[¾î±ú] ¿¢½º·¹ÀÌ °Ë»ç·Î Áø´ÜµÇÁö ¾Ê´Â »ó¿Ï°ñµÎ °ß¿­°ñÀýÀÇ ÃÊÀ½ÆÄ Áø´Ü
ÀÛ¼ºÀÚ : °ü¸®ÀÚ(khu3265442@naver.com) ÀÛ¼ºÀÏ : 2014-01-06 Á¶È¸¼ö : 4379
ÆÄÀÏ÷ºÎ :

¼ºº° / ³ªÀÌ
³²ÀÚ/43


ÁÖÁõ»ó
ÁÂÃø ¾î±úÀÇ ÅëÁõ(±â°£ 5ÀÏ)


º´·Â
ÆÈÀ» ¤°í ³Ñ¾îÁø ÈÄ ¾î±úÀÇ ÅëÁõÀÌ ¹ß»ýÇÏ¿© Ÿº´¿ø ³»¿øÇÏ¿© ¿¢½º·¹ÀÌ °Ë»ç °á°ú ÀÌ»ó ¼Ò°ß ¾ø´Ù´Â Áø´ÜÀ»
¹Þ¾ÑÀ¸³ª ÅëÁõÀÌ °è¼ÓµÇ°í ÆÈÀÌ ¿Ã¶ó°¡Áö ¾Ê¾Æ¼­ ³»¿ø


ÀÌÇÐÀû °Ë»ç
¾î±úÀÇ ´Éµ¿Àû ±¼°îÀº 40µµ, ¼öµ¿Àû ±¼°îÀº 150µµ·Î °¨¼ÒµÇ¾î ÀÖ¾ú°í ÀúÇ׿¡ ´ëÇÑ ¿ÜÀü°ú ¿ÜȸÀü ½Ã ÅëÁõ°ú ±Ù¾àÁõÀ» º¸ÀÓ.


ÃÊÀ½ÆÄ °Ë»ç
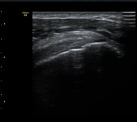
ÀÌµÎ¹Ú±Ù°Ç È¾´Ü¸é°Ë»ç¿¡¼­ ƯÀÌ ¼Ò°ßÀ» º¸ÀÌÁö ¾ÊÀ½(»çÁø 1, 2).

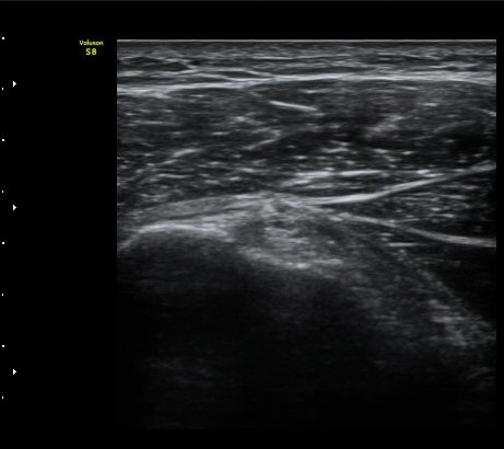
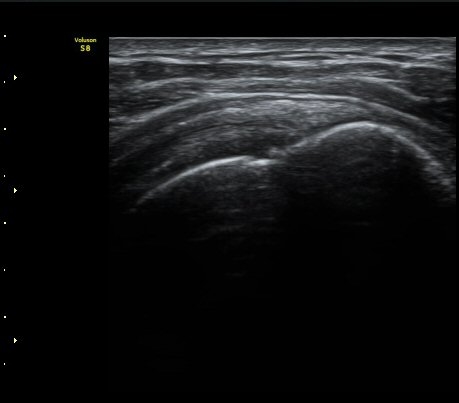
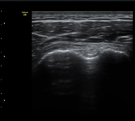
±Ø»ó°Ç Á¾´Ü¸é°Ë»ç¿¡¼­ ±Ø»ó°Ç ÆÄ¿­Àº º¸ÀÌÁö ¾ÊÀ¸³ª »ó¿Ï°ñ ´ë°áÀý°ú °ñµÎ ÀÌÇàºÎÀ§¿¡¼­
ÇÇÁú°ñ ¿¬°á ¼Ò½Ç°ú ¹Ì¼¼ÇÑ °ñÆíÀÌ °üÂûµÊ(»çÁø 3, 4, 5).

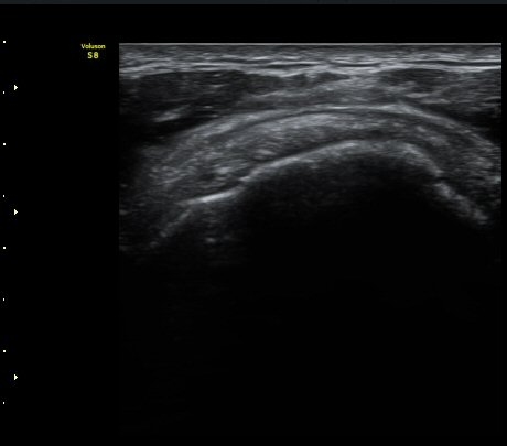
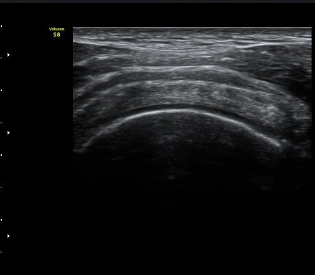
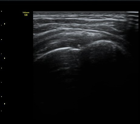
±Ø»ó°Ç Ⱦ´Ü¸é°Ë»ç¿¡¼­ ±Ø»ó°Ç ±ÙÀ§ºÎ¿¡¼­´Â ƯÀÌ ¼Ò°ßÀ» º¸ÀÌÁö ¾ÊÀ¸³ª ±Ø»ó°Ç ¿øÀ§ºÎ¿¡¼­
ÇÇÁú°ñ ¿¬°á ¼Ò½Ç°ú ¹Ì¼¼ÇÑ °ñÆíÀÌ °üÂûµÊ(»çÁø 6, 7).


´Ü¼ø¹æ»ç¼±°Ë»ç
ƯÀÌ ¼Ò°ß ¾øÀ½


ÀÚ±â°ø¸í°Ë»ç
»ó¿Ï°ñµÎ ´ë°áÀý °ß¿­°ñÀý


Ä¡·á
ÆÈ°ÉÀÌ Âø¿ë



 


¾î±ú¸¦ ¤°í ³Ñ¾îÁø ÈÄ ¾î±ú¸¦ µéÁö ¸øÇÏ´Â °æ¿ì »ó¿Ï°ñµÎ °ñÀý, ±Ø»ó°ÇÆÄ¿­, ´Ü¼øÇÑ ÅëÁõ,
¾×¿Í½Å°æ ¼Õ»óÀ» °¨º°ÇØ¾ß ÇÑ´Ù.

±×·¯³ª º» Áõ·Ê¿¡¼­¿Í °°ÀÌ »ó¿Ï°ñµÎÀÇ ¹Ì¼¼°ñÀýÀº ¹æ»ç¼±°Ë»ç¿¡¼­ È®ÀÎÀÌ µÇÁö ¾ÊÀ¸¹Ç·Î
¹æ»ç¼±°Ë»ç¿¡¼­ ÀÌ»ó ¼Ò°ßÀÌ ¾øÀ¸¸é¼­ ½ÉÇÑ ÅëÁõ°ú ±Ù¾àÁõÀ» º¸ÀÌ´Â °æ¿ì´Â ¹Ýµå½Ã ÄÄÇ»ÅÍÃÔ¿µÀ̳ª
ÀÚ±â°ø¸í°Ë»ç¸¦ ½ÃÇàÇÏ¿© °ñÀý ¿©ºÎ¸¦ È®ÀÎÇØ¾ßÇÑ´Ù.

±×·¯³ª ÃÊÀ½ÆÄ°Ë»ç¸¦ ½ÃÇàÇÏ¸é °ñÀý ¿©ºÎ »Ó ¾Æ´Ï¶ó ±Ø»ó°ÇÆÄ¿­µµ È®ÀÎÇÒ ¼ö ÀÖÀ¸¹Ç·Î
¸Å¿ì À¯¿ëÇÑ °Ë»çÀÌ´Ù. ¹°·Ð ÃÊÀ½ÆÄ°Ë»ç·Î °ñÀý¿©ºÎ¸¦ Á¤È®È÷ °¨º°Çϱâ À§Çؼ­´Â ¸¹Àº °æÇè°ú
ÃÊÀ½ÆÄ°Ë»ç ¼Ò°ßÀ» ÄÄÇ»ÅÍÃÔ¿µÀ̳ª ÀÚ±â°ø¸í°Ë»ç ¼Ò°ß°ú ºñ±³ÇÏ´Â ³ë·ÂÀÌ ÇÊ¿äÇÏ´Ù.


 


 

mr»çÁø


2049205267_4f017b21_MR185230193.jpg

2049205267_329e6faf_MR185231216.jpg

2049205267_debc8137_MR185233265.jpg

 

 

ÀÌÀü±Û ³¶Á¾¿¡ ÀÇÇÑ ¿ä°ñ½Å°æ Èİñ°£½Å°æ °¡Áö ¸¶ºñÀÇ ÃÊÀ½ÆÄ ¼Ò°ß
´ÙÀ½±Û °ß°©°ñ ÀÌ»ó¿îµ¿Áõ(scapular dyskinesis)¸¦ µ¿¹ÝÇÑ ±Ø»ó°ÇÆÄ¿­ ¹× ¿ÜÃø Ãæµ¹ÁõÈıº
       
°¡¸ÍÁ¡¸í : ½Ã¸®¾Ç½ºÁ¤ÇüÀÇÇבּ¸È¸
»ç¾÷ÀÚµî·Ï¹øÈ£ : 894-81-00627 | ´ëÇ¥ÀÚ : ÀåµÎÇõ
 
ÁÖ¼Ò : °æ±âµµ ¾çÆò±º ¿ë¹®¸é ¿ë¹®·Î 375-1, 2Ãþ 1È£
TEL : 010-2323-4055
E-mail : cyriax12@naver.com
ÀԱݾȳ»
±¹¹ÎÀºÇà | ½Ã¸®¾Ç½ºÁ¤ÇüÀÇÇבּ¸È¸(ÁÖ)
220401-04-194155