[¹«¸­] ½ÉÇÑ ¹«¸­ ÅðÇ༺°üÀý¿°¿¡ µ¿¹ÝµÈ ¹Ý¿ùÆÇ³¶Á¾ ¹× ¹Ý¸·¾ç°Ç °ÇÃÊ¿°
ÀÛ¼ºÀÚ : °ü¸®ÀÚ(khu3265442@naver.com) ÀÛ¼ºÀÏ : 2012-05-06 Á¶È¸¼ö : 5234
ÆÄÀÏ÷ºÎ : inj-bur.mp4 inj-sm.mp4

¼ºº° / ³ªÀÌ
¿©ÀÚ/ 65¼¼


ÁÖÁõ»ó
¹«¸­ÀÇ ÅëÁõ


º´·Â
¸¸¼º ÅðÇ༺ °üÀý¿°. ÁÖ±âÀûÀÎ Áõ»ó ¾ÇÈ­·Î º¸Çà¿¡ ¾î·Á¿òÀÌ ÀÖÀ½. ¹«¸­ µÚ°¡ ½ÉÇÏ°Ô ¶¯±è


ÀÌÇÐÀû °Ë»ç
°üÀýÀÇ ºÎÁ¾, °üÀý³»¼ö¾×Àú·ù, ³»¹Ýº¯Çü µî ½ÉÇÑ ¹«¸­ ÅðÇ༺ °üÀý¿°¿¡ ºÎÇÕÇÏ´Â ¸ðµç ¼Ò°ßÀ» º¸ÀÌ°í Æ¯È÷ ¹«¸­ ³»ÃøÀÇ ºÎÁ¾ÀÌ ½ÉÇÑ »óÅÂÀÓ. °üÀýÀÇ ±¼°îº¯ÇüÀ¸·Î ¼öµ¿Àû ½ÅÀü ½Ã ÅëÁõÀÌ À¯¹ßµÊ. ÀúÇ׿¡ ´ëÇÑ ¹«¸­ ±¼°î ½Ã ±Ù¾àÁõÀ» º¸ÀÓ.


ÃÊÀ½ÆÄ °Ë»ç
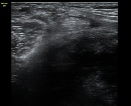
¹«¸­ ³»Ãø Á¾´Ü¸é°Ë»ç¿¡¼­ °üÀý°£°ÝÀÇ °¨¼Ò ¹× ¹Ý¿ùÆÇ¿¬°ñÀÇ ÅðÇ༺ º¯È­¿Í ¿ÜÃø À¸·Î µ¹Ãâ¿¡
ÀÇÇÑ ³»Ãø ÃøºÎÀδëÀÇ ½ÉÇÑ ¿ÜÃø µ¹Ãâ º¯ÇüÀ» º¸ÀÌ°í ³»Ãø ÃøºÎÀδë¿Í ¹Ý¿ùÆÇ¿¬°ñ »çÀÌ¿¡ ¹«¿¡ÄÚ

¼ö¾× Àú·ù°¡ °üÂûµÊ. °æ°ñ°ú ´ëÅð°ñÀÇ °ñ±ØÀÌ ¸Å¿ì ½ÉÇÑ »óÅÂÀÓ(±×¸² 1, 2).

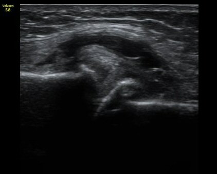
¹«¸­ µÚ ³»Ãø ¹Ý¸·¾çÈûÁÙ(semimembranosusu) Á¾´Ü¸é°Ë»ç¿¡¼­  ÈûÁÙÀÇ ºñÈÄ, ÈûÁ٠ǥÃþÀÇ ¼ö¾×

Àú·ù¿Í ÈûÁÙ ºÎÂøºÎ °æ°ñÀÇ ºÒ±ÔÄ¢ º¯È­°¡ °üÂûµÊ(±×¸² 3).

¹«¸­ µÚ ¹Ý¸·¾çÈûÁ٠Ⱦ´Ü¸é °Ë»ç¿¡¼­ ÈûÁÙÀÇ ºñÈÄ¿Í ÈûÁ٠ǥÃþ¿¡ ¼ö¾× Àú·ù°¡ °üÂûµÊ(±×¸² 4).

°üÀý³»Ãø Á¾´Ü¸é°Ë»ç(ÁÖ»ç »çÁø 1)  À§Ä¡¿¡¼­ ³¶Á¾ ÈíÀÎ ÈÄ ÁÖ»çÄ¡·á ½ÃÇàÇÔ(ÁÖ»ç µ¿¿µ»ó 2).

¹«¸­ µÚ ¹Ý¸·¾çÈûÁÙ Á¾´Ü¸é°Ë»ç À§Ä¡¿¡¼­ ÈûÁÙ³¶³» ÁÖ»çÄ¡·á ½ÃÇàÇÔ(ÁÖ»ç µ¿¿µ»ó 2).


´Ü¼ø¹æ»ç¼±°Ë»ç


ÀÚ±â°ø¸í°Ë»ç


Ä¡·á
ÃÊÀ½ÆÄ À¯µµÇÏ ÁÖ»çÄ¡·á

 

 

 


 

622177206_kiL5OeRh_inj-bur2.jpg

ÃßÈÄ º¸°­ ^^

ÀÌÀü±Û ÆÈ²ÞÄ¡ °üÀý °üÀý³» À¯¸®Ã¼¿¡ ÀÇÇÑ °üÀý¿° ÁÖ»çÄ¡·á
´ÙÀ½±Û ÆÈ²ÞÄ¡ ·ù¸¶ÅäÀÌµå °üÀý¿° °üÀý³» ´ÜÃà ÃÊÀ½ÆÄ À¯µµÇÏ ÁÖ»çÄ¡·á
       
°¡¸ÍÁ¡¸í : ½Ã¸®¾Ç½ºÁ¤ÇüÀÇÇבּ¸È¸
»ç¾÷ÀÚµî·Ï¹øÈ£ : 894-81-00627 | ´ëÇ¥ÀÚ : ÀåµÎÇõ
 
ÁÖ¼Ò : °æ±âµµ ¾çÆò±º ¿ë¹®¸é ¿ë¹®·Î 375-1, 2Ãþ 1È£
TEL : 010-2323-4055
E-mail : cyriax12@naver.com
ÀԱݾȳ»
±¹¹ÎÀºÇà | ½Ã¸®¾Ç½ºÁ¤ÇüÀÇÇבּ¸È¸(ÁÖ)
220401-04-194155