[¾î±ú] ±Þ¼º±â ¼®È¸È­¼º °ÇÃÊ¿°¿¡ÀÇÇÑ ½ÉÇÑ ¾î±úÀÇ ÅëÁõ
ÀÛ¼ºÀÚ : °ü¸®ÀÚ(khu3265442@naver.com) ÀÛ¼ºÀÏ : 2013-03-16 Á¶È¸¼ö : 4244
ÆÄÀÏ÷ºÎ : cal-needle.mp4

¼ºº° / ³ªÀÌ
³²ÀÚ/53¼¼


ÁÖÁõ»ó
½ÉÇÑ ÁÂÃø ¾î±úÀÇ ÅëÁõÀ¸·Î ¾î±ú¸¦ ¿òÁ÷ÀÌÁö ¸øÇÑ´Ù(±â°£ : 3ÀÏ)


º´·Â
¾à 4ÁÖ Àü ¾î±úÀÇ ½ÉÇÑ ÅëÁõÀ¸·Î ¾î±ú¸¦ ¿Ã¸®Áö ¸øÇÏ´Ù°¡ ¶Ñ·ÈÇÑ Ä¡·á ¾øÀÌ 2ÀÏ ÈÄ È£ÀüÀ» º¸¿´´Âµ¥. ³»¿ø 3ÀÏÀü ÅÖÁõ ¹ß»ý ÈÄ Áõ»ó È£Àü ¾ø°í ½ÉÇÑ ÅëÁõÀ¸·Î ¾î±ú¸¦ ÀüÇô ¿òÁ÷ÀÏ ¼ö ¾ø¾î ³»¿ø.


ÀÌÇÐÀû °Ë»ç
´Éµ¿ÀûÀÎ ¾î±úÀÇ ±¼°î, ¿ÜÀü, ¿ÜȸÀüÀº 0µµ, ¼öµ¿ÀûÀÎ ¾î±úÀÇ ±¼°î 10µµ À̳». ½ÉÇÑ ±Ù°æÁ÷À¸·Î empty edn feelÀ» º¸ÀÓ.


ÃÊÀ½ÆÄ °Ë»ç
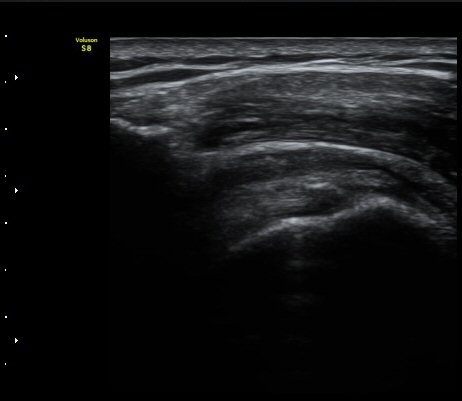
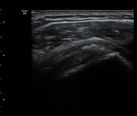
ȸÀü±Ù°³°£°Ý(rotator cuff interval) Ⱦ´Ü¸é°Ë»ç¿¡¼­ Á¡¾×³¶¸Å ¼ö¾× Àú·ù°¡ °üÂûµÈ´Ù(±×¸² 1).

±Ø»ó°Ç Á¾´Ü¸é°Ë»ç¿¡¼­ Á¤¸Æ³¶³» ¼ö¾×Àú·ù¿Í ±Ø»ó°Ç³» ¼®È¸È­À½¿µÀÌ °üÂûµÈ´Ù(±×¸² 2, 3).

±Ø»ó°Ç ¸»´ÜºÎ Á¾´Ü¸é°Ë»ç¿¡¼­ ±Ø»ó°Ç°ú Á¡¾×³¶³» ¼®È¸È­°¡ °üÂûµÈ´Ù(±×¸² 4, 5).

ÆÄ¿öµµÇ÷¯°Ë»ç¿¡¼­ ±Ø»ó°Ç°ú Á¡¾×³¶ÁÖÀ§¿¡¼­ ¼ö¾×Àú·ù°¡ °üÂûµÈ´Ù(±×¸² 6, 7).


´Ü¼ø¹æ»ç¼±°Ë»ç
´ë°áÀý ¿ÜÃø¿¡¼­ ÀÛ°í Èñ¹ÌÇÑ ¼®È¸È­°¡ °üÂûµÊ(÷ºÎÆÄÀÏ 2)


ÀÚ±â°ø¸í°Ë»ç


Ä¡·á
ÃÊÀ½ÆÄ À¯µµÇÏ Á¡¾×³¶³» ÁÖ»çÄ¡·á ÈÄ ÁÖ»ç¹Ù´Ã·Î ¼®È¸ ºÐ¼â(needling)



 


¶Ñ·ÈÇÑ ÀÌÀ¯ ¾øÀÌ ±Ø½ÉÇÑ ÅëÁõ°ú ¾î±úÀÇ ½ÉÇÑ ±â´ÉÀå¾Ö¸¦ À¯¹ßÇÏ´Â ¿øÀÎÀº ´ëºÎºÐ

¼®È¸È­¼º°ÇÃÊ¿°ÀÌ´Ù. ÀÌ·± °æ¿ì ÃÊÀ½ÆÄÀ¯µµÇÏ ÁÖ»çÄ¡·á ÈÄ ¼®È¸¸¦ ÆÄ±«Çϸé

°ÅÀÇ ¿ÏÀüÇÑ Áõ»ó È£ÀüÀ» º¼ ¼ö ÀÖ´Ù.

ÀÌÀü±Û ¼Õ¸ñ ±¼°î°Ç ÆÄ¿­ÀÇ ÃÊÀ½ÆÄ À¯µµÇÏ PDRN ÁÖ»çÄ¡·á
´ÙÀ½±Û Åëdz¿¡ ÀÇÇÑ Á¡¾×³¶¿°
       
°¡¸ÍÁ¡¸í : ½Ã¸®¾Ç½ºÁ¤ÇüÀÇÇבּ¸È¸
»ç¾÷ÀÚµî·Ï¹øÈ£ : 894-81-00627 | ´ëÇ¥ÀÚ : ÀåµÎÇõ
 
ÁÖ¼Ò : °æ±âµµ ¾çÆò±º ¿ë¹®¸é ¿ë¹®·Î 375-1, 2Ãþ 1È£
TEL : 010-2323-4055
E-mail : cyriax12@naver.com
ÀԱݾȳ»
±¹¹ÎÀºÇà | ½Ã¸®¾Ç½ºÁ¤ÇüÀÇÇבּ¸È¸(ÁÖ)
220401-04-194155