[¾î±ú] °ß°©°ñ ÀÌ»ó¿îµ¿Áõ(scapular dyskinesis)¸¦ µ¿¹ÝÇÑ ±Ø»ó°ÇÆÄ¿­ ¹× ¿ÜÃø Ãæµ¹ÁõÈıº
ÀÛ¼ºÀÚ : °ü¸®ÀÚ(khu3265442@naver.com) ÀÛ¼ºÀÏ : 2013-12-18 Á¶È¸¼ö : 4998
ÆÄÀÏ÷ºÎ : [mix]µ¿¿µ»ó.avi scapular dyskinesis.avi [mix]2014-01-16 12.45.30.avi

¼ºº° / ³ªÀÌ
³²ÀÚ/42


ÁÖÁõ»ó
¿ÞÂÊ ¾î±úÀÇ ÅëÁõ(±â°£ : ÇÑ´Þ)


º´·Â
¿Ü»ó ¾øÀÌ ¾î±úÀÇ ÅëÁõÀÌ ¹ß»ý. ÆÈÀ» µé°í µÚ·Î Á¦³¥ ¶§ ÅëÁõÀÌ ½ÉÇØÁü.


ÀÌÇÐÀû °Ë»ç
°üÀý°¡µ¿ ¹üÀ§ Á¦ÇÑÀº ¾ø°í, ÀúÇ׿¡ ´ëÇÑ ¿ÜÀü ½Ã ÅëÁõÀÌ ¹ß»ýÇÏ°í ±Ù¾àÁõÀ» º¸ÀÓ. ¿ÊÀ» ¹þ±â°í µÚ¿¡¼­ °üÂûÇÏ´Ï ÆÈÀ» ¿Ã¸®°í ³»¸± ¶§ °ß°©°ñÀÌ µÚÂÊÀ¸·Î µ¹Ãâ.


ÃÊÀ½ÆÄ °Ë»ç
À̵ιڱ٠Ⱦ´Ü¸é°Ë»ç¿¡¼­ Á¤¸Æ³¶ÀÇ ºÎÁ¾ÀÌ °üÂûµÊ(±×¸² 1).
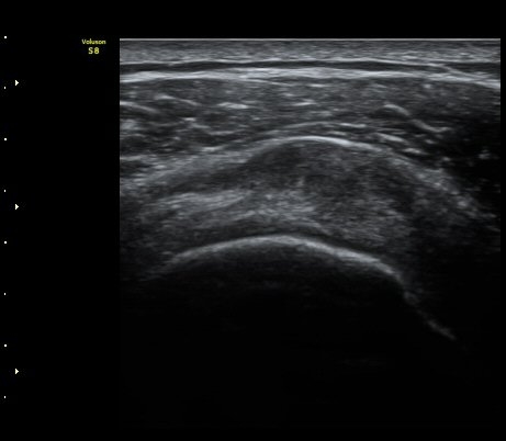
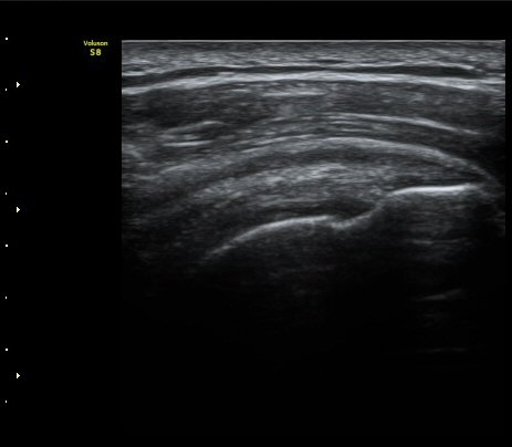
±Ø»ó°Ç³»Ãø Á¾´Ü¸é°Ë»ç¿¡¼­ ±Ø»ê°Ç ºÎÂøºÎÀÇ  ÀÛÀº ÆÄ¿­°ú Á¡¾×³¶ ºÎÁ¾ÀÌ °üÂûµÊ(±×¸² 2, 3).
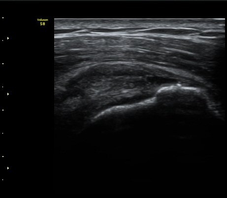
±Ø»ó°Ç ¿ÜÃø Á¾´Ü¸é°Ë»ç ½Ã Á¡¾×³¶ ºÎÁ¾ÀÌ °üÂûµÊ(±×¸² 4).
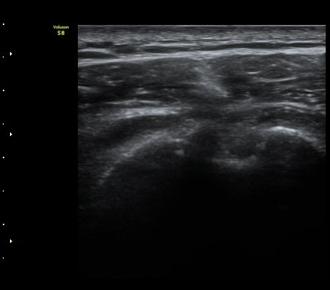
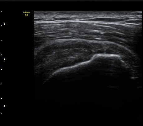
±Ø»ó°Ç ±ÙÀ§ºÎ ±Ø»ó°Ç ³»ÃøÀÇ Àú¿¡ÄÚ ºÎÁ¾°ú Á¡¾×³¶ ºÎÁ¾ÀÌ °üÂûµÊ(±×¸² 5).
±Ø»ó°Ç ¿øÀ§ºÎ ±Ø»ó°Ç ºÎÂøºÎ ÀÛÀº ÆÄ¿­ÀÌ °üÂûµÊ(±×¸² 6).
ŽÃËÀÚ¸¦ °ßºÀ ¿ÜÃø¿¡ ´ë°í ÆÈÀ» ¿ÜÀüÇϸ鼭 ´ë°áÀý°ú °ßºÀÀÇ Ãæµ¹À» °üÂûÇÏ´Ï °ßºÀ¿ÜÃø¿¡
¼ö¾×ÀÌ Àú·ùµÇ¾î ¿ÜÃø Ãæµ¹ÁõÈıºÀÌ È®ÀεǾú´Ù(÷ºÎ ÆÄÀÏ 1).


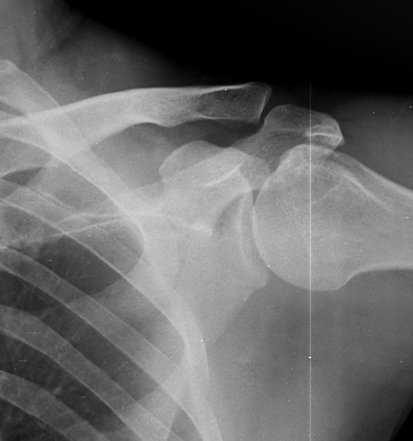
´Ü¼ø¹æ»ç¼±°Ë»ç
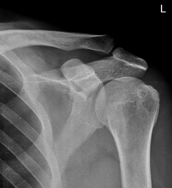
ƯÀÌ °ßºÀ ¾Æ·§¸éÀÇ °æÈ­ ¼Ò°ß ¹× °ßºÀ ¾Æ·¡ ¿¹¸®ÇÑ °ñ±ØÀÌ °üÂûµÊ


ÀÚ±â°ø¸í°Ë»ç
±Ø»ó°Ç ÆÄ¿­, Á¡¾×³¶¿°, °ßºÀÇÏ °ñ±Ø


Ä¡·á
ÁÖ»çÄ¡·á, ¿îµ¿Ä¡·á



 


¹æ»ç¼±»çÁøÀ̳ª ÀÚ±â°ø¸í°Ë»ç¿¡¼­ °ñ±ØÀÌ °üÂûµÇ°í ±Ø»ó°Ç ÆÄ¿­ÀÌ ÀÖ´Â °æ¿ì °Ë»ç¿¡¼­ º¸ÀÌ´Â
°ñ±ØÀÌ ±Ø»ç°ÇÆÄ¿­ÀÇ ¿øÀÎÀ̶ó°í ÃßÁ¤ÇÒ ¼öµµ ÀÖ´Ù.  ±×·¯³ª ±Ø»ó°ÇÆÄ¿­ÀÌ Ç¥Ãþº¸´Ù´Â ½ÉÃþ¿¡¼­
´õ ¸¹ÀÌ ¹ß»ýÇϰí Áõ»óÀ» ÀÏÀ¸Å°Áö ¾Ê´Â °ñ±ØÀÌ ¸¹Àº Á¡À» °í·ÁÇÒ ¶§ °Ë»ç¿¡¼­ º¸ÀÌ´Â °ñ±ØÀ»
Ä¡·á(°ßºÀ¼ºÇü¼ú)ÀÇ ´ë»óÀ¸·Î ÇÏ´Â °ÍÀº Çϸ®ÀûÀÎ °áÁ¤ÀÌ ¾Æ´Ï´Ù. ÀÌ È¯ÀÚÀÇ °æ¿ìó·³ ±Ø»ó°Ç
³»ÃøÀÇ ºÎÁ¾°ú Ç¥Ãþ ¶Ç´Â ÀüÃþ ÆÄ¿­ÀÌ ÀÖÀ¸¸é¼­ Á¡¾×³¶ÀÇ ºÎÁ¾°ú Ãæµ¹°Ë»ç ½Ã Ãæµ¹ ¼Ò°ßÀ» º¸ÀÌ´Â °æ¿ì¿¡

¹æ»ç¼±À̳ª ÀÚ±â°ø¸í°Ë»ç¿¡¼­ º¸ÀÌ´Â °ñ±ØÀÌ ±Ø»ó°Ç ÆÄ¿­ÀÇ ¿øÀÎÀ¸·Î ÃßÁ¤ÇÒ ¼ö ÀÖ´Ù.

ÀÌ È¯ÀÚ¿¡¼­ º¸ÀÌ´Â °ß°©°ñÀÌ»ó¿îµ¿ÁõÀº ÆÈÀ» ¿Ã¸° ÈÄ ³»¸± ¶§¸¸ ¹ß»ýÇϴµ¥ Àü°Å±ÙÀÇ Áö±¸·Â ¾àÈ­³ª ´ÉÇü±ÙÀÇ

¾àÈ­¸¦ ¿øÀÎÀ¸·Î ÃßÁ¤ÇÒ ¼ö Àִµ¥ ±ÙÀüµµ°Ë»ç¿¡¼­´Â ½Å°æº´Áõ ¼Ò°ßÀ» È®ÀÎÇÒ ¼ö ¾ø¾ú´Ù. 
ÃÊÀ½ÆÄ°Ë»ç¿Í ÀÚ±â°ø¸í°Ë»ç¿¡¼­ Ãæµ¹ÁõÈıº ¼Ò°ßÀ» º¸À̹ǷΠ°ß°©°ñÀÌ»ó¿îµ¿ÁõÀÌ È¸Àü±Ù°³
ÆÄ¿­ÀÇ ¿øÀÎÀ¸·Î ÆÇ´ÜÇϱâ´Â ¾î·Æ°í ¼­·Î °ü·Ã ¾øÀÌ Á¸ÀçÇÏ´Â °ÍÀ¸·Î ÆÇ´ÜµÈ´Ù.


Áö ¤¸¸Ó¾×³¶ÀÇÀ¸¸é¼­ ÀÌ


 

2049205267_1bbc537e_MR104434042.jpg

 

2049205267_b59ccf78_MR104434045.jpg

 

2049205267_6c3215d4_MR104436080.jpg

 

2049205267_fcfe46a5_MR104436083.jpg

 

2049205267_d9009dd5_MR104437092.jpg

 

2049205267_35f3ce51_MR104437096.jpg

 

ÇÑ´Þ ¹Ý ¿îµ¿Ä¡·á¿Í ÁÖ»çÄ¡·á °æ°ú Áõ»óÀº È£ÀüµÇ¾ú°í °ß°©°ñÀÌ»ó ¿îµ¿ÁõÀº ¼Ò½ÇµÇ¾ú½À´Ï´Ù (÷ºÎ ÆÄÀÏ µ¿¿µ»ó3 Âü°í).

ÀÌÀü±Û ¿¢½º·¹ÀÌ °Ë»ç·Î Áø´ÜµÇÁö ¾Ê´Â »ó¿Ï°ñµÎ °ß¿­°ñÀýÀÇ ÃÊÀ½ÆÄ Áø´Ü
´ÙÀ½±Û ÃÊÀ½ÆÄ¸¦ ÀÌ¿ëÇÑ °¥°í¸®»À(hook of hamate) °ñÀý
       
°¡¸ÍÁ¡¸í : ½Ã¸®¾Ç½ºÁ¤ÇüÀÇÇבּ¸È¸
»ç¾÷ÀÚµî·Ï¹øÈ£ : 894-81-00627 | ´ëÇ¥ÀÚ : ÀåµÎÇõ
 
ÁÖ¼Ò : °æ±âµµ ¾çÆò±º ¿ë¹®¸é ¿ë¹®·Î 375-1, 2Ãþ 1È£
TEL : 010-2323-4055
E-mail : cyriax12@naver.com
ÀԱݾȳ»
±¹¹ÎÀºÇà | ½Ã¸®¾Ç½ºÁ¤ÇüÀÇÇבּ¸È¸(ÁÖ)
220401-04-194155