[ÆÈ²ÞÄ¡] ³¶Á¾¿¡ ÀÇÇÑ ¿ä°ñ½Å°æ Èİñ°£½Å°æ ºÐÁö º´Áõ
ÀÛ¼ºÀÚ : °ü¸®ÀÚ(khu3265442@naver.com) ÀÛ¼ºÀÏ : 2014-05-19 Á¶È¸¼ö : 3921
ÆÄÀÏ÷ºÎ :

¼ºº° / ³ªÀÌ
³²ÀÚ/42


ÁÖÁõ»ó
¾à ÇÑ´Þ Àü ºÎÅÍ °©Àڱ⠼հ¡¶ôÀÌ ÆìÁöÁö ¾Ê´Â´Ù


º´·Â
°©Àڱ⠼հ¡¶ôÀÌ ÆìÁöÁö ¾Ê¾ÒÁö¸¸ Ä¡·á ¾øÀÌ Áö³»´Ù°¡ È£ÀüµÇÁö ¾Ê¾Æ Ÿº´¿ø ³»¿ø ÈÄ ±ÙÀüµµ ÀÇ·ÚµÊ


ÀÌÇÐÀû °Ë»ç
¼Õ°¡¶ô Æì±â°¡ T Á¤µµ·Î ¾àÈ­µÇ¾úÀ¸³ª ¼Õ¸ñ½ÅÀüÀº Á¤»ó¹üÀ§ ÀÌ°í °¨°¢ ÀÌ»óÀº ¾ø¾ú´Ù. ½ÉºÎ°Ç¹Ý»ç´Â Á¤»óÀÌ°í º´Àû¹Ý»ç´Â °üÂûµÇÁö ¾Ê¾Ò´Ù.


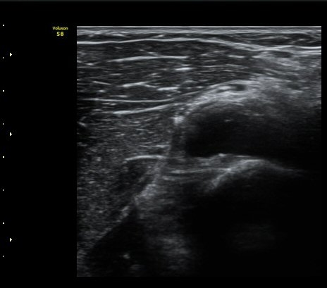
ÃÊÀ½ÆÄ °Ë»ç
¼ÒµÎ Ⱦ´Ü¸é°Ë»ç¿¡¼­ ¿ä°ñ½Å°æ Èİñ°£½Å°æÀÌ Á¤»óÀûÀ¸·Î °í³ªÂûµÈ´Ù(±×¸² 1).

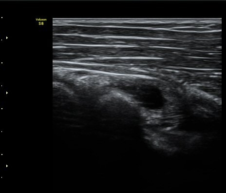
ŽÃËÀÚ¸¦ ¿ä°ñµÎ ºÎÀ§·Î À̵¿ÇÏ´Ï ¿ä°ñµÎ Ç¥Ãþ¿¡ Àú¿¡ÄÚ ³¶Á¾ÀÌ °üÂûµÇ°í ³¶Á¾ÀÇ ¿ÜÃø¿¡¼­

Èİñ°£½Å°æÀÌ ¾Ð¹ÚµÇ°í ÀÖ´Ù(±×¸² 2).

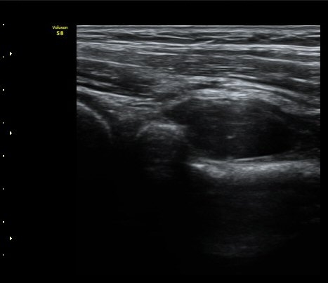
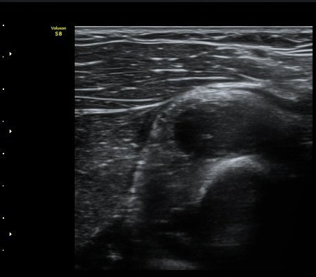
ŽÃËÀÚ¸¦ Á» ´õ ¸»´ÜÀ¸·Î À̵¿ÇÏ´Ï ³¶Á¾Àº ´õ Å©°Ô °üÂûµÈ´Ù(±×¸² 3, 4).

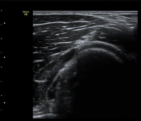
¿ä°ñÀ» Á¾´Ü¸éÀ¸·Î °üÂûÇÏ´Ï ¿ä°ñ ±ÙÀ§ºÎ Ç¥Ãþ¿¡ ³¶Á¾ÀÌ È®Àεǰí(±×¸² 5) ŽÃËÀÚ¸¦

Á¶ÀýÇÏ´Ï Èİñ°ß½Å°æÀÇ Á¾´Ü¸é À̹ÌÁö°¡ °üÂûµÇ´Âµ¥ ³¶Á¾¿¡ ÀÇÇØ Ç¥ÃþÀ¸·Î ÀüÀ§µÇ¾î
ÀÖ´Ù(±×¸² 6,7). ±×¸² 8. ³¶Á¾°ú Èİñ°£½Å°æ ÁÖÀ§¾Ö¼­ °üÂûµÇ´Â µ¿¸Æ.


´Ü¼ø¹æ»ç¼±°Ë»ç
(-)


ÀÚ±â°ø¸í°Ë»ç
±ÙÀüµµ°Ë»ç : ¿ä°ñ½Å°ß Èİñ°£ ½Å°æ°¡Áö ºÒ¿ÏÀüº´Áõ(ÁßÁõ)


Ä¡·á
À̼Û



 


¾î´À ºÎÀ§¿¡¼­µç ±ÙÀüµµ°Ë»ç¿¡¼­ ½Å°æº´ÁõÀÌ È®ÀÎµÇ¸é ½Å°æ º´ÁõÀÇ ¿øÀÎÀ» È®ÀÎÇϱâ À§ÇÑ

°Ë»ç·Î¼­ ÃÊÀ½ÆÄ°Ë»ç´Â ¸Å¿ì À¯¿ëÇÏ´Ù.

ÀÌÀü±Û À̵ιڱ٠ºÎÂøºÎ °ÇÃÊ¿°
´ÙÀ½±Û ÀÚÀü°Å Ÿ°í ¹ß»ýÇÑ °¥°í¸®»À °í¸® °ñÀý¿¡ ÀÇÇÑ Ã´°ñ½Å°æ º´ÁõÀÇ ÃÊÀ½ÆÄ °Ë»ç ¼Ò°ß
       
°¡¸ÍÁ¡¸í : ½Ã¸®¾Ç½ºÁ¤ÇüÀÇÇבּ¸È¸
»ç¾÷ÀÚµî·Ï¹øÈ£ : 894-81-00627 | ´ëÇ¥ÀÚ : ÀåµÎÇõ
 
ÁÖ¼Ò : °æ±âµµ ¾çÆò±º ¿ë¹®¸é ¿ë¹®·Î 375-1, 2Ãþ 1È£
TEL : 010-2323-4055
E-mail : cyriax12@naver.com
ÀԱݾȳ»
±¹¹ÎÀºÇà | ½Ã¸®¾Ç½ºÁ¤ÇüÀÇÇבּ¸È¸(ÁÖ)
220401-04-194155