[¾î±ú] °ß°©Çϱٰǰú ±Ø»ó°Ç ÆÄ¿­¿¡ µ¿¹ÝµÈ Á¡¾×³¶¿°
ÀÛ¼ºÀÚ : °ü¸®ÀÚ(khu3265442@naver.com) ÀÛ¼ºÀÏ : 2012-10-29 Á¶È¸¼ö : 4586
ÆÄÀÏ÷ºÎ :

¼ºº° / ³ªÀÌ
³²ÀÚ/ 63¼¼


ÁÖÁõ»ó
¿ìÃø ¾î°³ÀÇ ÅëÁõ(±â°£ 7°³¿ù)


º´·Â
2012³â º½ ÆÈ±ÁÇô Æì±â Áß ¾î±ú¿¡¼­ ¶Ò ¼Ò¸®°¡ ³­ ÈÄ ¾î±úÀÇ ÅëÁõÀÌ ¹ß»ý. ¿©·¯ º´¿ø¿¡¼­ Ä¡·áÇÏ¿´À¸³ª Áõ»óÀÌ È£ÀüÀÌ ¾ø°í Ãֱ٠Ÿº´¿ø¿¡¼­ ÃÊÀ½ÆÄ°Ë»ç ÈÄ ¿°ÁõÀ̶ó´Â Áø´ÜÇÏ¿¡ ÁÖ»ç Ä¡·á ÈÄ ¾à°£ÀÇ È£ÀüÀÌ ÀÖ¾úÀ¸³ª Ãֱ٠ʱ¸ Ä¡½Å ÈÄ ÅëÁõ ½ÉÇØÁö°í ¾î±ú°¡ ¾È¿Ã¶ó°£´Ù. ¿òÁ÷ÀÓ ½Ã ½ÉÇÑ ÅëÁõ ¹ß»ý.


ÀÌÇÐÀû °Ë»ç
±¼°î 160µµ ¿ÜȸÀü 50µµ ¿ÜÀü 90µµ, ÀúÇ׿¡ ´ëÇÑ ¿ÜÀü ½Ã ÅëÁõ ¹× ±Ù¾àÁõ ¹ß»ý.


ÃÊÀ½ÆÄ °Ë»ç
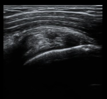
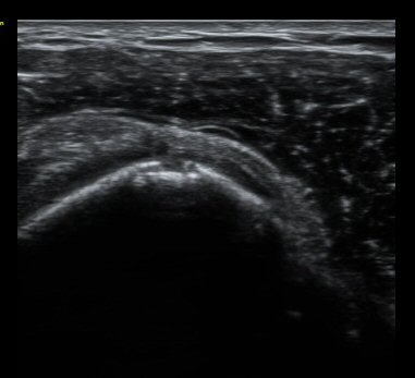
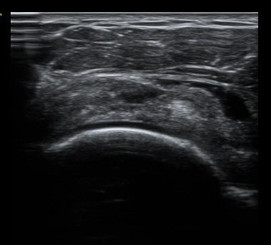
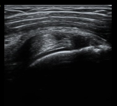
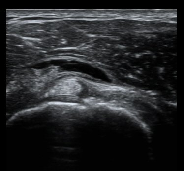
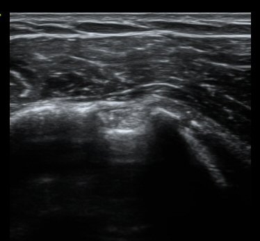
ȸÀü±Ù°³°£°Ý Ⱦ´Ü¸é°Ë»ç¿¡¼­ Á¡¾×³¶³» ¼ö¾×Àú·ù°¡ °üÂûµÈ´Ù(±×¸² 1). ÀÌµÎ¹Ú±Ù°Ç °í¶û¿¡¼­´Â ƯÀÌ ¼Ò°ßÀ» º¸ÀÌÁö ¾Ê´Â´Ù(±×¸² 2). ȸÀü±Ù°³°£°Ý ³»Ãø¿¡¼­ °ß°©ÇϱٰÇÀÇ ÆÄ¿­°ú Á¡¾×³¶³» ¼ö¾×Àú·ù°¡ °üÂûµÈ´Ù(±×¸² 3, 4). ±Ø»ó°Ç Ⱦ´Ü


ÀÌÀü±Û ³»ÃøºÎÀÎ´ë ¿°ÁÂ(ºÎºÐ ÆÄ¿­)
´ÙÀ½±Û ¹Ì¼¼ÇÑ °ß°©Çϱٰǰú ±Ø»ó°Ç ÆÄ¿­, ÃßÁ¤
       
°¡¸ÍÁ¡¸í : ½Ã¸®¾Ç½ºÁ¤ÇüÀÇÇבּ¸È¸
»ç¾÷ÀÚµî·Ï¹øÈ£ : 894-81-00627 | ´ëÇ¥ÀÚ : ÀåµÎÇõ
 
ÁÖ¼Ò : °æ±âµµ ¾çÆò±º ¿ë¹®¸é ¿ë¹®·Î 375-1, 2Ãþ 1È£
TEL : 010-2323-4055
E-mail : cyriax12@naver.com
ÀԱݾȳ»
±¹¹ÎÀºÇà | ½Ã¸®¾Ç½ºÁ¤ÇüÀÇÇבּ¸È¸(ÁÖ)
220401-04-194155