[¾î±ú] ¿Ü»ó ÈÄ È¸Àü±Ù°³ ÆÄ¿­ ¾ÇÈ­¿¡ ÈñÇØ ¾î±ú°¡ ¾È¿Ã¶ó°¡´Â °æ¿ì
ÀÛ¼ºÀÚ : °ü¸®ÀÚ(khu3265442@naver.com) ÀÛ¼ºÀÏ : 2014-10-16 Á¶È¸¼ö : 4775
ÆÄÀÏ÷ºÎ :

¼ºº° / ³ªÀÌ
³²ÀÚ/64¼¼


ÁÖÁõ»ó
¿ìÃø ¾î±úÀÇ ÅëÁõ ¹× ¾È¿Ã¶ó°¨


º´·Â
³»¿ø 1ÀÏ Àü ÀÚÀü°Å Ÿ°í °¡´Ù°¡ ³Ñ¾îÁø ÈÄ ¾î±úÀÇ ÅëÁõÀÌ ÀÖ°í ¾î±ú¸¦ ¿Ã¸± ¼ö ¾ø´Ù.


ÀÌÇÐÀû °Ë»ç
¼öµ¿Àû ¾î²² ±¼°îÀº ¾à 160µµ À̳ª ´Éµ¿Àû ¾î±ú ±¼°îÀº 30µµ·Î Á¦ÇÑ,
ÀúÇ׿¡ ´ëÇÑ ¿ÜÀü°ú ¿ÜȸÀü ½Ã ÅëÁõ°ú ±Ù¾àÁõÀ» º¸ÀÓ


ÃÊÀ½ÆÄ °Ë»ç
À̵Π¹Ú±Ù°Ç Ⱦ´Ü¸é°Ë»ç¿¡¼­ ƯÀÌ ¼Ò°ßÀ» º¸ÀÌÁö ¾ÊÀ½(»çÁø 1)

°ß°©ÇÏ±Ù°Ç Á¾´Ü¸é°Ë»ç¿¡¼­ ƯÀÌ ¼Ò°ßÀ» º¸ÀÌÁö ¾ÊÀ½(»çÁø 2, 3)

±Ø»ó°Ç ³»Ãø Á¾´Ü¸é°Ë»ç¿¡¼­ ƯÀÌ ¼Ò°ßÀ» º¸ÀÌÁö ¾ÊÀ¸³ª(»çÁø 4)

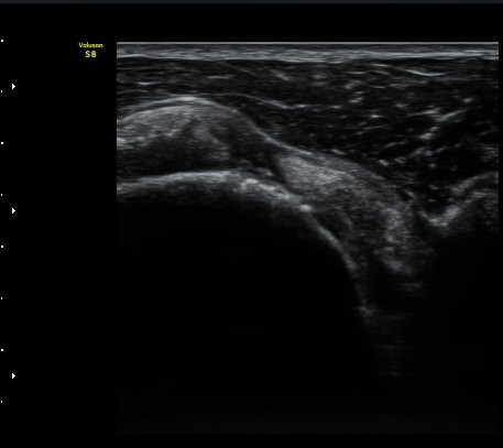
±Ø»ó°Ç ¿ÜÃø Á¾´Ü¸é°Ë»ç¿¡¼­ ±Ø»ó°Ç ºÎÂøºÎ Àú¿¡ÄÚ °á¼Õ°ú ´ë°áÀýÀÇ ºÒ±ÔÄ¢º¯È­°¡ °üÂûµÊ(»çÁø 5)

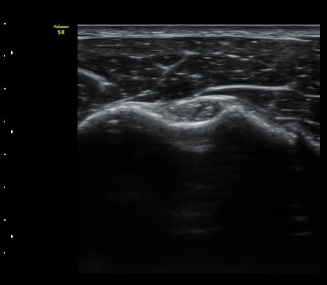
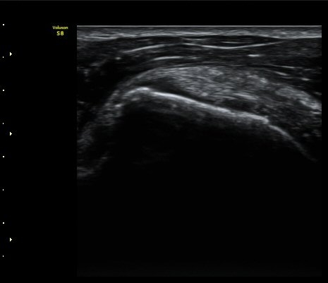
±Ø»ó°Ç ±ÙÀ§ºÎ Ⱦ´Ü¸é°Ë»ç¿¡¼­ ±Ø»ê°Ç ¿ÜÃøºÎÀÇ Àú¿¡ÄÚ ºÎÁ¾ÀÌ °üÂûµÇ°í(»çÁø 6)

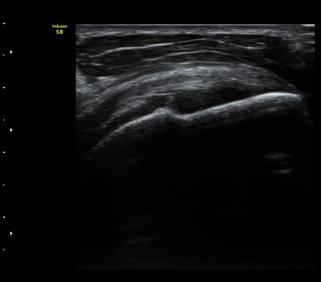
±Ø»ó°Ç ¸»´ÜºÎ¿Í ºÎÂøºÎ¿¡¼­ ÈûÁÙÀÇ ±¹¼ÒÀû Àú¿¡ÄÚ °á¼ÕÀÌ °üÂûµÈ´Ù(»çÁø 7, 8).


´Ü¼ø¹æ»ç¼±°Ë»ç
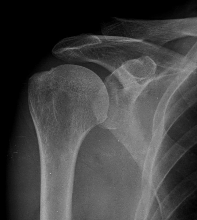
´ë°áÀý Ç¥¸é¿¡ ¹Ì¼¼ÇÑ ¿ïÅüºÒÅüÇÔÀÌ °üÂûµÊ(»çÁø 10)


ÀÚ±â°ø¸í°Ë»ç
½ÃÇàÇÏÁö ¾ÊÀ½


Ä¡·á
ÆÈ°ÉÀÌ, ¾à¹°Ä¡·á, ¹°¸®Ä¡·á



 


 

9.jpg

¾î±ú¸¦ ´ÙÄ£ ÈÄ º» ¾î±ú°¡ ¾È ¿Ã¶ó°¡´Â °æ¿ì ȸÀü±Ù°³ÆÄ¿­, ´ë°áÀý °ß¿­°ñÀý, ½Å°æ¼Õ»ó, ´Ü¼øÇÑ ÅëÁõ µî
¿øÀÎÀ» ÃßÁ¤ÇÒ ¼ö ÀÖ´Ù.
º» Áõ·ÊÀÇ °æ¿ì ÃÊÀ½ÆÄ°Ë»ç»ó ȸÀü±Ù°³ ÆÄ¿­ÀÌ È®ÀεǾî ȸÀü±Ù°³ ÆÄ¿­¿¡ ÀÇÇØ ¾î±ú°¡ ¾È¿Ã¶ó°¡´Â
°ÍÀ¸·Î ÆÇ´Ü ÇÒ ¼ö ÀÖ´Ù. ±×·¯³ª Ä¡·á 1ÁÖ ÈÄ ºÎÅÍ ¾î±ú°¡ ¿Ã¶ó°¡±â ½ÃÀÛ ÇÏ°í ¾à 2ÁÖ ÈÄ ¾î±ú°¡
¾à 160µµ ¿Ã¸®´Â °ÍÀÌ °¡´ÉÇÏ¿´´Âµ¥ ÀÌ·¸°Ô ºü¸¥ °æ°ú¸¦ º¸ÀÌ´Â °æ¿ì¿¡´Â  À̹ø ¼Õ»ó¿¡ ÀÇÇØ
ȸÀü±Ù°³°¡ ÆÄ¿­ µÇ¾úÀ» °¡´É¼º º¸´Ù´Â  ±âÁ¸¿¡ ÆÄ¿­ÀÌ ÀÖ´ø ¾î±ú¿¡ ÀÌÂ÷ÀûÀÎ ¼Õ»óÀÌ °¡ÇØÁ³À»
°¡´É¼ºÀÌ ³ô´Ù.
¹æ»ç¼±»çÁø°ú ÃÊÀ½ÆÄ »çÁø 6) 9)¿¡¼­ º¸ÀÌ´Â ´ë°áÀýÀÇ ¿ïÅüºÒÅüÇÑ ¸ð½Àµµ ±Ø»ó°Ç ÆÄ¿­À» ½Ã»çÇØ ÁØ´Ù.

ÀÌÀü±Û ¾î²² °üÀý Å»±¸¿¡ ÀÇÇÑ È¸Àü±Ù°³ ÆÄ¿­·Î ¾î±ú¸¦ ¸ø ¿Ã¸®´Â Áõ·Ê
´ÙÀ½±Û ´ë°áÀý °ß¿­°ñÀý ÃÊÀ½ÆÄ¼Ò°ß(sonographic findings of avulsion fracture of greater tuberosity)
       
°¡¸ÍÁ¡¸í : ½Ã¸®¾Ç½ºÁ¤ÇüÀÇÇבּ¸È¸
»ç¾÷ÀÚµî·Ï¹øÈ£ : 894-81-00627 | ´ëÇ¥ÀÚ : ÀåµÎÇõ
 
ÁÖ¼Ò : °æ±âµµ ¾çÆò±º ¿ë¹®¸é ¿ë¹®·Î 375-1, 2Ãþ 1È£
TEL : 010-2323-4055
E-mail : cyriax12@naver.com
ÀԱݾȳ»
±¹¹ÎÀºÇà | ½Ã¸®¾Ç½ºÁ¤ÇüÀÇÇבּ¸È¸(ÁÖ)
220401-04-194155