[¼Õ¸ñ] ¼Õ »ï°¢°ñ(triquetrum) °ß¿­ °ñÀý ÃÊÀ½ÆÄ ¼Ò°ß
ÀÛ¼ºÀÚ : ÃÖÀçÀÍ 2019-04-28
÷ºÎÆÄÀÏ : CT151809107.jpg CT151809108.jpg CT151810109.jpg

 

 

1 sex.jpg  

¿©ÀÚ/ 39¼¼ 

 

2 hx.jpg

¾à 3°³¿ù Àü ¼Õ¸ñÀ» »À¼­ Ÿº´¿ø ÁøÂû °á°ú »À¿¡´Â ÀÌ»ó ¾ø´Ù´Â Áø´Ü ¹Þ°í  ¾à 1ÁÖ°£ ºÎ¸ñ °íÁ¤ ÇÏ¿´À¸³ª ÅëÁõ °è¼ÓµÇ¾î ³»¿ø

 

3 exam.jpg

¿Ü°ü»ó ¼Õ¸ñÀÇ ºÎÁ¾Àº ¶Ñ·ÈÇÏÁö ¾Ê¾ÒÀ¸³ª °æºñÇÑ °üÀý°¡µ¿¹üÀ§ Á¦ÇѰú hard endfeel À» º¸¿´°í

¼Õ¸ñ ¹èÃø, ô°ñÃøÀ¸·Î ±¹¼ÒÀû ¾ÐÅëÀ» º¸¿´´Âµ¥ »ï°¢°ñ ºÎÀ§¿¡ ±¹¼ÒÀûÀ̾ú´Ù.

 

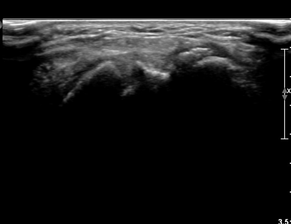
4 sono.jpg

¼Õ¸ñ ¹èÃà, ̫̿ Á¾´Ü¸é°Ë»ç¿¡¼­ ô°ñ¼ö±Ù°ñ °üÀý³» ¼ö¾×Àú·ù¿Í »ï°¢°ñ Ç¥Ãþ¿¡ °ñ±ØÀÌ °üÂûµÈ´Ù(»çÁø 1),

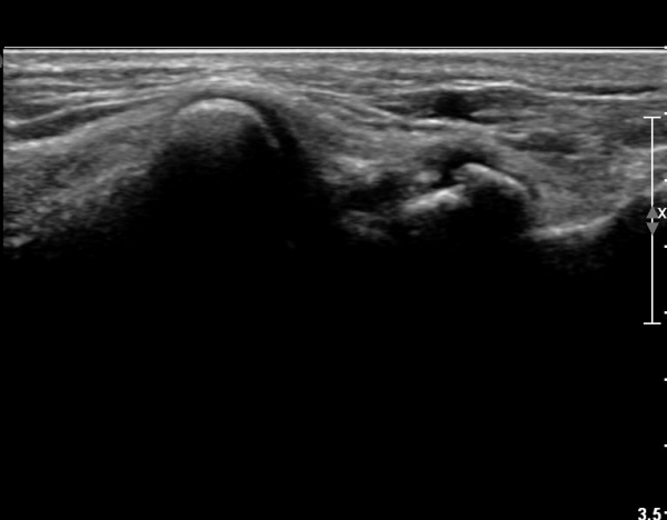
ŽÃËÀÚ¸¦ Á¶±Ù ³»ÃøÀ¸·Î À̵¿ÇÏ´Ï »ï°¢°ñ Ç¥Ãþ¿¡¼­ °íÆíÀÌ °üÂûµµ´Ï´Ù(»çÁø 2).

 

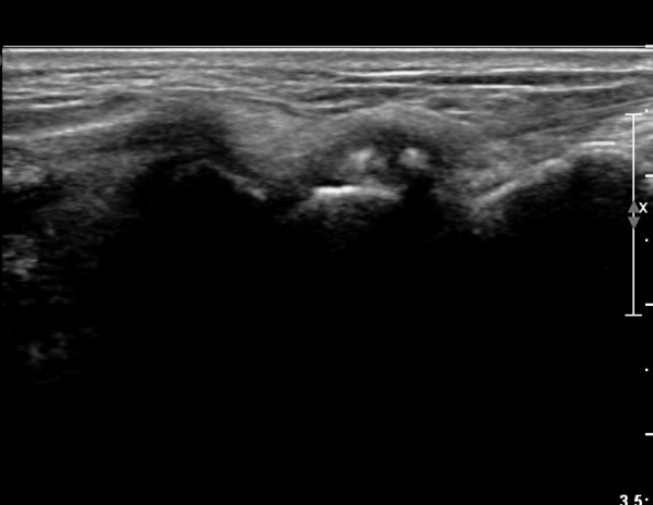
¼Õ¸ñ Ⱦ´Ü¸é°Ë»ç»ó ÁÖ»ó°ñ¿ù»ó°ñ Àδë´Â Á¤»óÀûÀ¸·Î °üÂûµÇ³ª ¿ù»ó°ñ»ï°¢°ñ ÀÎ´ë ºÎÂøºÎ

¿ù»ó°ñ ÇÇÁú°ñÀÇ ºÒ±ÔĢȭ¿Í »ï°¢°ñ Ç¥ÃþÀÇ °ñÆíÀÌ °üÂûµÈ´Ù(»çÁø 3).

 

5 rad.jpg

ƯÀÌ ¼Ò°ß º¸ÀÌÁö ¾ÊÀ½.

 

ct.jpg

»ï°¢°ñ  °ß¿­ °ñÀýÀÌ °üÂûµÊ.

 

 6 tx.jpg

Ãæ°ÝÆÄÄ¡·á

Áõ½ÄÄ¡·á


concl.jpg

ref.jpg

ÀÌÀü±Û 2019³â 5¿ù 12ÀÏ Á¤·Ê¼¼¹Ì³ª °­ÀÇ ³»¿ë Áß ÀϺÎ(¼Õ¸ñ, ¾öÁö¿Í ¼Õ°¡¶ô) µ¿¿µ»ó
´ÙÀ½±Û 2019³â 4¿ù 14ÀÏ Á¤·Ê¼¼¹Ì³ª °­ÀÇÀÚ·á Áß ¼öÃ༺ ±¸Á¶¹° ¼Õ»ó ¶Ç´Â ÁúȯÀÇ Áø´Ü°ú Ä¡·á °­ÀÇ µ¿¿µ»ó

 
       

 
°¡¸ÍÁ¡¸í : ½Ã¸®¾Ç½ºÁ¤ÇüÀÇÇבּ¸È¸
»ç¾÷ÀÚµî·Ï¹øÈ£ : 894-81-00627 | ´ëÇ¥ÀÚ : ÀåµÎÇõ
ÁÖ¼Ò : °æ±âµµ ¾çÆò±º ¿ë¹®¸é ¿ë¹®·Î 375-1, 2Ãþ 1È£
TEL : 010-2323-4055
E-mail : cyriax12@naver.com
 

 
COPYRIGHT ¨Ï 2018 CYRIAX. ALL RIGHTS RESERVED.