[¹ß¸ñ] ¾ÆÅ³·¹½º ÈûÁÙ ÆÄ¿­ÀÇ ÃÊÀ½ÆÄ Áø´Ü
ÀÛ¼ºÀÚ : °ü¸®ÀÚ(khu3265442@naver.com) ÀÛ¼ºÀÏ : 2013-07-29 Á¶È¸¼ö : 3312
ÆÄÀÏ÷ºÎ : IMG_20130727_1_13.avi

¼ºº° / ³ªÀÌ
³²ÀÚ/ 51¼¼


ÁÖÁõ»ó
ÁÂÃø ¹ß¸ñÀÇ ÅëÁõ(2ÁÖ)


º´·Â
2ÁÖ Àü ¹èµå¹ÎÅÏÇÏ´Ù°¡ ¹ß¸ñÀÇ ÅëÁõÀÌ ¹ß»ýÇÏ¿© Ÿº´¿ø¿¡¼­ ÃÊÀ½ÆÄ°Ë»ç µî ½ÃÇàÇÏ°í ºÎ¸ñ°íÁ¤ ÈÄ ¹°¸®Ä¡·á À§ÇØ ³»¿ø


ÀÌÇÐÀû °Ë»ç
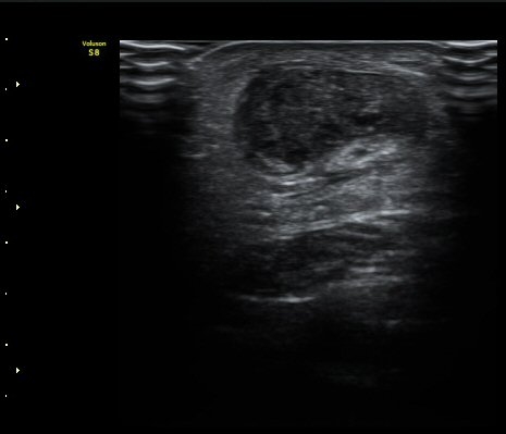
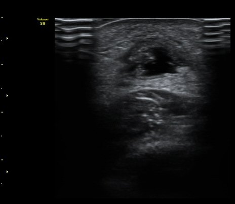
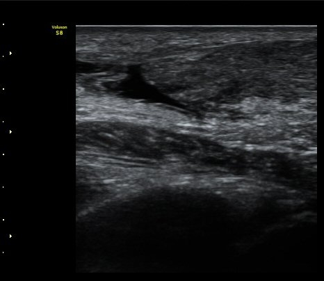
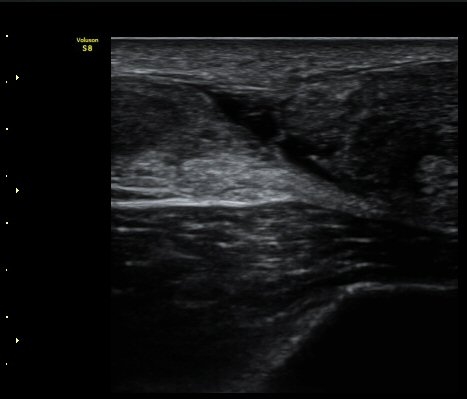
¾ÆÅ³·¹½º°Ç ºÎÁ¾ ¹× ¾ÐÅë, ´Éµ¿Àû ¹ß¸ñ ¹ß¹Ù´ÚÃø ±¼°ñ G 1, thomson test(+).


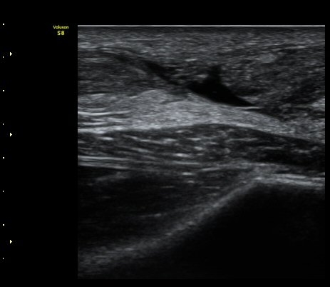
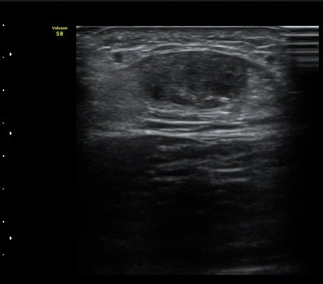
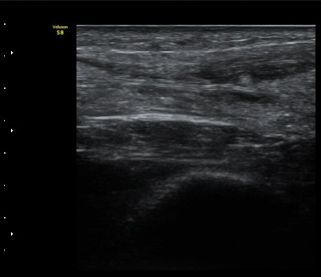
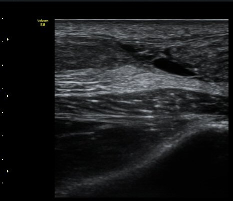
ÃÊÀ½ÆÄ °Ë»ç
d


´Ü¼ø¹æ»ç¼±°Ë»ç

½ÃÇàÇÏÁö ¾ÊÀ½


ÀÚ±â°ø¸í°Ë»ç
½ÃÇàÇÏÁö ¾ÊÀ½


Ä¡·á
¼ö¼ú Ä¡·á À§ÇØ Àü¿ø



 


d

ÀÌÀü±Û Å״Ͻº¿¤º¸¿ì(¿Ü»ó°ú¿°)¿¡ µ¿¹ÝµÈ ¿ä°ñ½Å°æ Èİñ°£ºÐÁö º´Áõ 1
´ÙÀ½±Û ÃÊÀ½ÆÄÀ¯µµÇÏ Á¾°ñÀÔ¹æ°ñ°üÀý ºÎÇϰ˻翡 µû¸¥ Ä¡·á ¹æÇâ
       
°¡¸ÍÁ¡¸í : ½Ã¸®¾Ç½ºÁ¤ÇüÀÇÇבּ¸È¸
»ç¾÷ÀÚµî·Ï¹øÈ£ : 894-81-00627 | ´ëÇ¥ÀÚ : ÀåµÎÇõ
 
ÁÖ¼Ò : °æ±âµµ ¾çÆò±º ¿ë¹®¸é ¿ë¹®·Î 375-1, 2Ãþ 1È£
TEL : 010-2323-4055
E-mail : cyriax12@naver.com
ÀԱݾȳ»
±¹¹ÎÀºÇà | ½Ã¸®¾Ç½ºÁ¤ÇüÀÇÇבּ¸È¸(ÁÖ)
220401-04-194155