[¹ß¸ñ] ÃÊÀ½ÆÄÀ¯µµÇÏ Á¾°ñÀÔ¹æ°ñ°üÀý ºÎÇϰ˻翡 µû¸¥ Ä¡·á ¹æÇâ
ÀÛ¼ºÀÚ : °ü¸®ÀÚ(khu3265442@naver.com) ÀÛ¼ºÀÏ : 2013-07-28 Á¶È¸¼ö : 4823
ÆÄÀÏ÷ºÎ : [mix]IMG_20130724_2_14.mp4

¼ºº° / ³ªÀÌ
¿©ÀÚ/ 45¼¼


ÁÖÁõ»ó
ÁÂÃà ¹ßÀÇ ÅëÁõ ¹× ºÎÁ¾


º´·Â


ÀÌÇÐÀû °Ë»ç
¹ß¸ñ ÁÖÀ§ ÀδëºÎÂøºÎ ºÎÁ¾°ú ¾ÐÅëÀº º¸ÀÌÁö ¾Ê°í ¹ß ¿ÜÃøÀÇ ºÎÁ¾°ú ¹ß ±ÙÀ§ºÎ ¿ÜÃø ¾ÐÅëÀÌ ¶Ñ·ÈÇÔ. ÆÄÇ༭ º¸ÇàÀ» º¸ÀÓ


ÃÊÀ½ÆÄ °Ë»ç
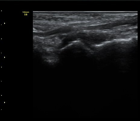
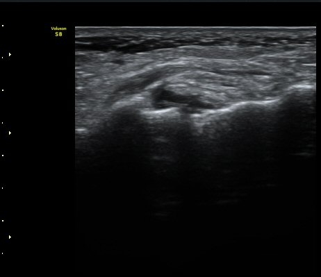
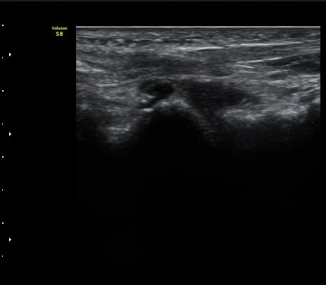
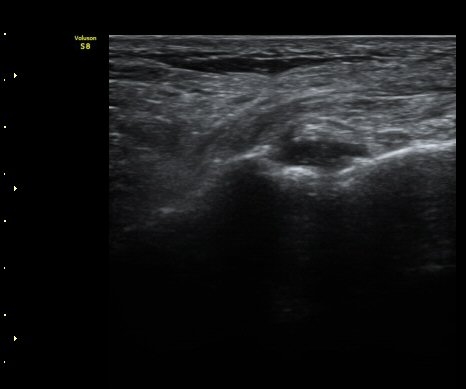
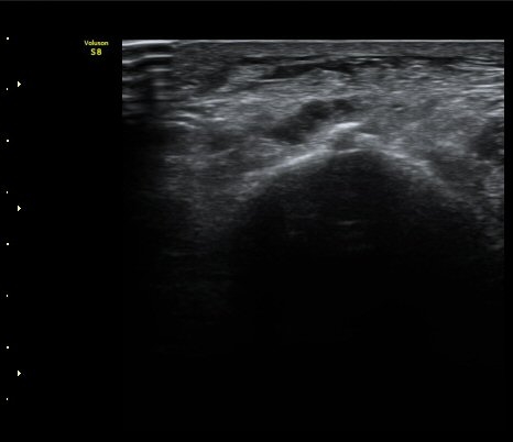
Á¾°ñÀÔ¹æ°ñÀδëÀÇ Á¾´Ü¸é°Ë»ç¿¡¼­ ÀδëÀÇ Á¾°ñ ºÎÂøºÎ ÆÄ¿­ÀÌ °üÂûµÊ(»çÁø 1, 2, 3).

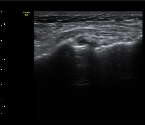
Àδë Á¾°ñºÎÂøºÎ Á¾´Ü¸é°Ë»ç¿Í Ⱦ´Ü¸é°Ë»ç¿¡¼­ Á¾°ñÀÇ °ß¿­°ñÀýÀÌ °üÂ÷µÊ(»çÁø 4, 5).

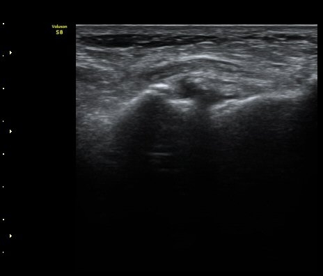
Á¾°ñÀÔ¹æ°ñÀÎ´ë ¿ÜÃø Á¾´Ü¸é°Ë»ç¿¡¼­ ¼ö¾×Àú·ù°¡ °üÂûµÊ(»çÁø 6, 7).

Àü¹æ°æ°ñºñ°ñÀδë¿Í Àü¹æ°Å°ñºñ°ñÀδë°Ë»ç ½Ã ƯÀÌ ¼Ò°ßÀ» º¸ÀÌÁö ¾ÊÀ½(»çÁø 8, 9).

ÃÊÀ½ÆÄÀ¯µµÇÏ Á¾°ñÀÔ¹æ°ñ°ñ°üÀý ºÎÇϰ˻翡¼­ °í³ªÀýÀÇ ºÒ¾ÈÁ¤ÀÌ °üÂûµÊ(÷ºÎÆÄÀÏ)


´Ü¼ø¹æ»ç¼±°Ë»ç
ƯÀÌ ¼Ò°ß ¾øÀ½.


ÀÚ±â°ø¸í°Ë»ç
½ÃÇàÇÏÁö ¾ÊÀ½.


Ä¡·á
Á¾°ñÀÔ¹æ°ñÀδëÀÇ Æ°Æ°ÇÑ È¸º¹À¸·Î °üÀýÀÇ ¾ÈÁ¤¼º ȸº¹À» À§ÇØ ´ÜÇÏÁö ºÎ¸ñ °íÁ¤



 


¹ß¸ñÀÇ ¼Õ»ó(¿°ÁÂ)ÀÌ ¾Æ´Ñ ¹ßÀÇ ¼Õ»ó(¿°ÁÂ) ½Ã ¿¢½º·¹À̰˻ç´Â °ñÀýÀ̳ª °üÀýÀÇ ºÒ¾ÈÁ¤À» È®ÀÎÇÒ ¼ö ¾ø´Ù.

ÀÌ ¶§ ÃÊÀ½ÆÄ°Ë»ç¸¦ ½ÃÇàÇϸé Á¾°ñÀ̳ª ÀÔ¹æ°ñ °ß¿­°ñÀý ¿©ºÎ¸¦ È®ÀÎÇÒ ¼ö ÀÖ´Ù.
ƯÈ÷ ÃÊÀ½ÆÄ À¯µµÇÏ ºÎÇϰ˻縦 ½ÃÇàÇÏ¸é °üÀýÀÇ ¾ÈÁ¤¼º ¿©ºÎ¸¦ ÆÇ´ÜÇÒ ¼ö ÀÖ¾î Ä¡·áÀÇ ¹æÇâÀ»
°áÁ¤ÇÒ ¼ö ÀÖ´Ù.

ÃÊÀ½ÆÄ°Ë»ç¿¡¼­ °ß¿­°ñÀýÀÌ °üÂûµÇ´Â °æ¿ì 4~5ÁÖ°£ ºÎ¸ñ°íÁ¤ÀÌ ÇÊ¿äÇÏ´Ù.
°ß¿­°ñÀýÀº ¾øÁö¸¸ °üÀýÀÇ ºÒ¾ÈÁ¤ÀÌ È®ÀεǴ °æ¿ì 3ÁÖ ÀÌ»ó ¼®°í°íÁ¤ÀÌ ÇÊ¿äÇÏ´Ù.
°ß¿­°ñÀýÀÌ ¾ø°í °üÀýÀÇ ¾ÈÁ¤¼º¾Æ À¯ÁöµÇ´Â °æ¿ì ºÎÁ¾À̳ª ¾ÐÅë µî ÀÓ»ç ¼Ò°ß¿¡ µû¶ó
0~2ÁÖ°£ ºÎ¸ñ°íÀýÀ» ½ÃÇàÇÑ´Ù.

ÃÊÀ½ÆÄ°Ë»ç¸¦ ½ÃÇàÇÒ ¼ö ¾ø°Å³ª Á¤È®ÇÏ°Ô ÆÇ´ÜÇÒ ¼ö ¾ø´Ù¸é ÀÓ»ó ¼Ò°ß¿¡ µû¶ó ÀûÀýÇÑ ±â°£
ºÎ¸ñ °íÁ¤À» ½ÃÇàÇÏ´Â °ÍÀÌ ÈÞÀ¯Áõ ¾øÀÌ Á¶±â ȸº¹½ÃŰ´Â ¼ö´ÜÀÌ µÈ´Ù.



Âü°í ¹®Çå

1)
AJR Am J Roentgenol. 2009 Sep;193(3):662-71. doi: 10.2214/AJR.08.2084.
Ligaments of the transverse tarsal joint complex: MRI-anatomic correlation in cadavers.

https://www.ajronline.org/doi/pdf/10.2214/AJR.08.2084


2)
Sports Health. 2011 Nov;3(6):514-9.
Examination and treatment of cuboid syndrome: a literature review.

http://http//www.ncbi.nlm.nih.gov/pmc/articles/PMC3445231/pdf/10.1177_1941738111405965.pdf


3)
J Orthop Res. 2011 Jul;29(7):1047-54. doi: 10.1002/jor.21379. Epub 2011 Feb 11.
Effects of surgical correction for the treatment of adult acquired flatfoot deformity: a computational investigation

https://www.ncbi.nlm.nih.gov/pmc/articles/PMC3107949/pdf/jor0029-1047.pdf


4)
Ann R Coll Surg Engl. 2008 May;90(4):346-7.
An anatomical tenodesis method for calcaneocuboid joint stabilisation.

https://www.ncbi.nlm.nih.gov/pmc/articles/PMC2647211/pdf/rcse9004-346b.pdf


5)
Br J Sports Med. 2006 Oct;40(10):839-43. Epub 2006 Aug 18.
Dorsal calcaneocuboid ligament versus lateral ankle ligament repair: a case-control study.
Foot Ankle Int. 2001 Nov;22(11):880-4.
Calcaneocuboid stability: a clinical and anatomic study.
Foot Ankle Int. 2000 May;21(5):379-84.
The injury of the calcaneocuboid ligaments.

http://www.ncbi.nlm.nih.gov/pubmed/10830655


6)

Am J Sports Med. 2008 Jun;36(6):1143-9. doi: 10.1177/0363546507313091. Epub 2008 Feb 20.
Observer reliability in ankle and calcaneocuboid stress radiography.

http://www.ncbi.nlm.nih.gov/pubmed/18287594#

ÀÌÀü±Û ¾ÆÅ³·¹½º ÈûÁÙ ÆÄ¿­ÀÇ ÃÊÀ½ÆÄ Áø´Ü
´ÙÀ½±Û ȸÀü±Ù°³(±Ø»ó°Ç, °ß°©ÇϱٰÇ) ÆÄ¿­ÀÇ Áõ½ÄÄ¡·á
       
°¡¸ÍÁ¡¸í : ½Ã¸®¾Ç½ºÁ¤ÇüÀÇÇבּ¸È¸
»ç¾÷ÀÚµî·Ï¹øÈ£ : 894-81-00627 | ´ëÇ¥ÀÚ : ÀåµÎÇõ
 
ÁÖ¼Ò : °æ±âµµ ¾çÆò±º ¿ë¹®¸é ¿ë¹®·Î 375-1, 2Ãþ 1È£
TEL : 010-2323-4055
E-mail : cyriax12@naver.com
ÀԱݾȳ»
±¹¹ÎÀºÇà | ½Ã¸®¾Ç½ºÁ¤ÇüÀÇÇבּ¸È¸(ÁÖ)
220401-04-194155