[¾î±ú] ȸÀü±Ù°³(±Ø»ó°Ç) ÆÄ¿­ ȯÀÚÀÇ Áõ½ÄÄ¡·á
ÀÛ¼ºÀÚ : °ü¸®ÀÚ(khu3265442@naver.com) ÀÛ¼ºÀÏ : 2013-05-17 Á¶È¸¼ö : 10846
ÆÄÀÏ÷ºÎ : [mix]IMG_20130510_1_5.mp4 [mix]IMG_20130510_1_6.mp4

¼ºº° / ³ªÀÌ
³²ÀÚ/51


ÁÖÁõ»ó
¾î±úÀÇ ÅëÁõ


º´·Â


ÀÌÇÐÀû °Ë»ç


ÃÊÀ½ÆÄ °Ë»ç
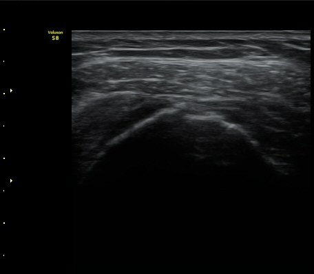
¾î±ú ±Ø»ó°Ç ÃÊÀ½ÆÄ°Ë»ó ±Ø»ó°Ç ºÎÂøºÎ°¡ °üÂûµÇÁö ¾Ê°í ±ÙÀ§ºÎ·Î ´ç°ÜÁ® ÀÖ´Ù(±×¸² 1, 2).

±Ø»ó°Ç Ⱦ´Ü¸é°Ë»ç»ó »ó¿Ï°ñµÎ¸¦ µ¤°í ÀÖ¾î¾ßÇÒ ±Ø»ó°ÇÀÌ º¸ÀÌÁö ¾Ê°í Á¡¾×³¶ÀÌ ÆíÆòÇϰÔ
³»·Á ¾É¾Æ º¸ÀδÙ(±×¸² 3).

ÃÊÀ½ÆÄ Åõ½ÃÇÏ¿¡¼­ ±Ø»ó°Ç ÆÄ¿­ ¸»´ÜºÎ¿Í ´ë°áÀý ºÎÀ§¿¡ ´Ù¹ß¼º Áֻ縦 ½ÃÇàÇÏ¿´´Ù

(÷ºÎ µ¿¿µ»ó 1, 2).


´Ü¼ø¹æ»ç¼±°Ë»ç


ÀÚ±â°ø¸í°Ë»ç


Ä¡·á
Áõ½ÄÄ¡·á



 


±Ø»ó°Ç ÆÄ¿­¿¡ ÀÇÇÑ ¾î±ú ÅëÁõÀº ÀÏÂ÷ÀûÀ¸·Î Áõ»ó È£ÀüÀ» À§ÇÑ Ä¡·á ÈÄ Áõ»óÀÌ ÀÚÁÖ Àç¹ßÇÏ´Â

°æ¿ì ¼ö¼úÄ¡·á¸¦ °í·ÁÇØ¾ß ÇÑ´Ù. ¼ö¼úÄ¡·á Àü¿¡ Àû±ØÀûÀÎ º¸Á¸Àû Ä¡·á·Î ¹æ¹ýÀ¸·Î ¶Ç´Â ȯÀÚÀÇ

¿¬·ÉÀÌ ³ô°Å³ª °üÀý °­Á÷ÀÌ À־ ¼ö¼ú ÈÄ ¿¹Èİ¡ ¾ÊÁÁÀ» °ÍÀ¸·Î ÆÇ¤§³ªµÇ´Â °æ¿ì Áõ½ÄÄ¡·á¸¦

½ÃÇàÇÒ ¼ö ÀÖ´Ù.

Áõ½ÄÄ¡·á¸¦ ½ÃÇàÇÒ °æ¿ì¿¡´Â ȸÀü±Ù°³ÀÇ ±â´É Çâ»ó°ú ±¸ºÎÁ¤Çϰųª ¾ÕÀ¸·Î µ¹ÃâµÈ ¾î±ú¸¦

±³Á¤ÇÏ´Â °ÍÀ» ¸ñÇ¥·Î Áֻ縦 ½ÃÇàÇÑ´Ù.

Áõ½ÄÄ¡·á¿Í µ¿½Ã¿¡ °ß°©±Ù ¾ÈÁ¤È­, ȸÀü±Ù°³ °­È­ ¹× ÀÚ¼¼ ±³Á¤À» À§ÇÑ ¿îµ¿Ä¡·á¸¦ µ¿½Ã¿¡

½ÃÇàÇÏ¿©¾ß ÁÁÀº °á°ú¸¦ ¾òÀ» ¼ö ÀÖ´Ù.

ÀÌÀü±Û ȸÀü±Ù°³ ÆÄ¿­°ú µ¿¹ÝµÈ ¿À±¸µ¹±âÇÏ Á¡¾×³¶¿°
´ÙÀ½±Û °ß¿­°ñÀýÀ» µ¿¹ÝÇÑ Àü¹æ°Å°ñºñ°ñÀδëÀÇ ÃÊÀ½ÆÄ°Ë»ç, °ßÀÎ°Ë»ç ¹× Ä¡·á 2
       
°¡¸ÍÁ¡¸í : ½Ã¸®¾Ç½ºÁ¤ÇüÀÇÇבּ¸È¸
»ç¾÷ÀÚµî·Ï¹øÈ£ : 894-81-00627 | ´ëÇ¥ÀÚ : ÀåµÎÇõ
 
ÁÖ¼Ò : °æ±âµµ ¾çÆò±º ¿ë¹®¸é ¿ë¹®·Î 375-1, 2Ãþ 1È£
TEL : 010-2323-4055
E-mail : cyriax12@naver.com
ÀԱݾȳ»
±¹¹ÎÀºÇà | ½Ã¸®¾Ç½ºÁ¤ÇüÀÇÇבּ¸È¸(ÁÖ)
220401-04-194155