[ÆÈ²ÞÄ¡] ÆÈ²ÞÄ¡ ³»ÃøºÎÀÎ´ë ÆÄ¿­ ¹× °ß¿­°ñÀý
ÀÛ¼ºÀÚ : °ü¸®ÀÚ(khu3265442@naver.com) ÀÛ¼ºÀÏ : 2013-09-02 Á¶È¸¼ö : 3993
ÆÄÀÏ÷ºÎ :

¼ºº° / ³ªÀÌ
³²ÀÚ/ 12¼¼


ÁÖÁõ»ó
¿ÞÂÊ ÆÈ²ÞÄ¡ ÅëÁõ


º´·Â
°ø ´øÁø ÈÄ ÆÈ²ÞÄ¡ ÅëÁõ ¹ß»ý


ÀÌÇÐÀû °Ë»ç
¤¸


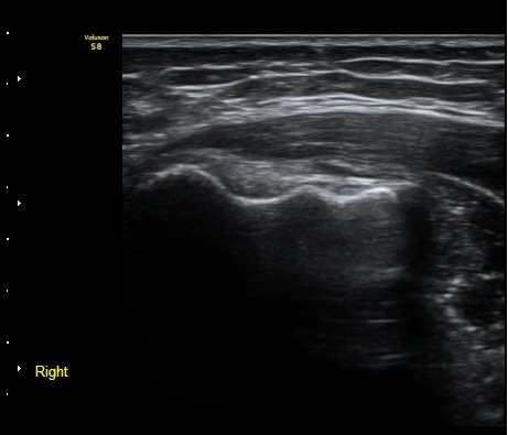
ÃÊÀ½ÆÄ °Ë»ç
³»»ó°ú Á¾´Ü¸é°Ë»ç»ó  ³»ÃøºÎÀδë Àú¿¡ÄÚ ºÎÁ¾°ú ³»»ó°ú ÀÎ´ë ºÎÂøºÎ ÇÇÁú°ñÀÇ ºÒ±ÔÄ¢º¯È­¿Í
°ñÆíÀÌ °üÂûµÇ°í(±×¸² 1, 2, 3, 4) ÀÌ·±¼Ò°ßÀº °ÇÃø°ú ºñ±³ÇÏ¸é ´õ¿í ¶Ñ·ÈÇÔ(±×¸² 5, 6).


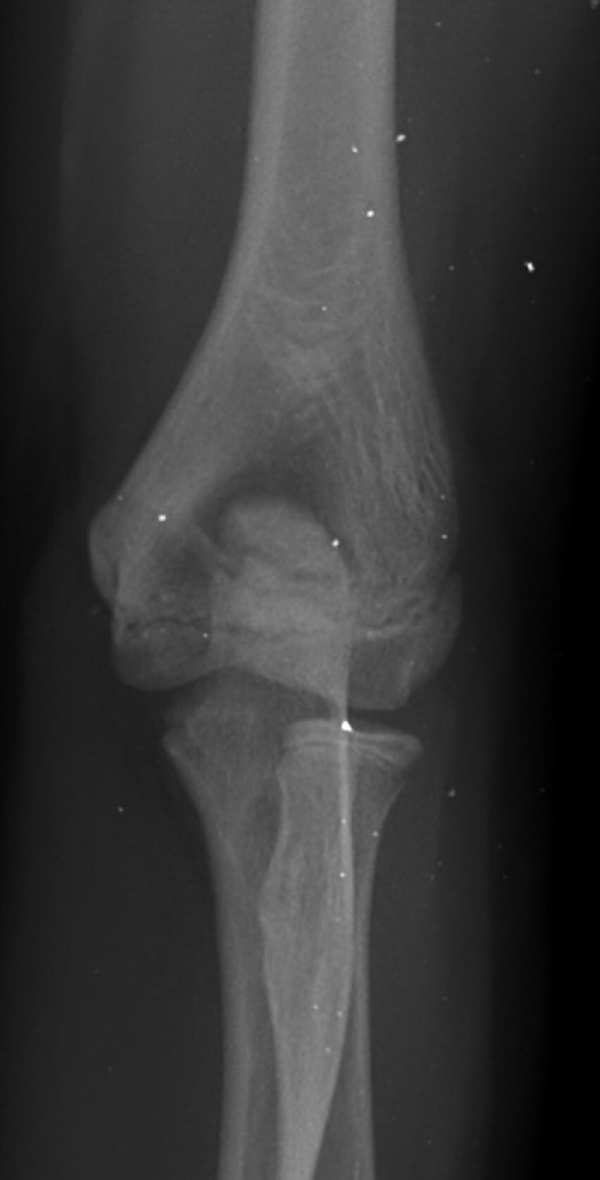
´Ü¼ø¹æ»ç¼±°Ë»ç
ÆÈ²ÞÄ¡ ³»»ó°ú ¿ÜÃø¿¡ ¹Ì¼¼ÇÑ °ñÆíÀÌ °üÂû µÊ(±×¸² 7).


ÀÚ±â°ø¸í°Ë»ç
ÆÈ²ÞÄ¡ ̫̿ ÃøºÎÀÎ´ë ÆÄ¿­ ¹× °ß¿­°ñÀý(±×¸² 8, 9)


Ä¡·á
Àü¿ø



 


¤¡

ÀÌÀü±Û ¹ß¸ñ Àü°ÅºñÀÎ´ë ÆÄ¿­ ÃÊÀ½ÆÄ°Ë»ç
´ÙÀ½±Û ÃÊÀ½ÆÄ¿¡ ÀÇÇÑ ÁÖ»ó°ñ °ñÀý Áø´Ü
       
°¡¸ÍÁ¡¸í : ½Ã¸®¾Ç½ºÁ¤ÇüÀÇÇבּ¸È¸
»ç¾÷ÀÚµî·Ï¹øÈ£ : 894-81-00627 | ´ëÇ¥ÀÚ : ÀåµÎÇõ
 
ÁÖ¼Ò : °æ±âµµ ¾çÆò±º ¿ë¹®¸é ¿ë¹®·Î 375-1, 2Ãþ 1È£
TEL : 010-2323-4055
E-mail : cyriax12@naver.com
ÀԱݾȳ»
±¹¹ÎÀºÇà | ½Ã¸®¾Ç½ºÁ¤ÇüÀÇÇבּ¸È¸(ÁÖ)
220401-04-194155