[¼Õ¸ñ] ÃÊÀ½ÆÄ¸¦ ÀÌ¿ëÇÑ °¥°í¸®»À(hook of hamate) °ñÀý
ÀÛ¼ºÀÚ : °ü¸®ÀÚ(khu3265442@naver.com) ÀÛ¼ºÀÏ : 2013-12-13 Á¶È¸¼ö : 4908
ÆÄÀÏ÷ºÎ :

¼ºº° / ³ªÀÌ
³²ÀÚ/ 53¼¼


ÁÖÁõ»ó
¿ÞÂÊ ¼ÕÀÇ ÅëÁõ(1 ÁÖ)


º´·Â
¾à 1ÁÖ Àü °ñÇÁÄ¡´Ù°¡ ¼ÕÀÇ ½ÉÇÑ ÅëÁõÀÌ ¹ß»ýÇÏ¿© °ñÇÁ¸¦ Áß´ÜÇϰí Ÿº´¿ø ³»¿øÇÏ¿© ¹æ»ç¼± ÃÔ¿µÇÏ¿© ÀÌ»ó ¼Ò°ß ¾ø¾î Áö³»´Ù°¡ ÅëÁõÀÌ °è¼ÓµÇ¾î ³»¿ø


ÀÌÇÐÀû °Ë»ç
¼Õ ¼ÒÁö±¸Ãø(hypothenar) ºÎÀ§¿¡ °æ¹ÌÇÑ ¾ÐÅëÀÌ ÀÖ°í, 4 5 ¼öÁö ´Éµ¿Àû ±¼°î°ú ¼öµ¿Àû ½ÅÀü ½Ã ÅëÁõÀ» º¸ÀÓ. ½Å°æÇÐÀû °Ë»ç»ó ƯÀÌ ¼Ò°ß ¾øÀ½.


ÃÊÀ½ÆÄ °Ë»ç
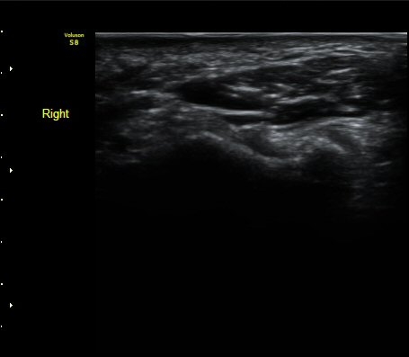
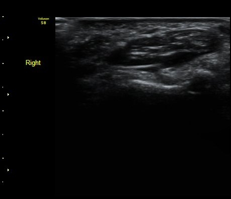
¼ÒÁö±¸ ³»Ãø¿¡ ȾÀ¸·Î ŽÃËÀÚ¸¦ ´ë¾î °¥°í¸®»À °¥°í¸® ³»Ãø¸é ÇÇÁú°ñÀ» °üÂûÇÏ´Ï(¾Æ·¡ ±×¸²)
°¥°í¸® ÇÇÁú°ñ ¿¬¼Ó¼º ¼Ò½Ç(loss of cortical continuity of hook of hamate)ÀÌ °üÂûµÈ´Ù(±×¸² 1, 2).
ÇÇÁú°ñ ¿¬¼Ó¼º ¼Ò½ÇÀº °ÇÃø°ú ºñ±³ÇØ¸é ´õ¿í ¶Ñ·ÈÇÏ´Ù(±×¸² 3, 4).

 

2049205265_cc17407e_20131213_222501.jpg

 

 

´Ü¼ø¹æ»ç¼±°Ë»ç
Ÿ º´¿ø¿¡¼­ ½ÃÇà, ÀÌ»ó ¼Ò°ß ¾øÀ½


ÀÚ±â°ø¸í°Ë»ç
ÄÄÇ»ÅÍ ÃÔ¿µ»ó °¥°í¸®»À °¥°í¸® °ñÀýÀ» º¸ÀÓ(±×¸² 5, 6, 7).


Ä¡·á
´Ü»óÁö ºÎ¸ñ°íÁ¤

 

 

 

 


hook of hamate °ñÀýÀº ´ëºÎºÐ Á¶±â¿¡ Áø´ÜµÇÁö ¸øÇÏ°í ¼ö»ó ÈÄ »ó´ç±â°£ °æ°ú ÈÄ¿¡ Áø´ÜµÇ´Â

¹®Á¦°¡ ÀÖ´Ù. Áø´ÜÀÌ Áö¿¬µÇ´Â ÀÌÀ¯´Â °ñÀýÀÌ ¹æ»ç¼± ÃÔ¿µÀ¸·Î °üÂûµÉ ¼ö ¾ø±â ¶§¹®ÀÌ´Ù. ¹°·Ð

ÀÌ °ñÀýÀ» °üÂûÇϱâ À§ÇÑ Æ¯º°ÇÑ ÃÔ¿µ¹æ¹ýÀÌ ÀÖÁö¸¸ ½ÃÇàÇϱ⵵ ¾î·Æ°í ÃØ¿µÇصµ °ñÀý¼±ÀÌ
¶Ñ·ÈÈ÷ º¸ÀÌÁö ¾Ê´Â °æ¿ì°¡ ´ëºÎºÐÀÌ´Ù.


µÎ¹øÂ° ¹®Á¦Á¡Àº ºÎ¸ñ°íÁ¤À» Á¶±â¿¡ ½ÃÇàÇØµµ ´ëºÎºÐ ºÒÀ¯ÇÕÀÌ ¹ß»ýÇÏ´Â ¹®Á¦ÀÌ´Ù.

Áø´ÜÀÇ ¹®Á¦´Â Àǻ簡 ÀÌ °ñÀýÀÇ Æ¯Â¡À» ÀÎÁöÇϰí ÃÑ¹ÇÆÄ°Ë»ç¸¦ ½ÃÇàÇϰųª ÄÄÇ»ÅÍ ÃÔ¿µÀ»

½ÃÇàÇϸé Á¶±â Áø´ÜÀÌ °¡´ÉÇÏ´Ù. ÀÌ °ñÀýÀº ´ëºÎºÐ °ñÇÁ, ¾ß±¸, ÇÏŰ µî ¿îµ¿ Áß¿¡ ¹ß»ýÇϰí

¼ø°£ÀûÀÎ ½ÉÇÑ ÅëÁõÀ¸·Î ¿îµ¿ÀÌ ÁߴܵǴ °æ¿ì°¡ ´ëºÎºÐÀÌ´Ù. ¿Ü°ß»ó ºÎºÀÀº ½ÉÇÏÁö ¾ÊÀ¸³ª

¼Õ¸ñÀ» ôÃ÷ ÀüÀ§ ÈÄ 4, 5 ¼öÁö¸¦ ÀúÇ׿¡ ´ëÇÏ¿© ±¼°î ½Ã ½ÉÇÑ ÅëÁõÀÌ À¯¹ßµÈ´Ù(hook of hamate pull test)

 

2049205265_631cfda6_hamate+pull.jpg

 

ÀÌ °ñÀýÀÌ ÀǽɵǴ °æ¿ì ÃÊÀ½ÆÄ°Ë»ç¸¦ ½ÃÇàÇÏ¸é ¾ÆÁÖ °£´ÜÇÏ°Ô È®ÁøÀÌ °¡´ÉÇÏ´Ù.

°ñÀýÀÌ È®ÀεǸé Á¤Çü¿Ü°ú·Î Àü¿øÇϰųª ´Ü»óÁö ºÎ¸ñÀ» 5~6ÁÖ ½ÃÇàÇϴµ¥ ¾îÁö¼­ ½ÃÇàÇÏ´ø

´ëºÎºÐ ºÒÀ¯ÇÕÀÌ ¹ß»ýÇÑ´Ù. ±×·¯³ª ´ÙÇàÀ̵µ ºÒÀ¯ÇÕÀÌ ¹ß»ýÇØµµ ´ëºÎºÐ Áõ»óÀÇ È£ÀüÀ» º¸ÀδÙ.

°á±¹ Àǻ簡 °¥°í¸®»À °ñÀýÀ» ÃßÁ¤ÇÒ ¼ö ÀÖ´Â °æÇèÀÌ ÀÖÀ¸¸é  Á¶±â¿¡ Áø´ÜÀÌ °¡´ÉÇÏ°í ºñ±³Àû

¾çÈ£ÇÑ °æ°ú¸£ º¸ÀδÙ.

Àü¹® ÇÁ·Î ¼±¼öµéÀº ¼ö¼ú µî Àû±ØÀûÀÎ Ä¡·á°¡ ÇÊ¿äÇÏ°í °ñÆíÁ¦°Å¼úÀ̳ª hamate plate °íÁ¤À¸·Î

ÁÁÀº °á°ú¸¦ º¸¿´´Ù´Â º¸°í°¡ ÀÖ´Ù.

 

2049205265_549ba605_hamate+plate.jpg

 

ÀÌÀü±Û °ß°©°ñ ÀÌ»ó¿îµ¿Áõ(scapular dyskinesis)¸¦ µ¿¹ÝÇÑ ±Ø»ó°ÇÆÄ¿­ ¹× ¿ÜÃø Ãæµ¹ÁõÈıº
´ÙÀ½±Û ¹æ»ç¼± °Ë»ç¿¡¼­ º¸ÀÌÁö ¾Ê´Â ÆÈ²ÞÄ¡ ¿ä°ñµÎ Á¾Ãà¸é °ñÀý
       
°¡¸ÍÁ¡¸í : ½Ã¸®¾Ç½ºÁ¤ÇüÀÇÇבּ¸È¸
»ç¾÷ÀÚµî·Ï¹øÈ£ : 894-81-00627 | ´ëÇ¥ÀÚ : ÀåµÎÇõ
 
ÁÖ¼Ò : °æ±âµµ ¾çÆò±º ¿ë¹®¸é ¿ë¹®·Î 375-1, 2Ãþ 1È£
TEL : 010-2323-4055
E-mail : cyriax12@naver.com
ÀԱݾȳ»
±¹¹ÎÀºÇà | ½Ã¸®¾Ç½ºÁ¤ÇüÀÇÇבּ¸È¸(ÁÖ)
220401-04-194155