[¹«¸­] ³»ÃøºÎÀÎ´ë ¿°ÁÂ(ºÎºÐ ÆÄ¿­)
ÀÛ¼ºÀÚ : °ü¸®ÀÚ(khu3265442@naver.com) ÀÛ¼ºÀÏ : 2012-11-10 Á¶È¸¼ö : 4655
ÆÄÀÏ÷ºÎ : [mix]IMG_20121108_1_12.avi

¼ºº° / ³ªÀÌ
¿©ÀÚ/51¼¼


ÁÖÁõ»ó
ÁÂÃø ¹«¸­ÀÇ ÅëÁõ


º´·Â
¾à ÇÑ´Þ ¹Ý Àü ¹«¸­À» ¿ÜÃøÀ¸·Î ±¸ºÎ¸®¸é¼­ ³Ñ¾îÁø ÈÄ ¹«¸­ ³»Ãø ÅëÁõÀÌ ¹ß»ýÇÏ¿© Ÿº´¿ø¿¡¼­ ¿¢½º·¹ÀÌ ÃÔ¿µ ÈÄ ÀÌ»ó¾ø´Ù´Â ¼Ò°ßÀ¸·Î ¾à¹° º¹¿ë ÈÄ Áö³ÂÀ¸³ª ÅëÁõÀÌ °è¼ÓµÇ°í ÃÖ±Ù ¾¥½Ã´Â Áõ»óÀÌ ½ÉÇØÁ® ³»¿ø.


ÀÌÇÐÀû °Ë»ç
¿Ü°ß »ó ¾à°£ÀÇ ¹«¸­ ºÎÁ¾ÀÌ °üÂûµÇ°í ¼ö¾×Àú·ù°¡ ÃËÁøµÊ. ´ëÅð°ñ ³»»ó°ú ¹× °üÀý¸éÀ¸·Î ¾ÐÅëÀÌ ¶Ñ·ÈÇϰí 30µµ ±¸ºÎ¸° »óÅ¿¡¼­ ¿Ü¹ÝºÎÇϰ˻ç(valgus stress test)¿¡¼­ ÅëÁõÀÌ ¹ß»ýÇÏ°í °æ¹ÌÇÑ ºÒ¾ÈÁ¤¼ºÀÌ °üÂûµÊ.


ÃÊÀ½ÆÄ °Ë»ç
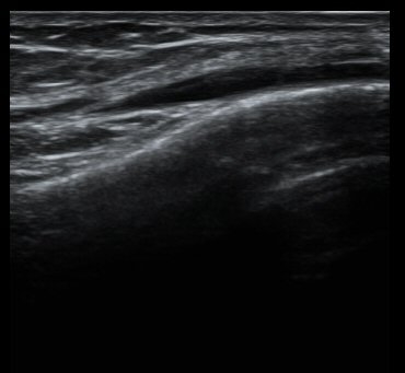
´ëÅð°ñ ¿ÜÃø°ú ¾ÕÂÊ Á¾´Ü¸é°Ë»ç¿¡¼­ ¾à°£ÀÇ ¼ö¾×Àú·ù°¡ °üÂûµÊ(±×¸² 1, 2).
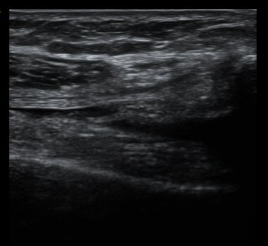
¹«¸­ ³»ÃøºÎÀδë Á¾´Ü¸é°Ë»ç¿¡¼­ ³»ÃøºÎÀδë Ç¥Ãþ±ÙÀ§ºÎ Àú¿¡ÄÚ ºÎÁ¾ ¹× ½ÉÃþ±ÙÀ§ºÎ ºÎºÐÆÄ¿­ÀÌ
°üÂûµÊ(±×¸² 3, 4).

¹«¸­ µÚ¿¡¼­ °üÂûÇÑ ÈĹæ½ÊÀÚÀÎ´ë °æ°ñºÎÂøºÎ¿¡¼­ ƯÀÌ ¼Ò°ßÀ» º¸ÀÌÁö ¾ÊÀ½(±×¸² 5).

ÃÊÀ½ÆÄ°üÂûÇÏ¿¡ ½ÃÇàÇÑ ¿Ü¹ÝºÎÇϰ˻翡¼­ ¾à°£ÀÇ ºÒ¾ÈÁ¤¼ºÀÌ °üÂûµÊ(÷ºÎ µ¿¿µ»ó).


´Ü¼ø¹æ»ç¼±°Ë»ç


ÀÚ±â°ø¸í°Ë»ç


Ä¡·á
¾à¹°Ä¡·á ÈÄ Áõ½ÄÄ¡·á ¿¹Á¤

 

 

 


ÃÊÀ½ÆÄ°Ë»ç¸¦ ½ÃÇàÇÏ¸é ³»ÃøºÎÀδëÀÇ ¼Õ»óÀ» °´°üÀûÀ¸·Î ÆÇ´ÜÇÒ ¼ö ÀÖ°í


¾þµå¸° »óÅ¿¡¼­ÃÊÀ½ÆÄ°üÂûÇÏ¸ç ½ÃÇàÇÑ ¿Ü¹ÝºÎÇϰ˻縦 ½ÃÇàÇÏ¸é ³»ÃøºÎÀδëÀÇ ÀÌ¿ÏÁ¤µµ¸¦
 
°´°üÀûÀ¸·Î ÆÇ´ÜÇÒ ¼ö ÀÖ¾î Ãʱ⿡ ÀûÀýÇÑ Ä¡·á¸¦ ½ÃÇàÇÒ ¼ö ÀÖ´Ù.

ÀÌÀü±Û ÈûÁÙÀÇ ºÎÁ¾ÀÌ ½ÉÇÏ¿© ÆìÁöÁö ¾È´Â ¹æ¾Æ¼è ¼Õ°¡¶ô
´ÙÀ½±Û °ß°©Çϱٰǰú ±Ø»ó°Ç ÆÄ¿­¿¡ µ¿¹ÝµÈ Á¡¾×³¶¿°
       
°¡¸ÍÁ¡¸í : ½Ã¸®¾Ç½ºÁ¤ÇüÀÇÇבּ¸È¸
»ç¾÷ÀÚµî·Ï¹øÈ£ : 894-81-00627 | ´ëÇ¥ÀÚ : ÀåµÎÇõ
 
ÁÖ¼Ò : °æ±âµµ ¾çÆò±º ¿ë¹®¸é ¿ë¹®·Î 375-1, 2Ãþ 1È£
TEL : 010-2323-4055
E-mail : cyriax12@naver.com
ÀԱݾȳ»
±¹¹ÎÀºÇà | ½Ã¸®¾Ç½ºÁ¤ÇüÀÇÇבּ¸È¸(ÁÖ)
220401-04-194155