[ôÃß] °¥ºñ»À °ñÀý ÃÊÀ½ÆÄ°Ë»ç, Ç÷ÈäÀ» º¸ÀÎ Áõ·Ê
ÀÛ¼ºÀÚ : °ü¸®ÀÚ(khu3265442@naver.com) ÀÛ¼ºÀÏ : 2014-10-09 Á¶È¸¼ö : 11433
ÆÄÀÏ÷ºÎ : [mix]IMG_20141008_1_11.avi

¼ºº° / ³ªÀÌ
³²ÀÚ/55


ÁÖÁõ»ó
ÁÂÃø Èä°ûºÎ ÅëÁõ(2ÀÏ)


º´·Â
2ÀÏ Àü ³Ñ¾î Áø ÈÄ ¿·±¸¸® ÅëÁõÀÌ ¹ß»ýÇÏ¿´À¸³ª Âü°í Áö³»´Ù°¡ ÅëÁõÀÌ °è¼ÓµÇ¾î ³»¿ø


ÀÌÇÐÀû °Ë»ç
ÁÂÃø ÇϺΠÈä°ûºÎ¿¡ ¾ÐÅëÀÌ ½ÉÇϰí ÇÇÇÏ ÃâÇ÷ÀÌ °üÂûµÊ


ÃÊÀ½ÆÄ °Ë»ç

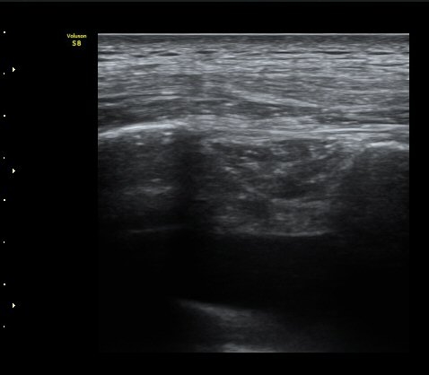
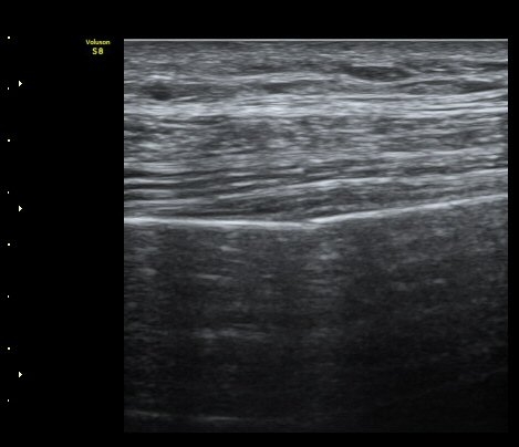
¹Ì¼¼ÇÏ°Ô °¥ºñ»À ÇÇÁú°ñ ¿¬°á¼º ¼Ò½Ç°ú ¿¬ºÎÁ¶Á÷ ºÎÁ¾ÀÌ °üÂûµÊ (loss of cortical continuity and soft tissue swelling of rib) »çÁø 1


°¥ºñ»À ÇÇÁú°ñ ¿¬°á¼º ¼Ò½Ç°ú ¾à°£ÀÇ ÀüÀ§, ¿¬ºÎÁ¶Á÷ ºÎÁ¾ÀÌ °üÂûµÊ (loss of cortical continuity and soft tissue swelling of rib)  »çÁø 2


°¥ºñ»À °ñÀý ÈÄ Å« ÀüÀ§°¡ °üÂûµÊ(fracture with displacement) »çÁø 3


±¤¹è±Ù ½ÉºÎ¿¡ °¥ºñ»À»çÀ̱ÙÀÌ °üÂûµÇ°í °¥ºñ»À»çÀٰ̱ú Æó»çÀÌ¿¡ ¼ö¾×Àú·ù°¡
°üÂûµÊ(intercostal muscle deep to latissimus dorsi, fluid accumulation between intercostal muscle and lung)   »çÁø 4


°¥ºñ»À »çÀÌ¿¡ °¥ºñ»À»çÀ̱ÙÀÌ °üÂûµÇ°í °¥ºñ»À»çÀٰ̱ú Æó»çÀÌ¿¡ ¼ö¾×Àú·ù°¡
°üÂûµÊ (intercostal muscle between ribs,  fluid accumulation between intercostal muscle and lung) »çÁø 5    µ¿¿µ»ó


´Ü¼ø¹æ»ç¼±°Ë»ç
¹ø ´Á°ñ°ñÀýÀÌ È®ÀÓµÊ. ÁÂÃø Æó ÇϺΠ´ÁȾ°Ý°¢(costophrenic angle) ¹¶ÅöÇÔÀÌ º¸ÀÓ


ÀÚ±â°ø¸í°Ë»ç


Ä¡·á
Àü¿ø



 


v
°ñ°Ý°èÃÊÀ½ÆÄ°Ë»ç´Â °¥ºñ»ÀÀÇ ¹Ì¼¼°ñÀýÀÇ Áø´Ü »Ó ¾Æ´Ï¶ó, °ñÀýµÈ °¥ºñ»ÀÀÇ ÀüÀ§ Á¤µµ,

°ñÀý¿¡ ÀÇÇÑ Ç÷ÈäÀ̳ª ±âÈäÀÇ Áø´Ü¿¡ ÀÌ¿ëÇÒ ¼ö ÀÖ´Ù. 

ÀÌÀü±Û °¥ºñ »À ¹Ì¼¼ °ñÀý ÃÊÀ½ÆÄ ¼Ò°ß 1
´ÙÀ½±Û ¿ä°ñ°üÁõÈıº(radial tunnel syndrome) ÃÊÀ½ÆÄ°Ë»ç ¼Ò°ß
       
°¡¸ÍÁ¡¸í : ½Ã¸®¾Ç½ºÁ¤ÇüÀÇÇבּ¸È¸
»ç¾÷ÀÚµî·Ï¹øÈ£ : 894-81-00627 | ´ëÇ¥ÀÚ : ÀåµÎÇõ
 
ÁÖ¼Ò : °æ±âµµ ¾çÆò±º ¿ë¹®¸é ¿ë¹®·Î 375-1, 2Ãþ 1È£
TEL : 010-2323-4055
E-mail : cyriax12@naver.com
ÀԱݾȳ»
±¹¹ÎÀºÇà | ½Ã¸®¾Ç½ºÁ¤ÇüÀÇÇבּ¸È¸(ÁÖ)
220401-04-194155