[ÆÈ²ÞÄ¡] ÆÈ²ÞÄ¡ °üÀý³» À¯¸®Ã¼¿¡ ÀÇÇÑ ÆÈ²ÞÄ¡ ÅðÇ༺ °üÀý¿°
ÀÛ¼ºÀÚ : °ü¸®ÀÚ(khu3265442@naver.com) ÀÛ¼ºÀÏ : 2013-08-16 Á¶È¸¼ö : 3432
ÆÄÀÏ÷ºÎ : IMG_20121018_4_13.avi

¼ºº° / ³ªÀÌ
³²ÀÚ/ 44¼¼


ÁÖÁõ»ó
ÆÈ±ÀÄ¡ ÅëÁõ


º´·Â


ÀÌÇÐÀû °Ë»ç


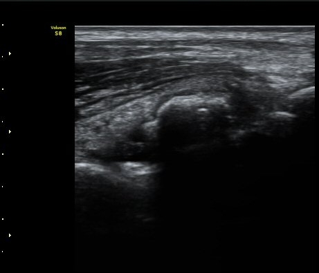
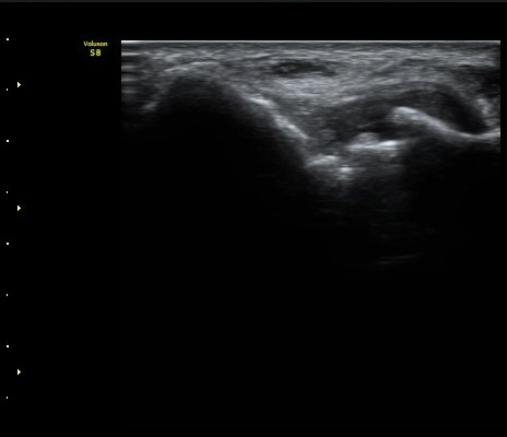
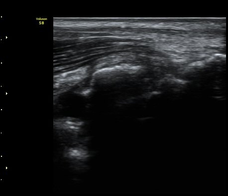
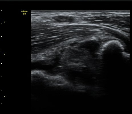
ÃÊÀ½ÆÄ °Ë»ç
¤©


´Ü¼ø¹æ»ç¼±°Ë»ç


ÀÚ±â°ø¸í°Ë»ç


Ä¡·á



 


¤©

ÀÌÀü±Û Äá¾Ë°¥°í¸®(pisohamate)°üÀý¿¡¼­ À¯·¡µÈ °áÀýÁ¾¿¡ ÀÇÇÑ Ã´°ñ½Å°æ º´Áõ
´ÙÀ½±Û Å״Ͻº¿¤º¸¿ì(¿Ü»ó°ú¿°)¿¡ µ¿¹ÝµÈ ¿ä°ñ½Å°æ Èİñ°£ºÐÁö º´Áõ 2
       
°¡¸ÍÁ¡¸í : ½Ã¸®¾Ç½ºÁ¤ÇüÀÇÇבּ¸È¸
»ç¾÷ÀÚµî·Ï¹øÈ£ : 894-81-00627 | ´ëÇ¥ÀÚ : ÀåµÎÇõ
 
ÁÖ¼Ò : °æ±âµµ ¾çÆò±º ¿ë¹®¸é ¿ë¹®·Î 375-1, 2Ãþ 1È£
TEL : 010-2323-4055
E-mail : cyriax12@naver.com
ÀԱݾȳ»
±¹¹ÎÀºÇà | ½Ã¸®¾Ç½ºÁ¤ÇüÀÇÇבּ¸È¸(ÁÖ)
220401-04-194155