[ÆÈ²ÞÄ¡] Å״Ͻº¿¤º¸¿ì(¿Ü»ó°ú¿°)¿¡ µ¿¹ÝµÈ ¿ä°ñ½Å°æ Èİñ°£ºÐÁö º´Áõ 1
ÀÛ¼ºÀÚ : °ü¸®ÀÚ(khu3265442@naver.com) ÀÛ¼ºÀÏ : 2013-08-16 Á¶È¸¼ö : 3775
ÆÄÀÏ÷ºÎ :

¼ºº° / ³ªÀÌ
³²ÀÚ/ 45¼¼


ÁÖÁõ»ó
ÆÈ²ÞÄ¡ ÅëÁõ


º´·Â


ÀÌÇÐÀû °Ë»ç


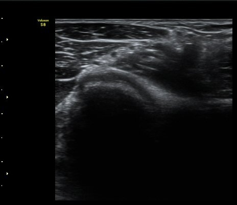
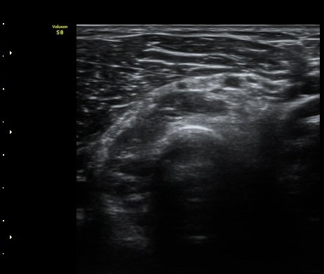
ÃÊÀ½ÆÄ °Ë»ç
^^


´Ü¼ø¹æ»ç¼±°Ë»ç


ÀÚ±â°ø¸í°Ë»ç


Ä¡·á



 


^^

ÀÌÀü±Û Å״Ͻº¿¤º¸¿ì(¿Ü»ó°ú¿°)¿¡ µ¿¹ÝµÈ ¿ä°ñ½Å°æ Èİñ°£ºÐÁö º´Áõ 2
´ÙÀ½±Û ¾ÆÅ³·¹½º ÈûÁÙ ÆÄ¿­ÀÇ ÃÊÀ½ÆÄ Áø´Ü
       
°¡¸ÍÁ¡¸í : ½Ã¸®¾Ç½ºÁ¤ÇüÀÇÇבּ¸È¸
»ç¾÷ÀÚµî·Ï¹øÈ£ : 894-81-00627 | ´ëÇ¥ÀÚ : ÀåµÎÇõ
 
ÁÖ¼Ò : °æ±âµµ ¾çÆò±º ¿ë¹®¸é ¿ë¹®·Î 375-1, 2Ãþ 1È£
TEL : 010-2323-4055
E-mail : cyriax12@naver.com
ÀԱݾȳ»
±¹¹ÎÀºÇà | ½Ã¸®¾Ç½ºÁ¤ÇüÀÇÇבּ¸È¸(ÁÖ)
220401-04-194155