[¼Õ¸ñ] ¼Õ¹Ù´Ú Á¾±«¿¡ ÀÇÇÑ Ã´°ñ½Å°æ ½ÉºÎ°¡Áö ¸¶ºñ
ÀÛ¼ºÀÚ : °ü¸®ÀÚ(khu3265442@naver.com) ÀÛ¼ºÀÏ : 2014-12-16 Á¶È¸¼ö : 3872
ÆÄÀÏ÷ºÎ :

¼ºº° / ³ªÀÌ
³²ÀÚ/ 43¼¼


ÁÖÁõ»ó
4,5 ¼Õ°¡¶ô°ú ¼ÒÁö±¸ Àú¸²9±â°£ : 1³â ¹Ý)


º´·Â
1³â ¹Ý ÀüºÎÅÍ 4,5 ¼Õ°¡¶ôÀÌ Àú·ÈÀ¸³ª Ä¡·á ¾øÀÌ Áö³»´ø Áß ¾Ö±â°¡ ¼ÕÀ» ¹âÀº ÈÄ Àú¸²ÁõÀÌ ½ÉÇØÁ® ³»¿ø


ÀÌÇÐÀû °Ë»ç
±Ù·Â : Á¤»ó ¹üÀ§, 4,5 ¼Õ°¡¶ô °¨°¢ °¨¼Ò, ¼Õ¹Ù´Ú ½ÉÇÑ ¾ÐÅë(+)


ÃÊÀ½ÆÄ °Ë»ç
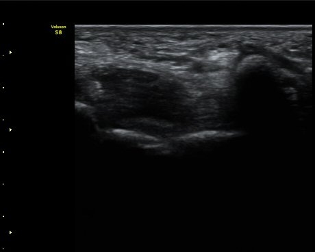
¼Õ¹Ù´Ú ºÎÀ§ Á¤Á߽Űæ Á¾´Ü¸é°Ë»ç¿¡¼­ Á¤Áß½É°æ ½ÉºÎ¿¡ µÕ±Ù Àú¿¡ÄÚ Á¾±«°¡ °üÂûµÈ´Ù(»çÁø 1).


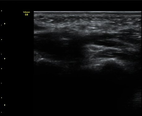
Äá¾Ë»À(pisiform) ºÎÀ§ ô°ñ½Å°æ Ⱦ´Ü¸é°Ë»ç¿¡¼­ Á¤Á߽Űæ°ú ô°ñ½Å°æÀÌ Á¤»óÀûÀÎ ¸ð½ÀÀ¸·Î
°üÂûµÈ´Ù(»çÁø 2).


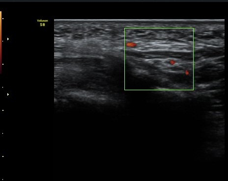
ŽÃËÀÚ¸¦ ¸»´ÜÀ¸·Î À̵¿ÇÏ´Ï °¥°í¸®»À ³»Ãø¿¡¼­ Ç¥Ãþ°¨°¢½Å°æ°ú ½ÉºÎ¿îµ¿½Å°æÀÌ °üÂûµÈ´Ù(»çÁø 3).


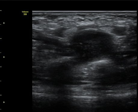
ŽÃËÀÚ¸¦ Á¶±Ý ´õ ¸»´ÜÀ¸·Î À̵¿ÇÏ´Ï Ã´°ñ½Å°æ ½ÉºÎ¿îµ¿°¡ÁöÀÇ ºÎÁ¾ÀÌ °üÂûµÇ°í ½Å°æ ¿äÃøÀ¸·Î Àú¿¡ÄÚ
¿øÇüÀÇ Á¾±«°¡ °üÂûµÈ´Ù(»çÁø 4, 5).


ŽÃËÀÚ¸¦ Á¾±«ÀÇ Á¾´Ü¸éÀ¸·Î À§Ä¡ÇÏ´Ï ÀÌÁúÀûÀÎ ¿¡ÄÚ¸¦ º¸À̴ Ÿ¿øÇüÀÇ Á¾±«°ú °üÂûµÇ°í
Á¾±« Ç¥ÃþÀ¸·Î Á¤Áß½Å°æ °¡Áö°¡ °üÂûµÈ´Ù.
ô°ñ½Å°æ ½ÉºÎ¿îµ¿°¡Áö´Â Á¾±«ÀÇ ½ÉÃþ¿¡ À§Ä¡ÇÒ °ÍÀ¸·Î ÆÇ´ÜµÇ´Âµ¥ ±¸ºÐµÇÁö ¾Ê´Â´Ù(»çÁø 6).


´Ü¼ø¹æ»ç¼±°Ë»ç


ÀÚ±â°ø¸í°Ë»ç


Ä¡·á
Àü¿ø



 



7.jpg

ô°ñ½Å°æ ½ÉºÎ¿îµ¿°¡Áö ¸¶ºñ¿¡ ´ëÇÑ º¸°í¿¡¼­ ´ëºÎºÐ ¼Õ¹Ù´Ú Äá¾Ë»À ºÎÀ§ÀÇ °úµµÇÑ Àڱؿ¡ ÀÇÇÑ
¿øÀÎÀº º¸°íµÇ¾úÁö¸¸(»çÁø 7, ¾Æ·¡ ³í¹®) º» Áõ·Ê¿Í °°ÀÌ Á¾¾ç¿¡ ÀÇÇÑ °æ¿ì´Â ¸Å¿ì µå¹°´Ù


Neurophysiol Clin. 2010 Jun;40(3):159-64. doi: 10.1016/j.neucli.2010.01.005. Epub 2010 Feb 17.


Lesion of the deep palmar branch of the ulnar nerve: causes and clinical outcome.

ÀÌÀü±Û ¼Õ¹Ù´Ú Á¾±«¿¡ ÀÇÇÑ ¼ö±Ù°üÁõÈıº À¯»çÇÑ Áõ»óÀ» º¸ÀÌ´Â Áõ·Ê
´ÙÀ½±Û ¿ä°ñ½Å°æ Èİñ°£½Å°æ°¡Áö ¸¶ºñ(PN of posterior interosseous branch of radial nerve)
       
°¡¸ÍÁ¡¸í : ½Ã¸®¾Ç½ºÁ¤ÇüÀÇÇבּ¸È¸
»ç¾÷ÀÚµî·Ï¹øÈ£ : 894-81-00627 | ´ëÇ¥ÀÚ : ÀåµÎÇõ
 
ÁÖ¼Ò : °æ±âµµ ¾çÆò±º ¿ë¹®¸é ¿ë¹®·Î 375-1, 2Ãþ 1È£
TEL : 010-2323-4055
E-mail : cyriax12@naver.com
ÀԱݾȳ»
±¹¹ÎÀºÇà | ½Ã¸®¾Ç½ºÁ¤ÇüÀÇÇבּ¸È¸(ÁÖ)
220401-04-194155