[¾î±ú] ȸÀü±Ù°³ ÆÄ¿­°ú µ¿¹ÝµÈ ¿À±¸µ¹±âÇÏ Á¡¾×³¶¿°
ÀÛ¼ºÀÚ : °ü¸®ÀÚ(khu3265442@naver.com) ÀÛ¼ºÀÏ : 2013-05-19 Á¶È¸¼ö : 3724
ÆÄÀÏ÷ºÎ : [mix]IMG_20121123_1_8.mp4

¼ºº° / ³ªÀÌ
³²ÀÚ/58¼¼


ÁÖÁõ»ó
¿ìÃø ¾î±úÀÇ ÅëÁõ (2°³¿ù)


º´·Â
¿Ü»ó ¾øÀÌ ÅëÁõ°ú ÈûÀÌ ºüÁö´Â Áõ»óÀÌ ¹ß»ýÇÏ¿© Ÿº´¿ø¿¡¼­ ÁÖ»çÄ¡·á¿Í ¾à¹°Ä¡·á¸¦ ¹Þ¾ÒÀ¸³ª
Áõ»ó °è¼ÓµÇ¾î ³»¿ø


ÀÌÇÐÀû °Ë»ç
¿ÜȸÀü°ú ¿ÜÀüÀÌ °¢°¢ 30µµ, 50µµ·Î °¨¼ÒµÇ¾î ÀÖÀ¸¸ç ÀúÇ׿¡ ´ëÇÑ È¸Àü½Ã ÅëÁõ°ú ±Ù¾àÁõÀ» º¸ÀÓ,
´ë°áÀý¿¡ ±¹¼ÒÀû ¾ÐÅëÀÌ ¶Ñ·ÈÇÏ°í ¾î±ú¿òÁ÷ÀÓ ½Ã crepitus°¡ È®ÀÓµÊ.


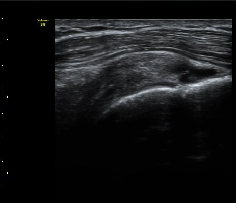
ÃÊÀ½ÆÄ °Ë»ç
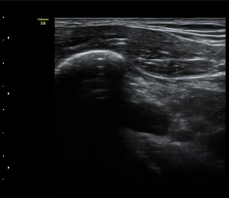
À̵ιڱ٠Á¾´Ü¸é°Ë»ç»ó ƯÀÌ ¼Ò°ßÀ» º¸ÀÌÁö ¾ÊÀ¸³ª(±×¸² 1)  ŽÃËÀÚ¸¦ ¾Æ·¡·Î À̵¿ÇÏ´Ï

°ß°©ÇÏ±Ù°Ç ³»Ãø¿¡¼­ ¼ö¾×Àú·ù°¡ °üÂûµÈ´Ù(±×¸² 2).

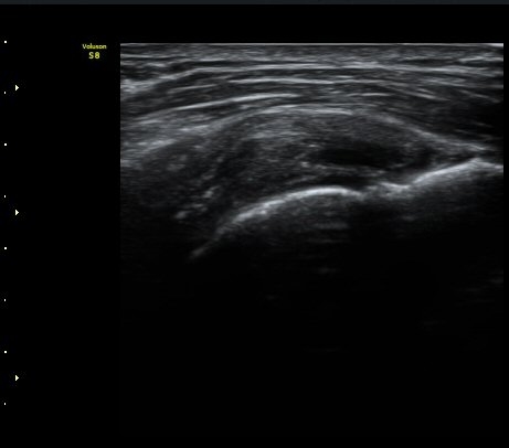
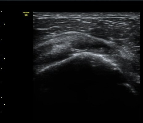
¿À±¸µ¹±â Ⱦ´Ü¸é°Ë»ç»ó ¿Áµ¹±â ¾Æ·¡, ³»Ãø, °ß°©ÇÏ±Ù°Ç Ç¥Ãþ¿¡¼­ ¼ö¾×Àú·ù°¡ °üÂûµÈ´Ù
(±×¸² 3, 4).

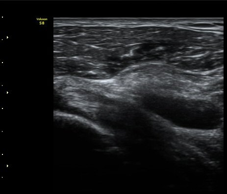
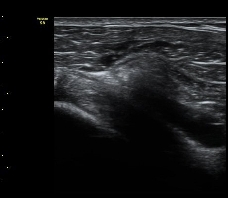
¿À±¸µ¹±â Á¾´Ü¸é°Ë»ç½Ã ¿À±¸ µ¹±â ³»Ãø, ¿À±¸µ¹±â ¾Æ·¡¿¡ ¼ö¾×Àú·ù°¡ °üÂûµÈ´Ù(±×¸² 5, 6).  

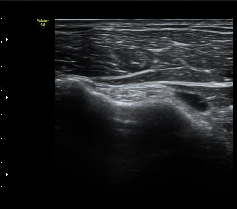
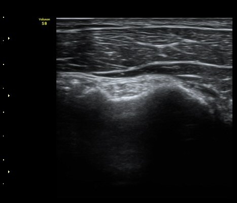
±Ø»ó°Ç Á¾´Ü¸é°Ë»ç»ó ±Ø»ó°Ç ³»Ãø ºÎÂøºÎ¿¡¼­ °Ç¿¬°á¼º ¼Ò½ÇÀÌ °üÂûµÈ´Ù(±×¸² 7, 8).

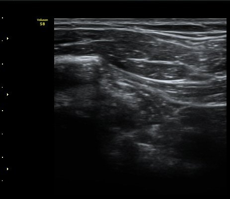
±Ø»ó°Ç Á¾´Ü¸é°Ë»ç»ó ±Ø»ó°Ç ¼Ò½Ç¿¡ ÀÇÇÑ È¸Àü±Ù°³ °á¼ÕÀÌ °üÂûµÈ´Ù(±×¸² 9, 10).


´Ü¼ø¹æ»ç¼±°Ë»ç


ÀÚ±â°ø¸í°Ë»ç


Ä¡·á
°üÀý°­³» ÁÖ»çÄ¡·á ÈÄ Áõ½ÄÄ¡·á




ÀÌÀü±Û ȸÀü±Ù°³(±Ø»ó°Ç, °ß°©ÇϱٰÇ) ÆÄ¿­ÀÇ Áõ½ÄÄ¡·á
´ÙÀ½±Û ȸÀü±Ù°³(±Ø»ó°Ç) ÆÄ¿­ ȯÀÚÀÇ Áõ½ÄÄ¡·á
       
°¡¸ÍÁ¡¸í : ½Ã¸®¾Ç½ºÁ¤ÇüÀÇÇבּ¸È¸
»ç¾÷ÀÚµî·Ï¹øÈ£ : 894-81-00627 | ´ëÇ¥ÀÚ : ÀåµÎÇõ
 
ÁÖ¼Ò : °æ±âµµ ¾çÆò±º ¿ë¹®¸é ¿ë¹®·Î 375-1, 2Ãþ 1È£
TEL : 010-2323-4055
E-mail : cyriax12@naver.com
ÀԱݾȳ»
±¹¹ÎÀºÇà | ½Ã¸®¾Ç½ºÁ¤ÇüÀÇÇבּ¸È¸(ÁÖ)
220401-04-194155