[ÆÈ²ÞÄ¡] ÆÈ²ÞÄ¡ °üÀý °üÀý³» À¯¸®Ã¼¿¡ ÀÇÇÑ °üÀý¿° ÁÖ»çÄ¡·á
ÀÛ¼ºÀÚ : °ü¸®ÀÚ(khu3265442@naver.com) ÀÛ¼ºÀÏ : 2012-05-10 Á¶È¸¼ö : 4806
ÆÄÀÏ÷ºÎ : loose.avi

¼ºº° / ³ªÀÌ
³²ÀÚ/57¼¼


ÁÖÁõ»ó
¿ìÃø ¼ÕÀÌ ¸ñµÚ·Î ¾Èµ¹¾Æ°£´Ù( 1ÁÖ)


º´·Â
¿Ü»ó µî Ưº°ÇÑ ÀÌÀ¯ ¾øÀÌ ¼ÕÀÌ ¸ñµÚ·Î ¾Èµ¹¾Æ°¡¼­ ¸ñÀ» ´ÛÀ» ¼ö ¾ø´Ù.


ÀÌÇÐÀû °Ë»ç
ÆÈ²ÞÄ¡ °üÀý ½ÅÀü°ú ±¼°î Á¦ÇÑ ¹× ºÎÁ¾


ÃÊÀ½ÆÄ °Ë»ç
ÆÈ²ÞÄ¡ ¿ÜÃø Á¾´Ü¸é°Ë»ç¿¡¼­ ¼ÒµÎ ¾ÕÂÊ¿¡ ¼ö¾×Àú·ù°¡ °üÂûµÈ´Ù(±×¸² 1).
ÆÈ²ÞÄ¡ ³»Ãø Á¾´Ü¸é°ú Ⱦ´Ü¸é°Ë»ç¿¡¼­ ȰÂ÷ ¾Õ°ú °¥°í¸®µ¹±â¿Í(coronoid fossa)¿¡ ¼ö¾×Àú·ù°¡
°üÂûµÇ°í °¥°í¸®µ¹±â¿Í¿¡ °í¿¡ÄÚ »À µ¢¾î¸®°¡ °üÂûµÈ´Ù(±×¸² 2, 3).
ÁֵοÍ(olecranon fossa) Á¾´Ü¸é°Ë»ç¿Í Ⱦ´Ü¸é°Ë»ç¿¡¼­ ÁÖµÎ¿Í ¼ö¾×Àú·ù¿Í °ø¿¡ÄÚ »À µ¢¾î¸®°¡
°üÂûµÈ´Ù(±×¸² 4, 5, 6).
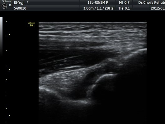
ÁÖ°ü Ⱦ´Ü¸é°Ë»ç¿¡¼­ °üÀý³» ¼ö¾×Àú·ù¿Í ô°ñ½Å°æÀÇ Ç¥ÃþÀ¸·Î ÀüÀ§°¡ °üÂûµÈ´Ù(±×¸² 7).
ÁÖµÎ¿Í È¾´Ü¸é°Ë»ç ¿µ»ó¿¡¼­(»çÁø) ÃÊÀ½ÆÄ À¯µµÇÏ¿¡ °üÀý³» Áֻ縦 ½ÃÇàÇÏ¿´´Ù(µ¿¿µ»ó).


´Ü¼ø¹æ»ç¼±°Ë»ç


ÀÚ±â°ø¸í°Ë»ç


Ä¡·á
ÃÊÀ½ÆÄ À¯µµÇÏ ÆÈ²ÞÄ¡ °üÀý³» ÁÖ»çÄ¡·á

 

 

 


 

1345022819_xQH5Ula6_loo-inj.jpg

^^

ÀÌÀü±Û ´ëÅðÁ÷±Ù°ú ´ëÅðÀ̵ιڱ٠ÀåµÎ ÆÄ¿­
´ÙÀ½±Û ½ÉÇÑ ¹«¸­ ÅðÇ༺°üÀý¿°¿¡ µ¿¹ÝµÈ ¹Ý¿ùÆÇ³¶Á¾ ¹× ¹Ý¸·¾ç°Ç °ÇÃÊ¿°
       
°¡¸ÍÁ¡¸í : ½Ã¸®¾Ç½ºÁ¤ÇüÀÇÇבּ¸È¸
»ç¾÷ÀÚµî·Ï¹øÈ£ : 894-81-00627 | ´ëÇ¥ÀÚ : ÀåµÎÇõ
 
ÁÖ¼Ò : °æ±âµµ ¾çÆò±º ¿ë¹®¸é ¿ë¹®·Î 375-1, 2Ãþ 1È£
TEL : 010-2323-4055
E-mail : cyriax12@naver.com
ÀԱݾȳ»
±¹¹ÎÀºÇà | ½Ã¸®¾Ç½ºÁ¤ÇüÀÇÇבּ¸È¸(ÁÖ)
220401-04-194155