[¹ß¸ñ] Àü°Å°ñºñ°ñÀδë ÀüÃþ ÆÄ¿­ÀÇ ÃÊÀ½ÆÄ°Ë»ç ¹× ºÎÇÏ°Ë»ç ¼Ò°ß
ÀÛ¼ºÀÚ : °ü¸®ÀÚ(khu3265442@naver.com) ÀÛ¼ºÀÏ : 2013-05-02 Á¶È¸¼ö : 10537
ÆÄÀÏ÷ºÎ : [mix]IMG_20130312_2_6.mp4

¼ºº° / ³ªÀÌ
³²ÀÚ/ 39¼¼


ÁÖÁõ»ó
¹ß¸ñÀÇ ÅëÁõ(3³â)


º´·Â
3³âÀü ¹ß¸ñÀ» »á ÈÄ °£ÇæÀûÀÎ ÅëÁõÀÌ °è¼ÓµÊ.


ÀÌÇÐÀû °Ë»ç
¹ß¸ñÀÇ ºÎÁ¾, ½ÅÀü½Ã ÅëÁõ. ³»¹Ý ½Ã ÅëÁõ.


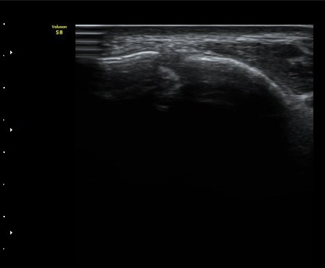
ÃÊÀ½ÆÄ °Ë»ç
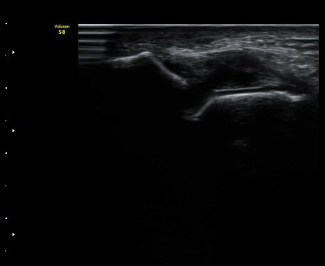
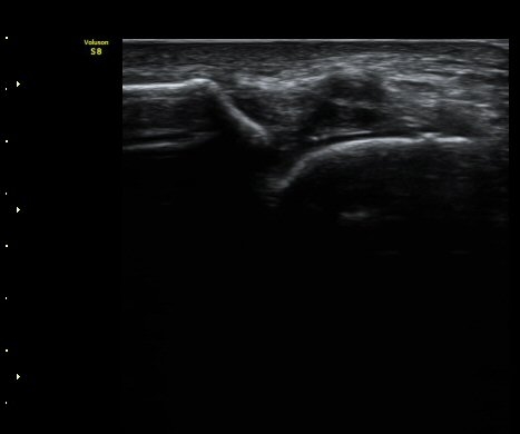
¹ß¸ñ°üÀý ¾Õ Á¾´Ü¸é°Ë»ç¿¡¼­ ¼Ò·®ÀÇ ¼ö¾×Àú·ù°¡ °üÂûµÈ´Ù(±×¸² 1, 2).

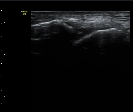
Àü°Å°ñºñ°ñÀδë Á¾´Ü¸é°Ë»ç¿¡¼­ ÀδëÀÇ ÀüÃþÆÄ¿­°ú ºÎÁ¾ÀÌ °üÂûµÈ´Ù(±×¸² 3, 4).
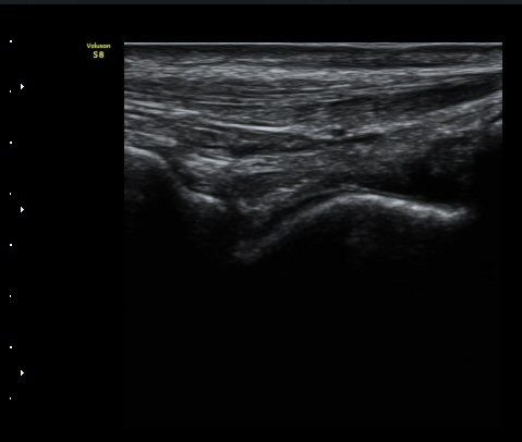
°ÇÃø(±×¸² 5)°ú ºñ±³ÇØ º¸¸é È¯ÃøÀÇ ÀÎ´ë ¼Õ»óÀÌ ¶Ñ·ÈÇÏ´Ù.

¸»´Ü Àü¹æºñ°ñ°æ°ñ Àδë´Â Á¤»óÀûÀÎ ¼Ò°ßÀ» º¸ÀδÙ(±×¸² 6). 

ÃÊÀ½ÆÄ Åõ½ÃÇÏ ºÎÇϰ˻翡¼­ ºñ°ñ°ú °Å°ñÀÌ ºñÁ¤»óÀûÀ¸·Î ¹ú¾îÁø´Ù(÷ºÎ µ¿¿µ»ó).


´Ü¼ø¹æ»ç¼±°Ë»ç


ÀÚ±â°ø¸í°Ë»ç


Ä¡·á



 


¿ÜÃø ¹ß¸ñ¼Õ»ó ÃÊÀ½ÆÄ°Ë»ç ½Ã ¸»´Ü Àü¹æºñ°ñÀÎ´ë ¼Õ»ó ¿©ºÎ¸¦ È®ÀÎÇÏ´Â °ÍÀÌ ¸Å¿ì
Áß¿äÇÏ´Ù, ÀÌ ÀδëÀÇ ¼Õ»óÀÌ ¹ß¸ñ°üÀýÀÇ ºÒ¾ÈÁ¤°ú °üÀý³» ¶Ç´Â ÈÄ¹æ °æ°ñ °ñÀýÀÇ
°¡´É¼ºÀÌ ³ôÀ¸¹Ç·Î ¹ß¸ñ ÄÄÇ»ÅÍ ÃÔ¿µÀÌ À¯¿ëÇÏ´Ù.

ÀÌ Áõ·Ê¿Í °°ÀÌ Àü¹æºñ°ñ°Å°ñÀδëÀÇ ºÒ¾ÈÁ¤ÀÌ ½ÉÇÑ °æ¿ì ¹ß¸ñ°üÀýÀÇ ºÒ¾ÈÁ¤ ¼Õ»óÀ»
Æ÷°ýÀûÀ¸·Î Æò°¡ÇÏ¿©¾ß ÇÑ´Ù.

ÀÌÀü±Û Àü°Å°ñºñ°ñÀδë ÀüÃþ ÆÄ¿­ÀÇ ÃÊÀ½ÆÄ°Ë»ç ¹× ºÎÇϰ˻çÀÇ À¯¿ë¼º
´ÙÀ½±Û ÃÊÀ½ÆÄ¿¡ ÀÇÇÑ ¹ß¸ñ Àü°Å°ñºñ°ñ ÀÎ´ë ÆÄ¿­ Áø´ÜÀÇ ½ºÆ®·¹½º °Ë»ç Á߿伺
       
°¡¸ÍÁ¡¸í : ½Ã¸®¾Ç½ºÁ¤ÇüÀÇÇבּ¸È¸
»ç¾÷ÀÚµî·Ï¹øÈ£ : 894-81-00627 | ´ëÇ¥ÀÚ : ÀåµÎÇõ
 
ÁÖ¼Ò : °æ±âµµ ¾çÆò±º ¿ë¹®¸é ¿ë¹®·Î 375-1, 2Ãþ 1È£
TEL : 010-2323-4055
E-mail : cyriax12@naver.com
ÀԱݾȳ»
±¹¹ÎÀºÇà | ½Ã¸®¾Ç½ºÁ¤ÇüÀÇÇבּ¸È¸(ÁÖ)
220401-04-194155