[¾î±ú] ȸÀü±Ù°³ ÆÄ¿­ ¼ö¼ú ÈÄ ÀçÆÄ¿­ µÈ ÃÊÀ½ÆÄ ¼Ò°ß, Ä¡·á ÈÄ °æ°ú
ÀÛ¼ºÀÚ : °ü¸®ÀÚ(khu3265442@naver.com) ÀÛ¼ºÀÏ : 2014-11-04 Á¶È¸¼ö : 4449
ÆÄÀÏ÷ºÎ : [mix]IMG_20141101_1_18.avi

¼ºº° / ³ªÀÌ
³²ÀÚ/ 47¼¼


ÁÖÁõ»ó
¾î±ú ÅëÁõ ÀÌ ½ÉÇØÁö°í ¿Ã¶ó°¡Áö ¾ÊÀ½(±¼°îÀÌ ¾ÈµÊ)


º´·Â
³»¿ø 3°³¿ù Àü ȸÀü±Ù°³ ÆÄ¿­·Î ºÀÇÕ¼ú ¹ÞÀº ÈÄ ¼öµ¿Àû °üÀý ¿îµ¿.
¿îÀüÇϸ鼭 °¡²û ¼ö¼úÇÑ ÆÈÀ» º¸Á¶ÀûÀ¸·Î »ç¿ë
¼ö¼ú 3°³¿ù° °©Àڱ⠾î±úÀÇ ÅëÁõÀÌ ½ÉÇØÁö°í ±¼°îÀÌ ¾ÈµÊ


ÀÌÇÐÀû °Ë»ç
¼öµ¿Àû ¾î±ú±¼°î 130µµ, ´Éµ¿Àû ¾î±ú±¼°î 100µµ, ¼öµ¿Àû ¿ÜȸÀü 50µµ


ÃÊÀ½ÆÄ °Ë»ç
À̵ιڱ٠Ⱦ´Ü¸é°Ë»ç¿¡¼­ °üÀý³» ¼ö¾×Àú·ù´Â °üÂûµÇÁö ¾Ê´Â´Ù(»çÁø 1)


°ß°©ÇÏ±Ù°Ç Á¾´Ü¸é°Ë»ç¿¡¼­ ÀÌ»ó ¼Ò°ßÀ» º¸ÀÌÁö ¾Ê´Â´Ù(»çÁø 2)


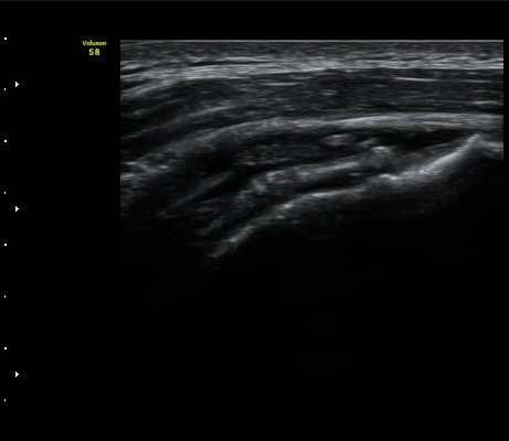
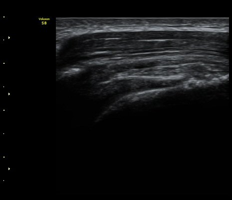
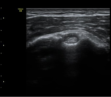
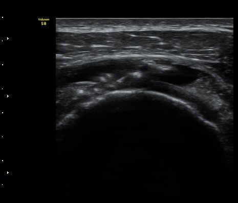
±Ø»ó°Ç Á¾´Ü¸é°Ë»ç¿¡¼­ ±Ø»ó°ÇÀÇ ÀüÃþÆÄ¿­°ú ±Ø»ó°ÇÀ» ¿¬°áÇÑ ºÀÇջ簡 Á÷¼± À¸·Î °üÂûµÈ´Ù(»çÁø 3, 4)


ÀϺΠ±Ø»ó°Ç Á¾´Ü¸é°Ë»ç¿¡¼­ ±Ø»ó°ÇÀÇ ÀüÃþÆÄ¿­°ú ±Ø»ó°Ç¸¦ ¿¬°áÇÑ ºÀÇջ簡 ±¸ºÒ±¸ºÒ(tortous)ÇϰÔ

°üÂûµÇ¾î ºÀÇÕ»ç ÆÄ¿­À» ½Ã»çÇÑ´Ù(»çÁø 5, 6).


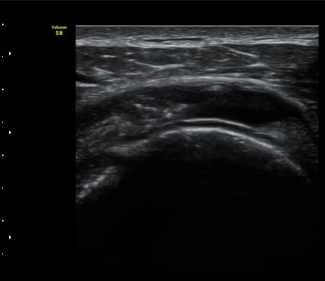
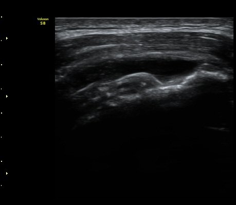
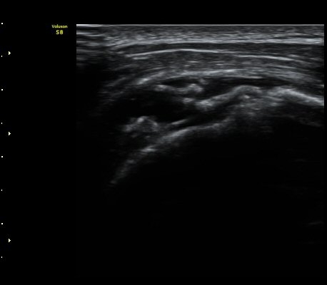
±Ø»ó°Ç Ⱦ´Ü¸é°Ë»ç¿¡¼­ ºÎºÐÀûÀÎ ±Ø»ó°Ç ÀüÃþÆÄ¿­°ú ºÀÇջ簡 °üÂûµÈ´Ù(»çÁø 7, 8)


°ßºÀ ¿ÜÃø¿¡ ŽÃËÀÚ¸¦ ´ë°í ¾î±ú ¿ÜÀü ½Ã ´ë°áÀý ¿òÁ÷ÀÓÀ» °üÂûÇÏ´Ï ¿ÜÀü ½Ã ´ë°áÀýÀÌ °ßºÀ¾Æ·¡·Î
À̵¿ÇÏÁö ¸øÇÏ¿© ±Ø»ó°Ç ±â´É ºÎÀüÀ» ½Ã»çÇÑ´Ù(÷ºÎ µ¿¿µ»ó)


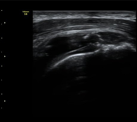
3°³¿ù ÈÄ ÃßÀû°Ë»ç¿¡¼­ ±Ø»ó°Ç³» ¼ö¾×Àú·ù°¡ °¨¼ÒµÇ°í ÀÌÀüº¸´Ù ±Ø»ó°ÇÀÌ °í¿¡ÄÚ·Î °üÂûµÈ´Ù(»çÁø 9, 10).


´Ü¼ø¹æ»ç¼±°Ë»ç
¤·


ÀÚ±â°ø¸í°Ë»ç
¤·


Ä¡·á
°üÀý³»ÁÖ»çÄ¡·á. ÀçȰ ¿îµ¿Ä¡·á



 


2°³¿ù ÀçȰġ·á °á°ú ÆÈÀÌ ´Ù½Ã ¿Ã¶ó°¡°í ±â´ÉÀûÀ¸·Î »ç¿ëÇÏ´Â »óÅ·ΠȣÀüµÇ¾ú´Ù.

ȸÀü±Ù°³°¡ ½ÉÇÏ°Ô ÆÄ¿­µÇ¾î ¼ö¼ú ½Ã ȸÀü±Ù°³¸¦  ´ç°Ü¼­ ´ë°áÀý¿¡ °íÁ¤½ÃŰÁö ¸øÇϰųª

¼ö¼ú ÈÄ ÆÄ¿­µÇ´Â °æ¿ì¿¡µµ ÀϺΠ±Ø»ó°Ç¸¸ ±â´ÉÀ» ÇÏ¸é ´ëºÎºÐ ¾çÈ£ÇÑ È£ÀüÀ» º¸ÀδÙ.

ÀÌÀü±Û ¿ä°ñ½Å°æ Èİñ°£½Å°æ°¡Áö ¸¶ºñ(PN of posterior interosseous branch of radial nerve)
´ÙÀ½±Û ¾î²² °üÀý Å»±¸¿¡ ÀÇÇÑ È¸Àü±Ù°³ ÆÄ¿­·Î ¾î±ú¸¦ ¸ø ¿Ã¸®´Â Áõ·Ê
       
°¡¸ÍÁ¡¸í : ½Ã¸®¾Ç½ºÁ¤ÇüÀÇÇבּ¸È¸
»ç¾÷ÀÚµî·Ï¹øÈ£ : 894-81-00627 | ´ëÇ¥ÀÚ : ÀåµÎÇõ
 
ÁÖ¼Ò : °æ±âµµ ¾çÆò±º ¿ë¹®¸é ¿ë¹®·Î 375-1, 2Ãþ 1È£
TEL : 010-2323-4055
E-mail : cyriax12@naver.com
ÀԱݾȳ»
±¹¹ÎÀºÇà | ½Ã¸®¾Ç½ºÁ¤ÇüÀÇÇבּ¸È¸(ÁÖ)
220401-04-194155