×¸·¿° ÃÊÀ½ÆÄ°Ë»ç ¹× ÁÖ»çÄ¡·á
ÀÛ¼ºÀÚ : °ü¸®ÀÚ(khu3265442@naver.com) ÀÛ¼ºÀÏ : 2015-02-09 Á¶È¸¼ö : 3945
ÆÄÀÏ÷ºÎ : [mix]HGKWAK20150131114538673.avi

¼ºº° / ³ªÀÌ
³²ÀÚ/ 51¼¼


ÁÖÁõ»ó
¾çÃø ÆÈ²ÞÄ¡ °üÀý ÅëÁõ(±â°£ 1ÁÖÀÏ)


º´·Â
³»¿ø 1ÁÖÀü ºÎÅÍ ¶Ñ·ÈÇÑ ÀÌÀ¯ ¾øÀÌ ÆÈ²ÞÄ¡ ÅëÁõÀÌ ¹ß»ý.


ÀÌÇÐÀû °Ë»ç
¾çÃø ÆÈ²ÞÄ¡¿¡ ½ÅÀü°ú ±¼°îÀÇ °æ¹ÌÇÑ Á¦ÇÑÀ» º¸ÀÓ. ÀúÇ× °Ë»ç¿¡¼­´Â ƯÀÌ ¼Ò°ßÀ» º¸ÀÌÁö ¾ÊÀ½.


ÃÊÀ½ÆÄ °Ë»ç
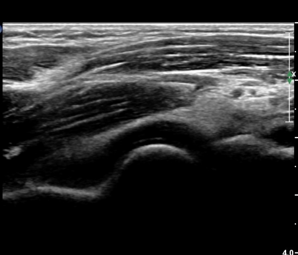
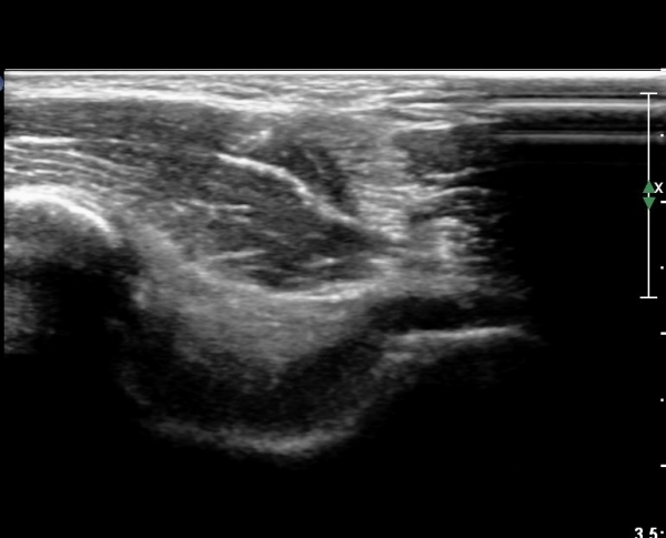
ÆÈ²ÞÄ¡ µÚÂÊ Á¾´Ü¸é°Ë»ç¿Í Ⱦ´Ü¸é°Ë»ç¿¡¼­ ÁֵοÍ(olecranon fossa)¿¡ ¼ö¾×Àú·ù°¡ °üÂûµÊ(»çÁø 1, 2)


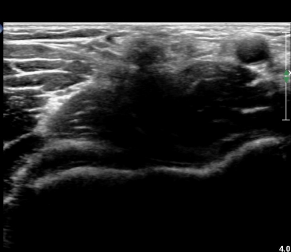
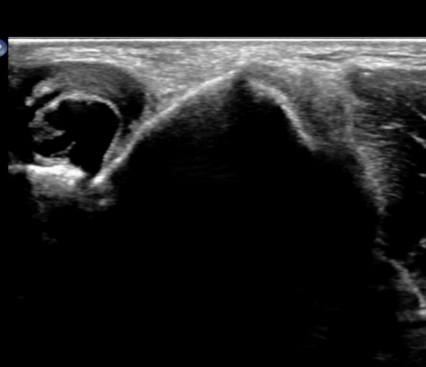
ÆÈ²ÞÄ¡ ¾ÕÂÊ ¿ÜÃø, ¼ÒµÎ(capitulum) Á¾´Ü¸é°Ë»ç¿¡¼­ ¼ÒµÎ Àü¸éºÎ¿Í ¿ä°ñµÎ Àü¸é¿¡ ¼ö¾×Àú·ù°¡ °üÂûµÊ(»çÁø 3, 4).


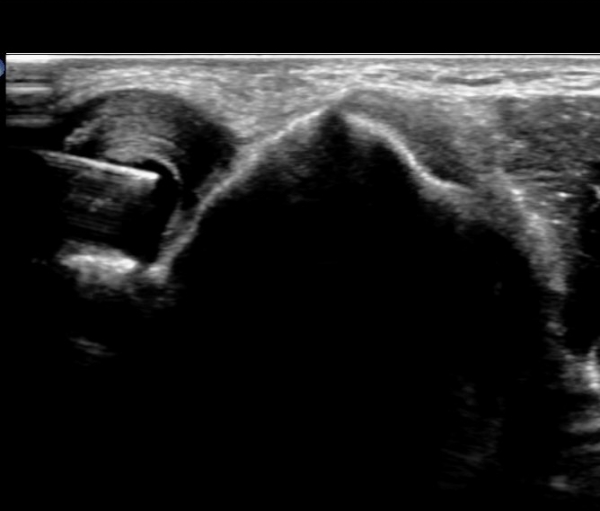
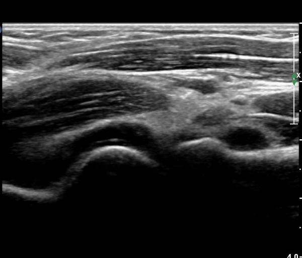
¼ÒµÎ Ⱦ´Ü¸é°Ë»ç¿¡¼­µµ ¼ÒµÎ Àü¸é¿¡ ¼ö¾×Àú·ù°¡ °üÂûµÊ(»çÁø 5).


Áֵοͳ» ÁÖ»çÄ¡·á¸¦ À§ÇØ È¯ÀÚ¸¦ ¿·À¸·Î ´¯°ÔÇÏ°í ÆÈ²ÞÄ¡¸¦ Æí »óÅ¿¡¼­ ¸ö ¿·¿¡ ÆÈÀ» ´ë°í ŽÃËÀÚ¸¦

ÁֵοͿ¡ ȾÀ¸·Î ´í »óÅ¿¡¼­ ¼ö¾×Àú·ù°¡ °¡Àå Àß º¸ÀÌ°í ¼ö¾× Àú·ù¿¡ Áֻ簡 °¡´ÉÇÑ À§Ä¡¿¡¼­

¼ö¾×Àú·ù¸¦ È®ÀÎÇÑ´Ù(»çÁø 6)


»çÁø 8, 9)ÀÇ ÀÚ¼¼¿¡¼­ Ãà¹æÇâ ¹æ¹ýÀ¸·Î ¼ö¾×³»¿¡ Áֻ縦 ½ÃÇàÇÑ´Ù(»çÁø 7, ÷ºÎ µ¿¿µ»ó)


´Ü¼ø¹æ»ç¼±°Ë»ç
ƯÀÌ ¼Ò°ß ¾øÀ½


ÀÚ±â°ø¸í°Ë»ç


Ä¡·á
ÆÈ²ÞÄ¡ °üÀý³» Æ®¸®¾Ï½Ã³î·Ð 20mg °üÀý³» ÁÖ»ç



 


¤©

ÀÌÀü±Û ´ëÀüÀÚ Á¡¾×³¶¿°
´ÙÀ½±Û ¼Õ¹Ù´Ú Á¾±«¿¡ ÀÇÇÑ ¼ö±Ù°üÁõÈıº À¯»çÇÑ Áõ»óÀ» º¸ÀÌ´Â Áõ·Ê
       
°¡¸ÍÁ¡¸í : ½Ã¸®¾Ç½ºÁ¤ÇüÀÇÇבּ¸È¸
»ç¾÷ÀÚµî·Ï¹øÈ£ : 894-81-00627 | ´ëÇ¥ÀÚ : ÀåµÎÇõ
 
ÁÖ¼Ò : °æ±âµµ ¾çÆò±º ¿ë¹®¸é ¿ë¹®·Î 375-1, 2Ãþ 1È£
TEL : 010-2323-4055
E-mail : cyriax12@naver.com
ÀԱݾȳ»
±¹¹ÎÀºÇà | ½Ã¸®¾Ç½ºÁ¤ÇüÀÇÇבּ¸È¸(ÁÖ)
220401-04-194155