[¾î±ú] ±Þ¼º ¼®È¸È­¼º Á¡¾×³¶¿° ÃÊÀ½ÆÄ°Ë»ç ¹× ÁÖ»çÄ¡·á
ÀÛ¼ºÀÚ : °ü¸®ÀÚ(khu3265442@naver.com) ÀÛ¼ºÀÏ : 2014-04-09 Á¶È¸¼ö : 3775
ÆÄÀÏ÷ºÎ : [mix]cal bur.avi

¼ºº° / ³ªÀÌ
¿©ÀÚ/58


ÁÖÁõ»ó
°©ÀÛ½º·± ¿ìÃø ¾î±úÀÇ ÅëÁõ ¹× ¿îµ¿ Àå¾Ö(2ÀÏ)


º´·Â
Ưº°ÇÑ ÀÌÀ¯ ¾øÀÌ ½ÉÇÑ ¾î±úÀÇ ÅëÁõÀÌ ¹ß»ýÇÏ¿© ÀáÀ» ¸ø ÀÚ°í ¾î±ú¸¦ ¿Ã¸± ¼ö ¾ø¾î ³»¿ø


ÀÌÇÐÀû °Ë»ç
¾î±ú ±¼°î 40µµ, ¿ÜÀü 0µµ Á¤µµÀÇ °üÀý°¡µ¿¹üÀ§ ÀçÇÑ, ¿ÜÀü°ú ³»È¸ÀüÀÇ ½ÉÇÑ(T) ±Ù¾àÁõÀ» º¸ÀÓ.


ÃÊÀ½ÆÄ °Ë»ç
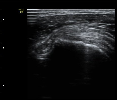
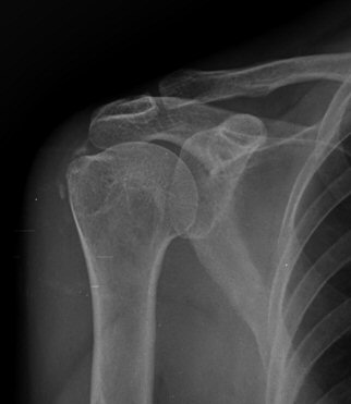
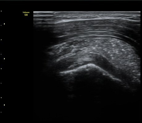
À̵ιڱ٠Ⱦ´Ü¸é°Ë»ç¿¡¼­ Á¡¾×³¶³» °í¿¡ÄÚ ¼®È¸È­ À½¿µµéÀÌ °üÂûµÊ(±×¸² 1, 2, 5)

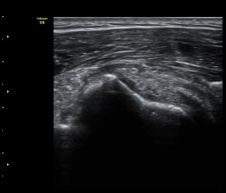
¿ÜȸÀüÀÇ Á¦ÇÑÀ¸·Î °ß°©ÇϱٰÇÀÌ ¼öÆòÀ¸·Î °üÂûµÇÁö ¸øÇϰí À̵ιڱ٠ǥÃþ¿¡
¼®È¸È­ À½¿µÀÌ °üÂûµÊ(±×¸² 3)

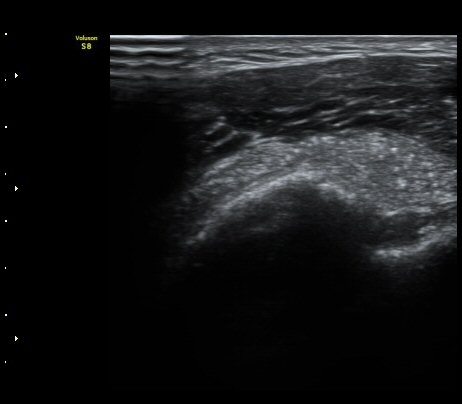
À̵ιڱ٠Á¾´Ü¸é°Ë»ç¿¡¼­µµ Á¡¾×³¶³» ¼®È­È­ À½¿µÀÌ °üÂûµÊ(±×¸² 4).

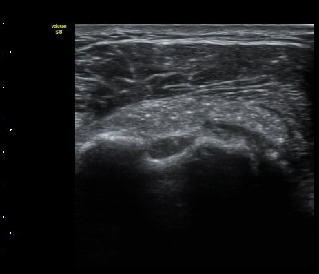
ÁÖ»ç ÈíÀΰú Á¡¾×³¶³» ÁÖ»çÄ¡·á(÷ºÎ ÆÄÀÏ) 1ÀÏ ÈÄ ½ÃÇàÇÑ °Ë»ç¿¡¼­ Á¡¾×³¶ÀÇ ºÎÁ¾ ¹× ¼®È¸ÀÇ
Á¦°Å°¡ °üÂû µÊ(±×¸² 6, 7).


´Ü¼ø¹æ»ç¼±°Ë»ç
¼®È¸È­ À½¿µÀÌ °üÂû µÊ(±×¸² 9, 10)


ÀÚ±â°ø¸í°Ë»ç
¤©


Ä¡·á
ÁÖ»ç ÈíÀÎ ½Ã ÇÎÅ©»öÀÇ ¼®È¸ °Ö ¼ö¾× ÈíÀÎ ÈÄ(±×¸² 8) ÁÖ»ç Ä¡·á¸¦ ½ÃÇàÇÔ



 



8.jpg


9.jpg


10.jpg


ÃÊÀ½ÆÄ°Ë»ç¸¦ ÀÌ¿ëÇÑ Á¤È®ÇÑ Áø´Ü°ú ÀûÀýÇÑ Ä¡·á´Â Ç×»ó ÁÁÀº °á°ú¸¦ º¸ÀÓ.

 

ÀÌÀü±Û ÀÚÀü°Å Ÿ°í ¹ß»ýÇÑ °¥°í¸®»À °í¸® °ñÀý¿¡ ÀÇÇÑ Ã´°ñ½Å°æ º´ÁõÀÇ ÃÊÀ½ÆÄ °Ë»ç ¼Ò°ß
´ÙÀ½±Û ³¶Á¾¿¡ ÀÇÇÑ ¿ä°ñ½Å°æ Èİñ°£½Å°æ °¡Áö ¸¶ºñÀÇ ÃÊÀ½ÆÄ ¼Ò°ß
       
°¡¸ÍÁ¡¸í : ½Ã¸®¾Ç½ºÁ¤ÇüÀÇÇבּ¸È¸
»ç¾÷ÀÚµî·Ï¹øÈ£ : 894-81-00627 | ´ëÇ¥ÀÚ : ÀåµÎÇõ
 
ÁÖ¼Ò : °æ±âµµ ¾çÆò±º ¿ë¹®¸é ¿ë¹®·Î 375-1, 2Ãþ 1È£
TEL : 010-2323-4055
E-mail : cyriax12@naver.com
ÀԱݾȳ»
±¹¹ÎÀºÇà | ½Ã¸®¾Ç½ºÁ¤ÇüÀÇÇבּ¸È¸(ÁÖ)
220401-04-194155